Reendodontické ošetření – úspěch s BioRoot Flow
Úspěšnost nechirurgického ošetření kořenových kanálků je vysoká; nicméně nedostatečné zaplnění a utěsnění anatomických složitostí zásadně ovlivňuje dlouhodobý úspěch endodontické léčby. Tradiční kořenové sealerové materiály mají tendenci se smršťovat nebo vyplavovat. BioRoot Flow je minerální trikalciumsilikátový sealer s bioaktivními vlastnostmi, který se při tuhnutí mírně rozpíná a má vysoké pH, což poskytuje antimikrobiální účinky.

Pacientka se dostavila s dříve ošetřeným zubem 46 (pravý dolní první molár) s diagnózou apikální periodontitidy a nevyplněným distolingválním (DL) a středním meziálním (MM) kanálkem. Střední meziální kanálek je třetí kanálek nacházející se mezi meziobukálním a meziolingválním kanálkem v meziálním kořeni dolních prvních molárů. Jeho výskyt se v populaci liší, avšak jeho přehlédnutí může vést k neúspěchu endodontického ošetření. Distolingvální kořen je další anatomickou variantou u dolních prvních molárů, která může obsahovat samostatný kanálek. Přítomnost tohoto kořene je často spojována s určitými etnickými skupinami a jeho správná identifikace je klíčová pro úspěšné endodontické ošetření. V níže prezentovaném případu autorka provedla reendodontické ošetření, po kterém bylo při roční kontrole zaznamenáno vynikající apikální hojení.
Klinické příznaky a symptomy
Její zubní lékař i dentální hygienistka zaznamenali periapikální projasnění spojené se zubem 46 na intraorálních rentgenových snímcích celého chrupu. Pacientka byla asymptomatická, ale protože jí bylo řečeno, že může mít „infekci“, dostavila se k autorce na endodontickou konzultaci. Zubní anamnéza uvádí, že v roce 2016 bylo provedeno endodontické ošetření zubu 46. Od roku 2017 nebyly pořízeny žádné kontrolní rentgenové snímky.
Diagnóza
Bylo provedeno extraorální a intraorální vyšetření. Nebyla zjištěna lymfadenopatie, otok, zarudnutí ani píštěl. Zub 46 nebyl citlivý na poklep ani palpaci, vykazoval fyziologickou pohyblivost, 4mm sondážní hloubku na bukální straně (ostatní oblasti < 4 mm) a nereagoval na chladový test vzhledem k předchozímu endodontickému ošetření. Zub byl ošetřen metalokeramickou korunkou na kompozitní dostavbě.
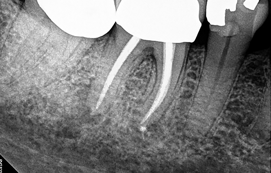
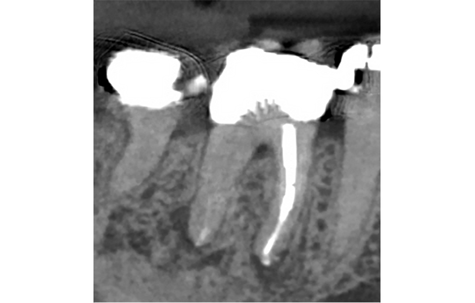
Pro radiologickou diagnostiku byl pořízen periapikální (PA) rentgenový snímek (obr. 1) a CBCT snímek s omezeným zorným polem (obr. 2a–d). Předchozí endodontické ošetření zahrnovalo zaplnění tří kanálků s nedostatečnou hustotou výplně v apikální třetině meziálních a distálních kořenů. V oblasti apexů meziálních (3 × 3 mm) a distálních (3 × 5 mm) kořenů byla patrná periapikální projasnění. CBCT (obr. 2a–d) potvrdilo nezaplněný distolingvální (DL) kanálek a možný střední meziální (MM) kanálek; koronální CBCT řez meziálního kořene (obr. 2c) také naznačuje přítomnost apikální delty spíše než jediného apikálního foramenu. Nebyly zjištěny žádné známky prasklin či fraktur.
Postup a léčba
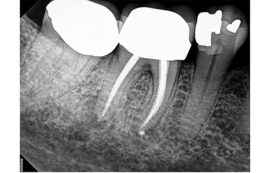
Dva dny po konzultační návštěvě se pacientka dostavila k nechirurgickému reendodontickému ošetření zubu 46. Byl proveden pohovor a získán informovaný souhlas. Byla aplikována lokální anestezie a zajištěna izolace kofferdamem. Otevřeli jsme přístupovou kavitu, abychom získali přístup ke dříve zaplněným i neošetřeným kanálkům. Ručními a rotačními nástroji spolu s rozpouštědlem jsme odstranili stávající gutaperču z meziobukálního (MB), meziolingválního (ML) a distobukálního (DB) kanálku. Identifikovali a opracovali jsme také distolingvální (DL) a střední meziální (MM) kanálek. Elektronickým apexlokátorem jsme stanovili pracovní délky pro každý kanálek a ve všech jsme dosáhli průchodnosti. Kanálky a dřeňovou dutinu jsme vypláchli 6% roztokem NaOCl pomocí 30G jehly s bočním otvorem. Jako doplněk k tradiční irigaci jsme využili technologii GentleWave. Do každého kanálku jsme přizpůsobili gutaperčový čep a pořídili kontrolní rentgenový snímek pro ověření jejich správného usazení. Kanálky jsme vysušili a aplikovali bioaktivní biokeramický kořenový sealer BioRoot Flow do střední třetiny všech kanálků pomocí luer lock koncovky dodávané výrobcem. Poté jsme z aplikační stříkačky odstranili koncovku a gutaperčové čepy jsme opatrně ponořili do sealeru zbylého v koncovce tak, aby byly rovnoměrně pokryty. Tento postup šetří sealer a zajišťuje úplné zaplnění kanálků. Čepy pokryté sealerem jsme zavedli do pracovní délky, na úrovni vstupu do kanálků je ořízli zahřátým pluggerem a následně zhutnili. Přístupovou dutinu jsme poté definitivně uzavřeli.
Byl pořízen pooperační periapikální rentgenový snímek (obr. 3) a pacientce byly poskytnuty instrukce pro domácí péči. Následující den byla pacientka telefonicky kontaktována, zda nemá nějaké otázky či obavy. Uvedla, že se cítí dobře, ale pociťuje mírnou citlivost a jednou užila ibuprofen.
Kontrolní návštěvy
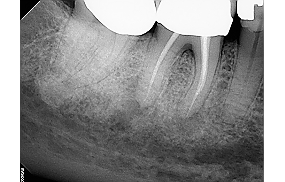
Kontrola po 6 měsících v lednu 2023: Pacientka se dostavila na rutinní kontrolu a uvedla: „Daří se mi dobře!“ Při klinickém vyšetření byla zjištěna normalizace sondážní hloubky na bukální straně na hodnotu < 4 mm. Všechny zuby v kvadrantu byly bez citlivosti na poklep a palpaci; nebyly přítomny známky erytému, otoku ani píštěle. Pacientka souhlasila s pořízením periapikálního (PA) rentgenového snímku a CBCT skenu s omezeným zorným polem. PA snímek (obr. 4) ukazuje malý výběžek sealeru v oblasti meziálního kořene; apikální projasnění spojená s meziálními a distálními kořeny se od června 2022 zmenšila (srovnání obr. 1 a 4).
CBCT sken (obr. 5) ukazuje významné zmenšení velikosti apikálních lézí, což svědčí o vynikajícím hojení po šesti měsících. Doporučení: Kontrola za šest měsíců, jelikož se očekává téměř úplné zhojení po dvanácti měsících.
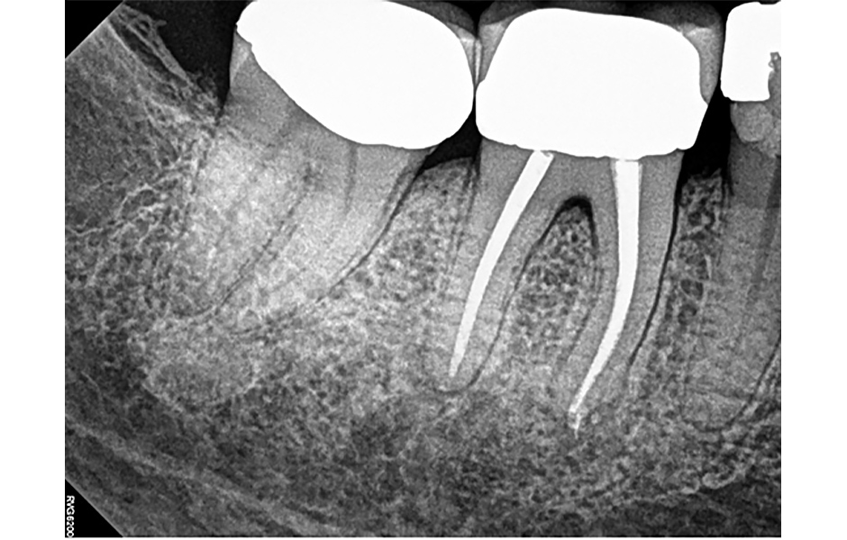
Kontrola po 12 měsících v červnu 2023: Pacientka byla asymptomatická a sondážní hloubky kolem zubu 46 byly < 4 mm. Zub 46 byl bez citlivosti na poklep a palpaci, s fyziologickou mobilitou. Pacientka souhlasila s pořízením PA rentgenových snímků (obr. 6 a, b) a CBCT skenu s omezeným zorným polem (obr. 7 a–c). PA snímky vykazují známky hojení v oblasti meziálních i distálních apexů.
CBCT sken (obr. 7a) ukazuje zaplnění středního meziálního kanálku a konvergenci distobukálního (DB) a distolingválního (DL) kanálku. Koronální řezy meziálního a distálního kořene (obr. 7 b–c) potvrzují apikální hojení obou kořenů. Klinické a radiografické nálezy indikují, že zub 46 je zhojen. Další kontrola není nutná, pokud pacientka nebo její zubní lékař nezaznamenají změny v klinických či radiografických příznacích.

Obr. 1: Předoperační PA rentgenový snímek zubu 46.

Obr. 2a, b: Předoperační CBCT řezy zubu 46 – a) sagitální, b) axiální.

Obr. 2c, d: Předoperační CBCT řezy zubu 46 – c) meziální kořen, d) distální kořen.

Obr. 3: Pooperační periapikální rentgenový snímek zubu 46 bezprostředně po reendodontickém ošetření v červnu 2022.

Obr. 4: Kontrola po 6 měsících: periapikální rentgenový snímek zubu 46 z ledna 2023 ukazuje významné apikální hojení; úplné zhojení se očekává během následujících 3–6 měsíců.

Obr. 5: Kontrola po 6 měsících: CBCT axiální snímek zubu 46 z ledna 2023 ukazuje významné apikální hojení; úplné zhojení se očekává během následujících 3–6 měsíců.

Obr. 6a, b: Kontrolní PA rentgenové snímky zubu 46 v červnu roku 2023.

Obr. 7a–c: Kontrolní CBCT řezy zubu 46 – a) axiální, b) meziální kořen, c) distální kořen.
Diskuse
Cílem endodontického ošetření je vytvořit prostředí, ve kterém může dojít k hojení apikální parodontitidy. Studie ukazují, že „neúspěch endodontických ošetření je spojen s nízkou kvalitou výplní kořenových kanálků“ (Marconi a kol.). Mnoho lékařů usiluje o zlepšení svých obturačních technik pro minimalizaci rizik selhání a opětovné infekce endodontického ošetření. Systematický přehled z roku 2022 odhalil, že technika laterální studené kondenzace a jiné obturační techniky mají srovnatelnou úspěšnost při primárních nechirurgických endodontických ošetřeních. Jsou však stále zapotřebí další dobře navržené studie (Marconi a kol.). Proto si mohou lékaři vybrat z různých obturačních technik tu, která jim nejlépe vyhovuje.
V této kazuistice byla použita technika monokónické hydraulické kondenzace. Tato technika je obecně považována za „studenou“, protože teplo je využito pouze na úrovni vstupu do kanálku k odstranění přebytečné gutaperči. Techniky plnění za studena jsou nezbytné u některých sealerů, protože využití tepla může ovlivnit proces jejich tuhnutí. To však neplatí pro BioRoot Flow, protože tento sealer tuhne v kanálku díky vlhkosti a humiditě inherentní v kořenovém dentinu; to znamená, že s tímto sealerem jsou možné techniky plnění za tepla i za studena.
Dále je známo, že přibližně 35 % stěn kořenového kanálku zůstává neopracováno endodontickými nástroji (Peters a kol.). To znamená, že úspěch endodontického ošetření závisí na kombinaci antimikrobiálních postupů (jako jsou irigace a sealery) a obturace, aby se minimalizoval prostor, ve kterém mohou bakterie přežívat a množit se. BioRoot Flow je jedinečný díky své vysoké čistotě a biokompatibilitě; to umožnilo, aby v našem případě byl malý přebytek sealeru na meziolingválním kořeni dobře přijat tělem. Navíc BioRoot Flow mírně expanduje při tuhnutí, což pomáhá blokovat dentinové tubuly, ve kterých by mohly bakterie přežívat a množit se. Vysoké pH tohoto sealeru dále přispívá k antimikrobiálním účinkům.
BioRoot Flow navazuje na úspěch BioRoot RCS, který byl uveden na trh v roce 2016. BioRoot Flow je dostupný od roku 2022 a usnadňuje využití aktivní biosilikátové technologie díky své formě ve stříkačce. Studie ukazují, že sealery na bázi vápenatých silikátů podporují apikální hojení, vykazují antibakteriální vlastnosti a vážou se na zubní strukturu. Jejich biologické vlastnosti závisí na hydratační reakci následované precipitační reakcí fosforečnanu vápenatého a tvorbě hydroxyapatitu (Zavattini a kol.). Tyto vlastnosti umožňují lékařům v praxi dosahovat vysoce kvalitních výsledků endodontického ošetření u svých pacientů.
Septodont BioRoot Flow navazuje na úspěch BioRoot RCS, který je znám svou necytotoxicitou a schopností indukovat angiogenezi a osteogenní růst. V této kazuistice hrál BioRoot Flow klíčovou roli v úspěchu reendodontického ošetření díky vynikajícím těsnicím a antimikrobiálním vlastnostem.
Buďte v obraze
Chcete mít pravidelný přehled o nových článcích na tomto webu, akcích a dalších novinkách? Přihlaste se k odběru newsletteru.
Odesláním souhlasíte s našimi zásadami zpracování osobních údajů.
- Camps, Jean et al. Bioactivity of a Calcium Silicate–based Endodontic Cement (BioRoot RCS): Interactions with Human Periodontal Ligament Cells In Vitro. (Bioaktivita endodontického cementu založeného na křemičitanu vápenatém (BioRoot RCS): Interakce s buňkami lidských parodontálních vazů in vitro.) Journal of Endodontics, Volume 41, Issue 9, 1469–1473 (2015).
- Marconi DF, da Silva GS, Weissheimer T, Silva IA, Só GB, Jahnke LT, Skupien JA, Só MVR, da Rosa RA. Influence of the root canal filling technique on the success rate of primary endodontic treatments: a systematic review (Vliv techniky plnění kořenového kanálku na úspěšnost primárních endodontických ošetření: systematický přehled). Restor Dent Endod. 2022 Oct 11;47(4):e40. doi: 10.5395/ rde.2022.47.e40. PMID: 36518607; PMCID: PMC9715375 (2022).
- Peters, O. A., et al. (2001). Effects of four Ni-Ti preparation techniques on root canal geometry assessed by micro computed tomography (Účinek čtyř technik přípravy Ni-Ti na geometrii kořenového kanálku s vyhodnocením dle mikropočítačové tomografie). Int Endod J, 34(3), 221–230.
- Zavattini A, Knight A, Foschi F, Mannocci F. Outcome of Root Canal Treatments Using a New Calcium Silicate Root Canal Sealer: A Non-Randomized Clinical Trial (Výsledek ošetření kořenových kanálků pomocí nového kalciumsilikátového sealeru na kořenové kanálky: Nerandomizovaná klinická studie). J Clin Med. 2020 Mar 13;9(3):782. doi: 10.3390/jcm9030782. PMID: 32183124; PMCID: PMC7141324.
Články
27. 1. 2026 | Endodoncie
S tradicí přesahující 150 let ve stomatologii klade Dentsply Sirona důvěru do středu své endodontické nabídky a akcentuje vývoj opřený o vědecké poznatky, přísné kontroly kvality a řadu technologických prvenství.
Články
25. 1. 2026 | Endodoncie
Termín chirurgická endodoncie označuje obor stomatologie, který se zabývá diagnostikou a léčbou lézí endodontického původu, jež nedostatečně reagují na konvenční endodontické ošetření nebo je nelze konvenční cestou ošetřit vůbec.¹ Cílem chirurgické endodoncie je dosažení trojrozměrného vyčištění, opracování a zaplnění apikální části kořenového kanálkového systému, která není přístupná běžným ortográdním přístupem dřeňovou dutinou, ale pouze po odklopení chirurgického laloku (obr. 1.1).
Články
26. 3. 2026 | Endodoncie
Vyžadují všechny prasklé zuby ošetření kořenových kanálků? Jak brzy po endodontickém ošetření by měl prasklý zub dostat korunkovou rekonstrukci? Jak lze předpovědět prognózu prasklého zubu? To jsou otázky, které často slýchám od přátel i kolegů.
- Zubní lékař Hledáme zubaře/zubařku do našeho týmu - Wolfdental s.r.o.
- Zubní lékař Nabídka vybavené zubní ordinace v obci Desná
- Zubní lékař Zubní lékař/ka
- Zubní lékař Hledá se zubní lékař - Ústí nad Orlicí. Pardubický kraj
- Zubní lékař Hledáme stomatologa do Mostu- Unikátní podmínky







