Implantáty nesená moderní komplexní rekonstrukce
Esteticky a funkčně plně navigovaný postup
Demografické změny přivádějí do stomatologických ordinací stále více starších pacientů s nedostatečnými a selhávajícími stávajícími rekonstrukcemi. Naléhavost této problematiky odráží i aktuální doporučený postup „Implantoprotetická rehabilitace bezzubé horní čelisti“ (AWMF Reg. č. 083-010), který poukazuje na „četnost tohoto léčebného problému“ a „četné terapeutické varianty v oblasti implantátem nesené protetiky“.







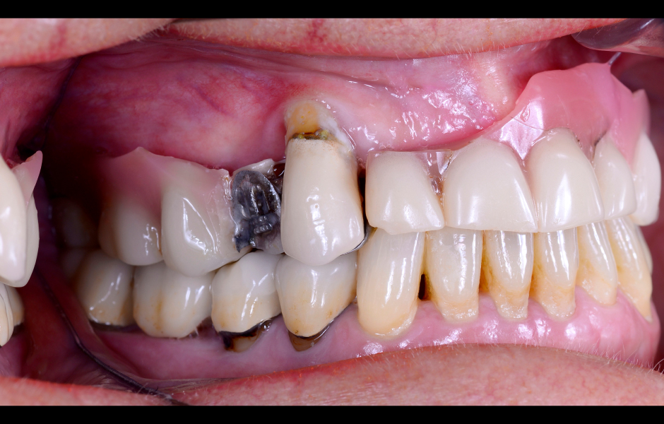
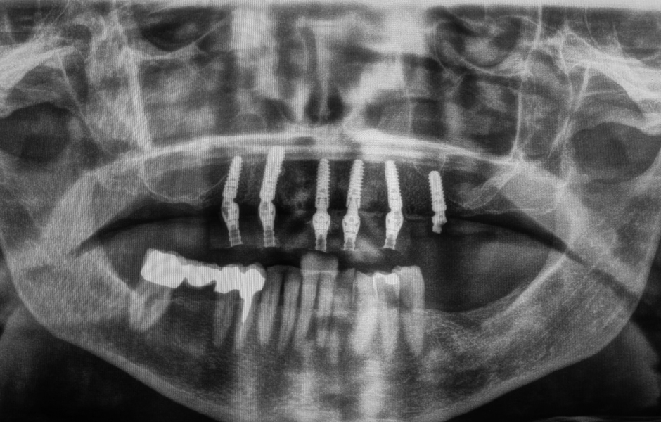
V prezentovaném případě byla k implantoprotetické rehabilitaci odeslána téměř 78letá pacientka, bývalá silná kuřačka. V průběhu let přišla v důsledku generalizované chronické parodontitidy o všechny zuby v horní čelisti, s výjimkou zubu 13, který byl výrazně kompromitovaný, viklavý a bez možnosti záchrany. Pacientka si stěžovala na přetrvávající krvácení, citlivou sliznici horní čelisti a halitózu. Její hlavní prioritou bylo mít „co nejdříve fixní zuby“, aby mohla konečně bez bolesti kousat a usmívat se.
Bylo prodiskutováno několik možností implantáty neseného řešení. Pacientka odmítla jakoukoli snímatelnou náhradu kvůli dřívějším negativním zkušenostem, i když by byla nesena implantáty.
Zároveň si přála krátkou dobu léčby a minimum návštěv vzhledem k dlouhé dojezdové vzdálenosti. Úvodní klinická kontrola prokázala dobře udržovaný redukovaný dolní zubní oblouk. V horní čelisti ale dlouhodobé používání nevyhovující zubní náhrady vedlo k patrnému úbytku kosti. Možnost provedení augmentace kosti v horní čelisti před zavedením implantátů pacientka odmítla jako příliš invazivní a časově náročné. Namísto toho, v závislosti na výsledcích radiologického vyšetření, preferovala okamžité zavedení implantátů s provizorní rekonstrukcí – podle konceptu SKY Fast&Fixed a bez komplexních augmentačních výkonů. Tuto alternativu považovala za variantu s nejlepším poměrem vynaloženého úsilí a přínosu.
Pacientka proto souhlasila s léčebným plánem zahrnujícím okamžitou podmíněně fixní rekonstrukci nesenou šesti implantáty copaSKY (bredent medical). V dolní čelisti byla naplánována kompletní dezinfekce ústní dutiny s cílem udržet mikrobiální zátěž kolem zbývajících zubů co nejnižší (obr. 1–4).
Plánování léčby
Z celkové anamnézy nevyplynula žádná systémová onemocnění spojená s parodontitidou ani jiné rizikové faktory pro implantologickou léčbu či možné periimplantitidy [6]. Měkké tkáně v horní čelisti – spolu s vhodným kostním lůžkem, které je klíčovým faktorem pro dlouhodobě stabilní osseointegraci [7] – byly bez zánětlivých změn. To představovalo příznivý výchozí stav pro vytvoření dostatečně objemných slizničních límců, což následně snižuje riziko periimplantátové kostní ztráty [1, 3].
3D zobrazovací vyšetření potvrdilo, že kostní situace v maxile je vhodná pro plánovaný koncept SKY Fast&Fixed se šesti implantáty – dvěma rovnými implantáty v předním úseku a dvěma mírně angulovanými implantáty na každé straně v distálním úseku. Snímky dále ukázaly intaktní vestibulární kostní lamely, což umožnilo po extrakci zubu 13 provést plně navigovanou implantaci. Definitivní protetická rekonstrukce byla plánována jako vysoce kvalitní kompozitní náhrada na podkladě digitálně vytvořeného idealizovaného setupu pro provizorní rekonstrukci (obr. 5–8).
Implantace
Na základě digitálně získaných informací – od CT vyšetření a registrace skusu až po STL soubor otisku – byla před chirurgickým výkonem navržena a vyrobena modulární chirurgická šablona (Co-DiagnostiX, Dental Wings) a současně i okamžitá provizorní rekonstrukce metodou CAD/CAM.
Po nekomplikované extrakci zubu 13 bylo lůžko očištěno od granulační tkáně a dezinfikováno antimikrobiální fotodynamickou terapií (aPDT) Helbo (bredent medical) [4]. Tento postup je pro pacienta zcela bezbolestný. Využívá interakci fotosenzitivního barviva s nízkoenergetickým laserovým světlem (HELBO TheraLite Low Level Laser, LLLT). Tím vzniká vysoce reaktivní singletový kyslík, který ireverzibilně destruuje buněčné stěny zbývajících bakterií. Tím je zároveň zabráněno vzniku sekvestrů.
Následně mohla začít implantace. Příprava kosti probíhala postupně, se zvyšujícími se průměry vrtáků podle protokolu, skrze plně navigovanou chirurgickou šablonu. Pevný doraz na horní části vodicího pouzdra zabraňuje převrtání a délka vodicí části brání vychýlení vrtáku. Není nutné měnit vodicí pouzdra.
Bylo zavedeno šest implantátů copaSKY dle plánu – mírně palatinálně, aby se předešlo kontaktu s vestibulární kostní stěnou – v subkrestální poloze s primární stabilitou: v oblasti zubu 15: 3,5 × 10 mm, v oblasti 13: 4,0 × 14 mm, v oblastech 11, 21, 23: 3,5 × 12 mm a v oblasti 25: 4,0 × 10 mm.
RFA měření stability implantátů pomocí Penguin II (bredent medical) prokázalo vynikající hodnoty kolem ±75 ISQ, což potvrdilo vhodnost pro okamžité zatížení. Široce rozložený podpůrný polygon navíc poskytoval optimální stabilitu protetické konstrukce při současné ochraně tvrdých i měkkých tkání, nervů a cév.
Pro podporu vertikálního nárůstu kosti byly na zkosená a naleptaná ramena implantátů (backtaper) aplikovány částice porcinního xenograftu (MinerOss XP, BioHorizons) smíchané s autologní kostí odebranou z vrtacích štol. Tím byla iniciována stabilní cirkumferentní kostní regenerace (Bone-Growth Concept) [5] a podpořen vývoj ochranného gingiválního límce.
Abutmenty SKY uni.cone (bredent medical) byly zavedeny přímo skrze rozdělenou spodní část stohovatelné šablony v souladu s konceptem One-Time Therapy. Díky tvarově přesnému spojení jsou laterální síly z můstku přenášeny přímo na abutment, čímž se minimalizuje riziko povolení šroubů a fraktur.
Pro protetickou dostavbu byly v pozicích 11 a 21 použity rovné abutmenty a v ostatních pozicích angulované (17,5 °) transverzálně šroubované abutmenty. Veškeré další kroky bylo možné provádět na úrovni abutmentů, což umožnilo stabilizaci krestální kosti a neiritující cirkumferentní formování měkkých tkání.
Významným rizikovým faktorem nežádoucích recesů periimplantátové sliznice je nedostatečná tloušťka měkkých tkání. Proto byla provedena augmentace vestibulárních měkkých tkání s cílem rozšířit pás keratinizované gingivy a vytvořit stabilní gingivální manžetu [2]. Slizniční lalok byl šetrně podminován a vytvořený prostor byl vyplněn autologními štěpy pojivové tkáně.
Extrakční alveol v místě 13 a alveolární hrana v okolí implantátů byly podle potřeby doplněny směsí MinerOss XP, autologních kostních štěpů a L-PRF (Leukocyte-Platelet Rich Fibrin). Celé operační pole bylo poté kryto kompaktní L-PRF matricí, slisovanou do podoby membrány, a zašito bez napětí a s těsným uzávěrem vůči slinám.
Tím mohou mediátory hojení obsažené v L-PRF působit přímo v místě rány, což podporuje rychlý uzávěr a menší otok (obr. 9–21).

Obr. 1: Klinická a radiologická výchozí situace v horní čelisti se selhávajícími předchozími rekonstrukcemi.

Obr. 2: Klinická a radiologická výchozí situace v horní čelisti se selhávajícími předchozími rekonstrukcemi.

Obr. 3: Klinická a radiologická výchozí situace v horní čelisti se selhávajícími předchozími rekonstrukcemi.

Obr. 4: Klinická a radiologická výchozí situace v horní čelisti se selhávajícími předchozími rekonstrukcemi.

Obr. 5: Plánované implantáty z hlediska velikosti, délky a orientace.

Obr. 6: Návrh a výroba modulární chirurgické šablony s okluzálně-palatinálními vstupy pro šrouby.

Obr. 7: Návrh a výroba modulární chirurgické šablony s okluzálně-palatinálními vstupy pro šrouby.

Obr. 8: Návrh a výroba modulární chirurgické šablony s okluzálně-palatinálními vstupy pro šrouby.

Obr. 9: Aplikace a aktivace Helbo (bredent medical).

Obr. 10: Aplikace a aktivace Helbo (bredent medical).

Obr. 11: Plánované implantáty z hlediska velikosti, délky a orientace.

Obr. 12: Implantát copaSKY (bredent medical) navlhčený PRF na zaváděcím trnu.

Obr. 13: Subkrestální nosná plocha na abutmentu SKY uni.cone (bredent medical).

Obr. 14: Snížené riziko povolení šroubů díky přímému přenosu sil přes kapny (žluté) na abutment.

Obr. 15: Primárně stabilní definitivní pozice implantátu copaSKY

Obr. 16: Bezkontaktní RFA měření stability implantátu (ISQ) pomocí Penguin II (bredent medical).

Obr. 17: Zavedení abutmentů uni.cone, zde v oblasti 11, s využitím dělené chirurgické šablony.

Obr. 18: Kontrola paralelity pomocí zaváděcího nástroje.

Obr. 19: Kompaktní L-PRF získané centrifugací z venózní krve pacientky.

Obr. 20: Těsný uzávěr sliznice v oblasti abutmentů SKY uni.cone.

Obr. 21: Rentgenový kontrolní snímek s protetickými kapnami.

Obr. 22: Dokončená okamžitá provizorní náhrada in situ.

Obr. 23: Pacientka již velmi spokojená s „průběžným výsledkem“.

Obr. 24: Laterální pohled zleva a zprava na definitivní rekonstrukci.

Obr. 25: Laterální pohled zleva a zprava na definitivní rekonstrukci.

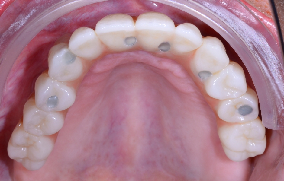
Obr. 26: Okluzální pohled na definitivní rekonstrukci s palatinálními šroubovými kanálky.

Obr. 27: Situace v horní čelisti po sejmutí provizoria.

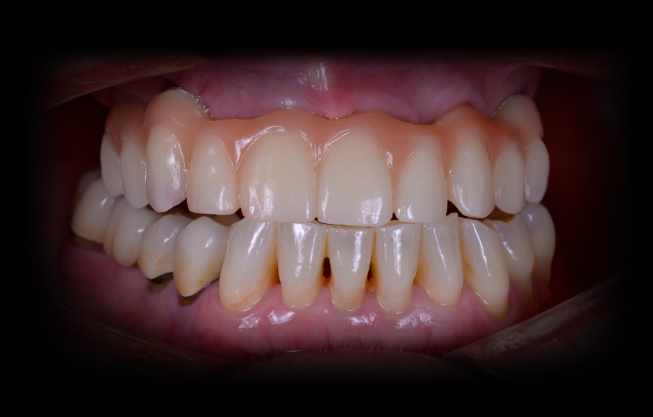
Obr. 28: Nasazená definitivní rekonstrukce.

Obr. 29: Harmonicky sladěné zubní oblouky.

Obr. 30: Spokojená a (opět) veselá pacientka.
Provizorní náhrada
Před uzávěrem rány byla předem vyrobená provizorní náhrada z PMMA (breCAM.multiCOM, bredent medical) zkontrolována z hlediska pasivního dosedu s využitím připojených protetických kapen. Po odpovídajícím zkrácení kapen byla náhrada extraorálně s kapnami adhezivně spojena, dokončena a následně přišroubována k abutmentům. Před vlastním chirurgickým výkonem byla v dolní čelisti provedena profesionální dentální hygiena, aby byl dosažen harmonický celkový dojem (obr. 22 a 23).
Definitivní rekonstrukce
Po přibližně třech měsících nošení byla osseointegrace implantátů dokončena a sliznice zhojená. Provizorní náhrada byla odšroubována a zhojená situace byla intraorálně naskenována pro výrobu definitivní rekonstrukce (copaSKY uni.fit scan abutment). Na základě překrytí s původními daty byl návrh přizpůsoben aktuální situaci a byla vyrobena definitivní implantátová můstková konstrukce (obr. 24–32).
Závěrečné zhodnocení
Je-li okamžitá implantologická rehabilitace z medicínského hlediska realizovatelná, pacienti se často vyhnou rozsáhlým, časově náročným a nákladným augmentačním postupům. Naproti tomu je žvýkací funkce i fonetika obnovená okamžitě a díky minimálně invazivním postupům jsou pooperační obtíže minimální. Všechny tyto faktory – vedle snížení nákladů – výrazně zvyšují komfort pacienta a vytvářejí pro ošetřujícího pozitivní „odezvu“.
Zároveň je však nezbytné předem s pacientem kriticky vyhodnotit jeho individuální léčebné cíle, ověřit jejich realizovatelnost nebo nabídnout možné alternativy. Taková cesta sdíleného rozhodování do značné míry chrání všechny zúčastněné před nedorozuměními a zklamáními, zejména proto, že pacient nakonec nemůže terapeutické kroky posoudit a musí důvěřovat lékaři. Rozhodujícími faktory dlouhodobého úspěchu implanto-protetické léčby jsou – vedle úspěšné osseointegrace, dlouhodobé klinické funkčnosti a estetiky – především trvalá spokojenost pacienta.
Reference jsou k dispozici na vyžádání.
Buďte v obraze
Chcete mít pravidelný přehled o nových článcích na tomto webu, akcích a dalších novinkách? Přihlaste se k odběru newsletteru.
Odesláním souhlasíte s našimi zásadami zpracování osobních údajů.
Články
14. 11. 2025 | Implantologie
Digitální pracovní postupy ve stomatologii přinesly revoluci v přístupu odborníků ke složitým zákrokům – zlepšují přesnost, efektivitu a dosažené klinické výsledky. Mezi digitálními inovacemi se výrazně prosazují systémy pro plnou navigaci...
Články
14. 11. 2025 | Implantologie
Moderní stomatologie prochází technologickou revolucí, kterou pohání integrace pokročilých digitálních nástrojů v diagnostice, plánování a léčbě. Mezi nimi se počítačem řízená implantologie stala základním pilířem, zejména u složitých výkonů, jako jsou estetické rekonstrukce a celková rehabilitace čelistního oblouku.
Články
1. 12. 2025 | Implantologie
Aspergilóza je nejčastější příčinou oportunních mykotických infekcí u imunokompromitovaných jedinců a může být klasifikována jako invazivní nebo neinvazivní.
Út 5. 5. 2026 | 17.00 – 18.00 hod.











