Inovativní dentální kompozitum: univerzální použití a zefektivnění výplňové terapie v klinické praxi
Souhrn
Moderní stomatologická praxe klade na dentální profesionály řadu nároků. Tento článek představuje inovativní dentální kompozitum společnosti VOCO, které má potenciál zásadně zjednodušit klinický pracovní postup. Nové řešení reaguje na komplexní požadavky současné stomatologie a cílí na zvýšení efektivity i zlepšení klinických výsledků.



Klíčová slova
- VOCO GrandioSO Unlimited
- kariézní léze I., II., III., V. třídy a estetické indikace
- rekonstrukční ošetření
- univerzální nano-hybridní kompozit
- pryskyřičný kompozit
- cluster shades (sdružené barevné odstíny)
1. Úvod
Zubní kaz zůstává celosvětově významným zdravotním problémem a patří mezi nejčastější chronická onemocnění vůbec [World Health Organization, 2017]. Naštěstí kompozitní materiály zásadně proměnily rekonstrukční stomatologii – pacientům poskytují řešení, která jsou zároveň funkční i vysoce estetická. Mezi současné inovace patří kompozit GrandioSO Unlimited (VOCO GmbH, Cuxhaven, Německo), který představuje výrazný krok vpřed v technologii přímých rekonstrukcí. Tento kompozitní materiál odráží posun od tradičních výplňových materiálů, jako jsou amalgám a zlato, k moderním, inovativním řešením v barvě zubu [Bayne et al., 2019].
GrandioSO Unlimited umožňuje zhotovení rekonstrukcí v kavitách s vrstvou až 4 mm, což zvyšuje efektivitu výkonu při zachování velmi dobrých estetických výsledků. Jeho optické vlastnosti (Visual Transformation Technology – VTT) zajišťují ve stavu před polymerací vysokou translucenci, která podporuje spolehlivou hloubkovou polymeraci a současně usnadňuje adaptivní barevnou integraci.
Moderní kompozitní materiály řeší široké spektrum klinických situací napříč všemi třídami kavit [Cho et al., 2022]. GrandioSO Unlimited disponuje zjednodušeným barevným systémem, který pokrývá 16 klasických odstínů VITA, a zároveň využívá posílený „chameleon efekt“ pro plynulé splynutí s přirozenou barvou zubu. S obsahem plniv 91 hmotn. % nastavuje nový standard pro vysoce výkonné výplňové materiály – poskytuje výbornou stabilitu a pevnost.
Estetická rekonstrukce je dnes sofistikovanější než kdy dříve. Kompozitní materiály spolehlivě imitují přirozenou barvu i translucenci zubních tkání, a tím umožňují zhotovení výplní, které jsou strukturálně stabilní, trvanlivé a prakticky nerozeznatelné od přirozeného zubu.
Následující klinické případy patří mezi první na světě, kdy byl materiál GrandioSO Unlimited použit v rutinní praxi. Dokumentují jeho univerzálnost a potenciál pro všeobecnou stomatologii. Každý případ ukazuje specifické vlastnosti materiálu a jeho schopnost poskytovat optimální funkční i estetické výsledky v různých klinických scénářích.
2. Klinické případy
I. třída
Třiadvacetiletý pacient byl odeslán s primární kariézní lézí I. třídy na zubech 36 a 37. Léze byly asymptomatické, diagnostikované klinicky; na RTG nebyly na okluzních plochách patrné zřetelné radiolucence. Pacient požadoval dlouhodobé, estetické a přirozeně působící řešení. Plánem byly přímé kompozitní výplně materiálem GrandioSO Unlimited.
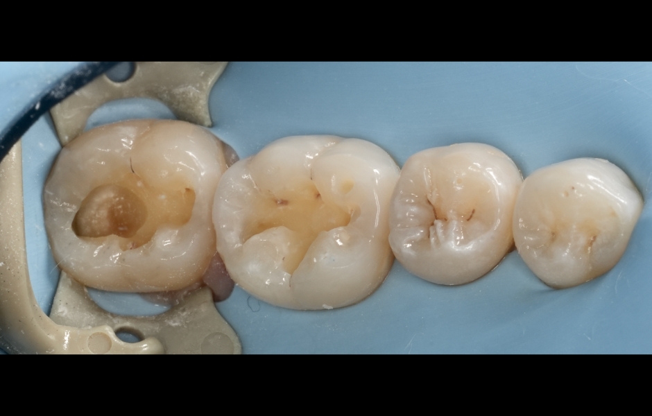
Před dehydratací zubu proběhlo pečlivé stanovení odstínu. Ošetření začalo preparací zubů 36 a 37 po aplikaci anestezie a izolaci kofferdamem. Preparace zahrnovala odstranění kazu s použitím turbínového násadce se zvýšenými otáčkami (speed-increasing) a hrubozrnného diamantového vrtáčku a tvrdokovových fréz. Na sklovino-dentinové hranici (ADJ) byla pro optimální povrchovou úpravu použita air-abraze oxidem hlinitým 29 μm při tlaku 3 bar. Následně byl použit univerzální adhezivní systém Futurabond U (VOCO GmbH, Cuxhaven, Německo).
Rekonstrukce byla provedena materiálem GrandioSO Unlimited v odstínu A2 s charakterizací pomocí FinalTouch hnědého a bílého (VOCO GmbH, Cuxhaven, Německo) za použití zrychlené modelační techniky. Materiál bylo možné aplikovat v jediné 4mm vrstvě, čímž se postup zhotovení výplně výrazně zjednodušil bez negativního dopadu na manipulaci či anatomickou preciznost.
Obsah plniv 91 hmotn. % byl zásadní pro odolnost rekonstrukce vůči okluzálním silám v zatížených oblastech. Reliéf fisur bylo možné modelovat s jistotou strukturální i estetické integrace.
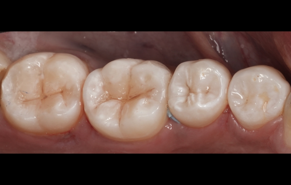
Výsledek ukázal plynule navazující, přirozeně působící rekonstrukce splňující estetické i funkční očekávání pacienta. Inovativní vlastnosti GrandioSO Unlimited byly klíčové pro dosažení optimálního klinického výsledku.
II. třída
Šestadvacetiletý pacient se dostavil s nevyhovující amalgámovou výplní na zubu 16 s klinickými známkami sekundárního kazu. Zub byl asymptomatický. Radiologické hodnocení bylo limitováno superpozicí amalgámu, což vyžadovalo důsledný klinický přístup. Pacient požadoval estetické a trvanlivé řešení.
Po anestezii a izolaci kofferdamem byla amalgámová výplň kompletně odstraněna. Pro odstranění kazu byly použity hrubozrnné diamantové vrtáčky a tvrdokovové frézy, následně byla provedena air-abraze oxidem hlinitým (29 μm, 3 bar). Preparace zajistila odstranění všech kompromitovaných tvrdých tkání. Pro dosažení těsného kontaktního bodu a optimální morfologie byla zavedena sekční matricová páska. Následně bylo aplikováno adhezivum Futurabond U pro spolehlivou vazbu na preparované povrchy.
Výplň byla zhotovena z GrandioSO Unlimited v cluster odstínu A3 s charakterizací FinalTouch hnědým a bílým tintem. Využity byly klíčové vlastnosti materiálu – hloubka vytvrzení do 4 mm a chromo-adaptivní chování – pro dosažení kompletní, plynule integrované rekonstrukce.
Výsledek splnil estetická i funkční očekávání a představuje trvanlivé řešení sekundárního kazu i selhávající amalgámové výplně. Tento přístup demonstruje účinnost moderních kompozitních technik při komplexní rekonstrukční léčbě.
III. třída
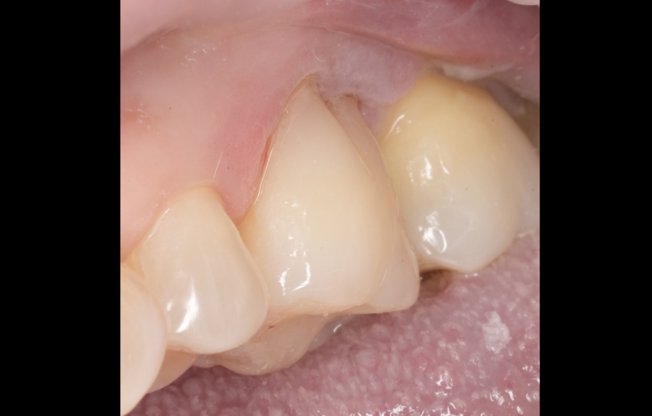
Čtyřiasedmdesátiletý pacient měl sekundární kaz kolem stávající výplně III. třídy na distální ploše zubu 21. Léze byla odhalena po ztrátě čepové korunky na zubu 22, což umožnilo přímou vizualizaci a přístup. Pacient rozuměl tomu, že asymptomatický zub 21 musí být ošetřen před plánovanou implantací v oblasti zubu 22.
Po anestezii a izolaci kofferdamem byla odstraněna původní kompozitní výplň. Odstranění kazu, preparace a adhezivní postup proběhly analogicky k předchozímu případu. Rekonstrukce byla dokončena v jediném kroku materiálem GrandioSO Unlimited (cluster odstín A3). V tomto případě byly výhodou možnost jednodobé aplikace a použití mylar-acetátové pásky, která umožnila jednoduchou a efektivní adaptaci. Chromo-adaptivní vlastnosti zajistily velmi dobrou integraci s přirozenými tkáněmi (obr. 3d).
V. třída
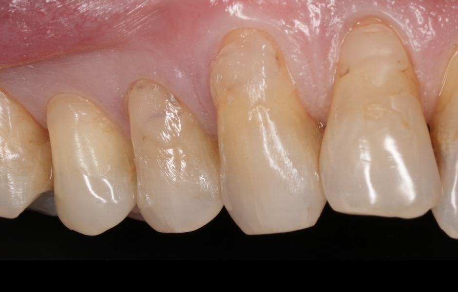
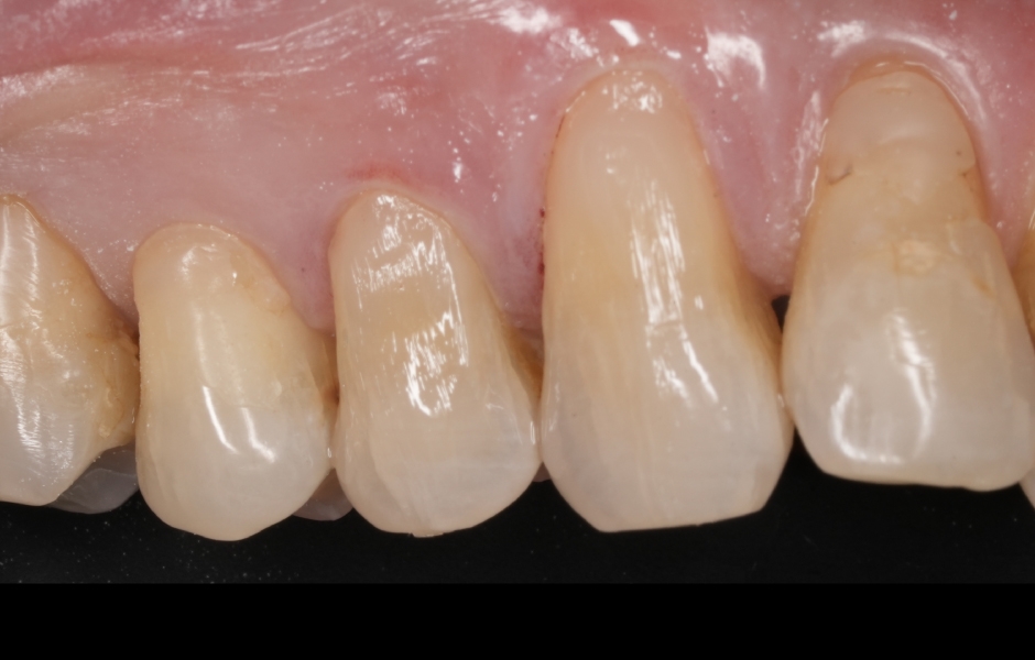
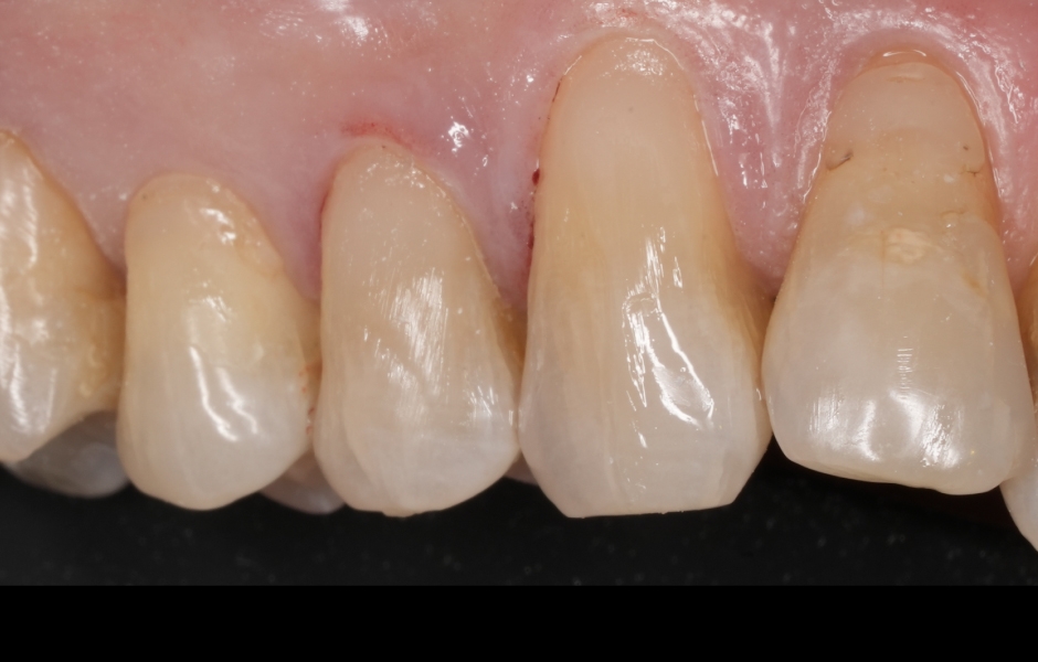
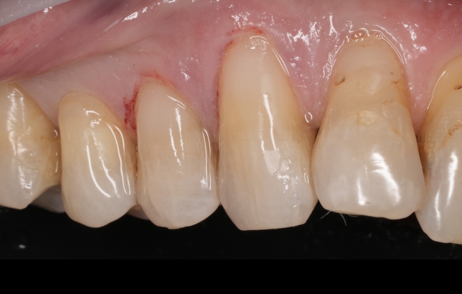
Šestašedesátiletý muž se dostavil s vícečetnými krčkovými lézemi V. třídy v horním oblouku a požadoval estetickou a trvanlivou rekonstrukci. Klinické vyšetření ukázalo nevyhovující cervikální výplně na zubech 13 a 14 a výrazný klínovitý defekt na zubu 26, který vyžadoval protektivní rekonstrukci. Na zubu 12 byly patrné počínající známky opotřebení, pacient však ošetření odmítl. Proto byly zhotoveny kompozitní výplně zubů 13 a 14 (obr. 4a–e) a 26 (obr. 5a–e).
Po anestezii byly odstraněny původní kompozity na zubech 13 a 14. K retrakci tváře byl použit OptraGate (Ivoclar, Lichtenštejnsko). Preparace byla provedena násadcem speed-increasing s hrubozrnným diamantem a následnou air-abrazí oxidem hlinitým (29 μm, 3 bar). Na preparované povrchy bylo aplikováno adhezivum Futurabond U. Rekonstrukce byly provedeny v jediném kroku: zuby 13 a 14 cluster odstín A3.5, zub 26 cluster odstín A3.
Materiál se vyznačoval velmi dobrou manipulací pro precizní cervikální adaptaci při plné hloubce polymerace 4 mm v 10s expozičních cyklech (obr. 4b a 4c). Chromo-adaptivní vlastnosti podpořily výbornou integraci v rozhraní zub–výplň při jednoduchém výběru odstínu. Materiál dosahuje vysokého lesku při různých lešticích protokolech.
Tento postup efektivně řešil estetické i funkční požadavky pacienta a poskytl přirozeně vypadající, abrazi odolné řešení krčkových defektů.

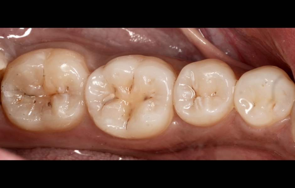
Obr. 1a: Předoperační klinická situace. Primární kaz na okluzních plochách zubů 36 a 37.

Obr. 1b: Izolace kofferdamem a preparace kavity I. třídy. Odstranění kazu na sklovino-dentinové hranici kombinací tvrdokovových fréz a air-abraze (Al₂O₃ 29 μm, 3 bar).

Obr. 1c: Bezprostřední pooperační výsledek: kompozitní rekonstrukce I. třídy na zubech 36 a 37 (GrandioSO Unlimited, cluster A2) s charakterizací FinalTouch brown/white.

Obr. 2a: Nevyhovující amalgámová výplň na zubu 16 s klinickými známkami možného sekundárního kazu.

Obr. 2b: Izolace kofferdamem, odstranění amalgámu a úprava sklovino-dentinového rozhraní kombinací tvrdokovových fréz a air-abraze (Al₂O₃ 29 μm, 3 bar). Zavedení sekční matrice pro rekonstrukci kontaktního bodu.

Obr. 2c: Bezprostřední pooperační výsledek rekonstrukce zubu 16 (GrandioSO Unlimited, cluster A3) s charakterizací FinalTouch brown/white.

Obr. 3a: Klinické známky sekundárního kazu na zubu 21.

Obr. 3b: Izolace kofferdamem, úprava sklovino-dentinového přechodu kombinací tvrdokovových fréz a air-abraze (Al₂O₃ 29 μm, 3 bar). Zavedení retrakčního vlákna impregnovaného adstringentem pro hemostázu a retrakci gingivy.

Obr. 3c: Bezprostřední pooperační výsledek rekonstrukce zubu 21 (GrandioSO Unlimited, cluster A3).

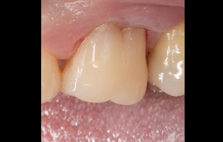
Obr. 3d: Rekonstrukce zubu 21 po dokončení leštění a odstranění kofferdamu.

Obr. 4a: Předoperační stav výplní 13 a 14.

Obr. 4b: Izolace OptraGate a předoperační posouzení odstínu GrandioSO Unlimited A3.5 v nevytvrzeném stavu.

Obr. 4c: Předoperační posouzení odstínu: mock-up GrandioSO Unlimited A3.5 po vytvrzení.

Obr. 4d: Po anestezii následuje odstranění kompozita 13 a 14 a aplikace GrandioSO Unlimited (cluster A3.5), finální vytvrzení a iniciální leštění.

Obr. 4e: Bezprostřední pooperační pohled po finálním leštění na zubech 13 a 14.

Obr. 5a: Předoperační stav zubu 26 (frontální pohled).

Obr. 5b: Předoperační stav zubu 26 (bukální pohled).

Obr. 5c: Hotová výplň na zubu 26 (cluster A3) – frontální pohled.

Obr. 5d: Zub 26 (cluster A3) – hotová výplň na zubu – bukální pohled.

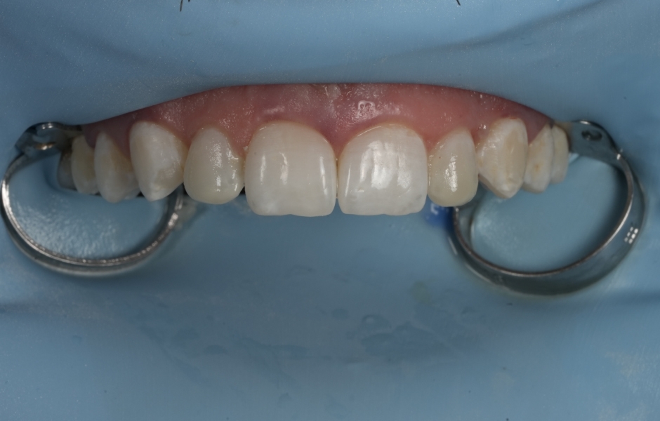
Obr. 6a: Předoperační pohled na úsměv.

Obr. 6b: Předoperační detail.

Obr. 6c: Předoperační úsměv (split-dam ve frontálním úseku).

Obr. 6d: Úsměv bezprostředně po aplikaci kompozita (GrandioSO Unlimited A1; split-dam).

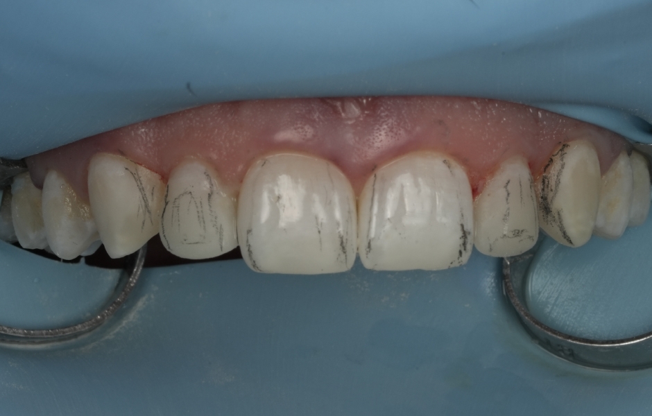
Obr. 6e: Leštění – vyznačení primární a sekundární anatomie.

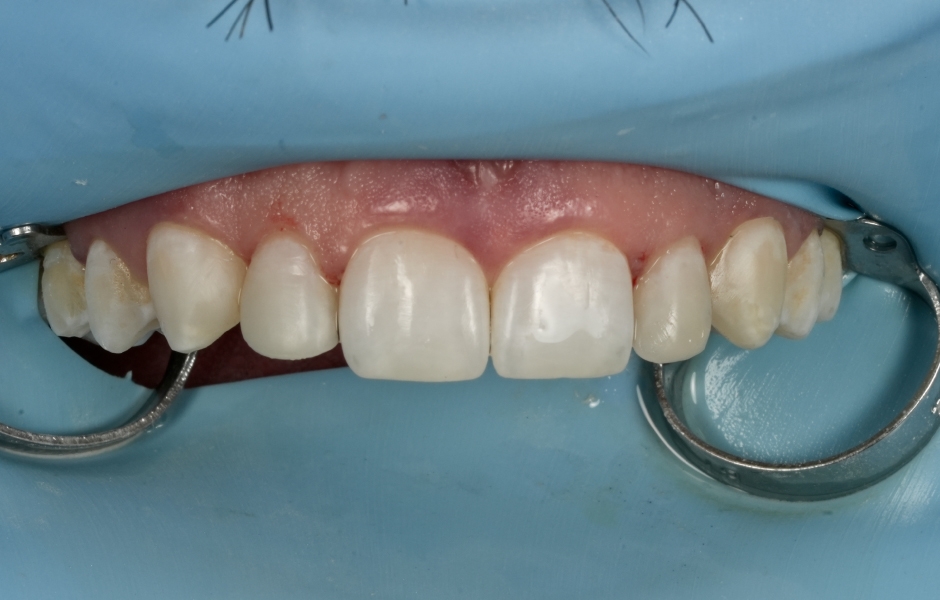
Obr. 6f: Úsměv bezprostředně po iniciálním leštění.

Obr. 6g: Pooperační pohled na úsměv (kontrolní návštěva).

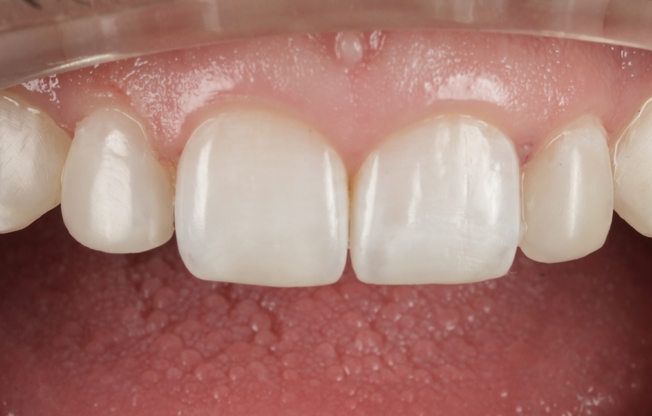
Obr. 6h: Pooperační detail při kontrolní návštěvě.
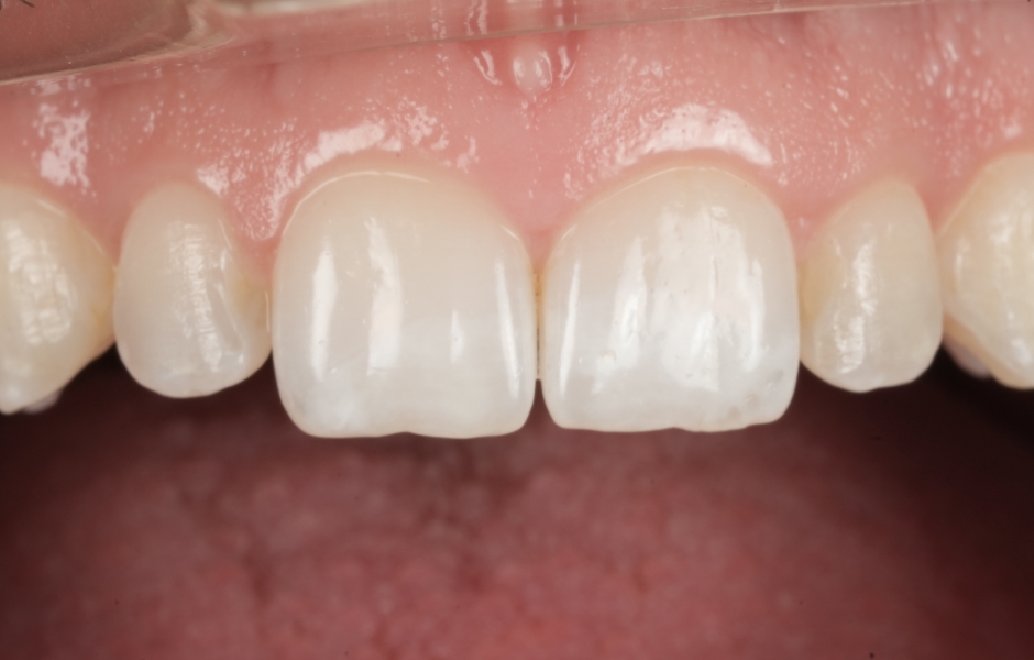
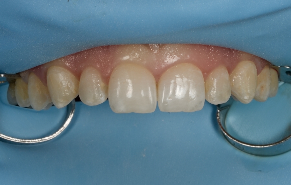
Estetický případ
Sedmatřicetiletý pacient po ukončené ortodontické léčbě požadoval estetické zlepšení frontálních zubů. Vzhledem k vysokým estetickým nárokům si přál minimálně invazivní, trvanlivou metodu, která zlepší barvu, tvar i texturu zubů 13, 12, 11, 21, 22 a 23. Přímé kompozitní fazety byly zhotoveny na zubech 12 a 22; na ostatních zubech bylo provedeno edge bonding. Použit byl GrandioSO Unlimited v cluster odstínu A1.
Rekonstrukce začala dvoutýdenním zevním bělením a následně třítýdenní rehydratací pro optimalizaci adhezivního protokolu. Nejprve byl proveden mock-up z volné ruky (freehand), vytvrzený pro ověření odstínu a schválení estetiky pacientem. Pro izolaci byl použit OptraGate; air-abraze (Al₂O₃ 29 μm, 3 bar) zvýšila adhezivní plochu. Následně bylo aplikováno Futurabond U.
Fazety byly zhotoveny v jedné vrstvě z GrandioSO Unlimited (cluster A1) a tvarovány do požadovaného tvaru pomocí různých frontálních modelovacích nástrojů. Klíčovým přínosem materiálu v estetických indikacích je jeho translucence a chromo-adaptivní chování, které podporují přirozený vzhled. Snadná manipulace umožňuje přesné tvarování bez „pružení“ materiálu.
Výborná leštitelnost a vysoký obsah plniv (91 hmotn %.) podporují dlouhodobou stabilitu rekonstrukcí při odpovídající údržbě [Dietschi et al., 2019].
3. Závěrečné poznámky
Moderní univerzální kompozity, jako je GrandioSO Unlimited, nabízejí vysokou všestrannost a jednoduchost, díky čemuž jsou vhodné pro široké spektrum klinických situací. GrandioSO Unlimited – univerzální nano-hybridní kompozit nové generace – vykazuje velmi dobré vlastnosti v různých indikacích (obr. 1–6), od distálních úseků s vysokými nároky na pevnost až po estetické rekonstrukce ve frontálním úseku.
V případech I. třídy (obr. 1) usnadňuje manipulace efektivní a přesnou rychlou modelaci, vhodnou pro posteriorní zuby s vysokým funkčním zatížením. U II. třídy (obr. 2) chromo-adaptivní vlastnosti podporují plynulé splynutí i při vnitřní diskoloraci. Předvídatelná polymerace do hloubky 4 mm zjednodušuje postup a umožňuje aplikaci „bulk“ inkrementu v hlubokých kavitách včetně rekonstrukce marginálních lišt. Případy III. třídy (obr. 3) profitují z výborné barevné adaptace, snadného výběru odstínu díky cluster shades a výborného povrchového lesku. U V. třídy (obr. 4 a 5) materiál vyniká snadnou manipulací a „pamětí“ při aplikaci. Cluster odstíny usnadňují volbu barvy a při standardním lešticím protokolu lze dosáhnout vysokého lesku a velmi plynulých přechodů.
V estetickém případě (obr. 6) byl vysoký obsah plniv (91 hmotn. %) zvláště přínosný pro edge bonding a přímé fazety. Podobně jako u V. třídy, poskytly optické vlastnosti univerzálnost a plynulé splynutí při menších dostavbách i při zhotovení fazet.
Celkově je GrandioSO Unlimited inovativním materiálem, který díky univerzálnímu použití zjednodušuje klinické pracovní postupy. Vyniká v rekonstrukcích ve frontálním i laterálním úseku, jak dokumentují uvedené případy (obr. 1–6). Jeho všestrannost, estetická kvalita a pevnost jej předurčují pro různé klinické scénáře přímých kompozitních rekonstrukcí.
Materiál umožňuje aplikaci ve vrstvě až 4 mm, dobře zvládá hluboké okraje a vyznačuje se krátkým vytvrzovacím časem 10 sekund. Vysoký obsah plniv (91 hmotn. %) poskytuje výbornou pevnost v tlaku pro posteriorní indikace a současně výbornou leštitelnost a estetiku pro frontální rekonstrukce.
Praktická doporučení zahrnují použití vytvrzeného „kompozitního knoflíku“ pro volbu odstínu a aplikaci v tenkých vrstvách při přímých fazetách či edge bondingu pro přirozenou translucenci. Při podkladové diskoloraci lze využít opaker.
Závěrem lze konstatovat, že GrandioSO Unlimited je univerzální estetické řešení s pěti cluster odstíny, které zefektivňuje práci a poskytuje výborné výsledky v různých klinických situacích přímých kompozitních rekonstrukcí.
Buďte v obraze
Chcete mít pravidelný přehled o nových článcích na tomto webu, akcích a dalších novinkách? Přihlaste se k odběru newsletteru.
Odesláním souhlasíte s našimi zásadami zpracování osobních údajů.
Bayne SC, Ferracane JL, Marshall GW, Marshall SJ, van Noort R. The Evolution of Dental Materials over the Past Century: Silver and Gold to Tooth Color and Beyond. J Dent Res. 2019 Mar;98(3):257-265. doi: 10.1177/0022034518822808. PMID: 30784370.
Cho, K, Rajan, G, Farrar, P, Prentice, L, Prusty, B.G., 2022. Dental resin composites: A review on materials to product realizations. Composites Part B: Engineering, 230, p.109495. https://doi.org/10.1016/j.compositesb.2021.109495.
Dietschi D, Shahidi C, Krejci I. Clinical performance of direct anterior composite restorations: a systematic literature review and critical appraisal. Int J Esthet Dent. 2019;14(3):252-270. PMID: 31312812.
World Health Organization (2017). Sugars and Dental Caries. Geneva, Switzerland: World Health Organization. WHO publication no: WHO/NMH/NHD/17.12.
Články
18. 2. 2026 | Obecná stomatologie
Použitý kmen probiotických bakterií patří mezi Gram-positivní nesporulující bakterie patřící do skupiny tzv. orálních resp. viridujících streptokoků. Orální streptokoky tvoří podstatnou část normální flóry dutiny ústní a horních cest dýchacích.
Články
18. 11. 2025 | Obecná stomatologie
Zubní kaz je celosvětově nejrozšířenějším neinfekčním onemocněním. Jedním z důvodů je skutečnost, že jeho počáteční stadia, která lze považovat za subklinické projevy kariézního procesu, jsou často řešena přístupem „sledovat a čekat“. Tento přístup však nese riziko progrese kazu³ a v závažných případech může vést i k vážným zdravotním komplikacím.
Články
9. 4. 2025 | Obecná stomatologie
V minimálně invazivní stomatologii je volba materiálů, které co nejlépe napodobují strukturu přirozeného zubu, zásadní. Níže uvedený klinický případ zachycuje záchovné ošetření u 42letého pacienta. Pro ošetření sekundárního kazu a nahrazení poškozených starších kompozitních a amalgámových výplní byly zvoleny nanoplněné ORMOCER kompozity pro přímé rekonstrukce s tekutou a tuhou konzistencí, konkrétně Admira Fusion Flow a Admira Fusion (VOCO).
- Zubní lékař LupoDent – Stomatologie a dentální hygiena Vyškov
- Zubní sestra Zubní instrumentářka Praha 7
- Zubní lékař Zubní lékař/lékařka – pondělí + pátek | moderní ordinace v
- Zubní lékař Zubní centrum v Turnově hledá hledá zubního lékaře/lékařku
- Zubní technik PŘIJMEME ZUBNÍHO TECHNIKA






