Jak diagnostikovat a endodonticky ošetřovat prasklé zuby
Vyžadují všechny prasklé zuby ošetření kořenových kanálků? Jak brzy po endodontickém ošetření by měl prasklý zub dostat korunkovou rekonstrukci? Jak lze předpovědět prognózu prasklého zubu? To jsou otázky, které často slýchám od přátel i kolegů. Prasklé zuby se vyskytují stále častěji a jejich četnost se výrazně zvýšila během pandemie COVID-19 a po ní.¹ Cílem tohoto článku je přispět k objasnění faktorů, které je třeba zohlednit při diagnostice a léčbě prasklého zubu.

Diagnostika
Při podezření na přítomnost praskliny je prvním krokem podrobné anamnestické šetření, následované klinickým vyšetřením.
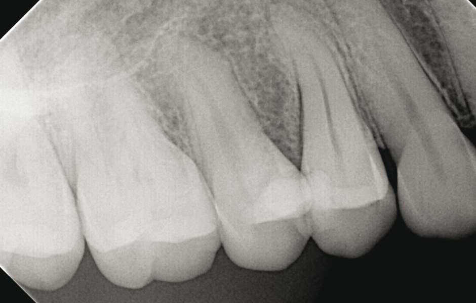
Zásadní význam pro diagnostiku má anamnéza, která by měla obsahovat následující skutečnosti: zda se objevuje bolest při skusu nebo při uvolnění skusu, jestli byly v poslední době zhotoveny výplně či jiné rekonstrukce, zda je přítomna zvýšená citlivost nebo přetrvávající bolest na teplé či studené podněty, zda pacient nemá parafunkční návyky, například noční bruxismus. Objektivní vyšetření se zaměřuje na stav zubních oblouků, jejich celistvost (včetně přítomnosti implantátů) a vzájemné vztahy (okluzní kontakty); okluzní disharmonie může vést k přetěžování zbývajícího přirozeného chrupu. Pro vizuální identifikaci praskliny zahajuji vyšetření s využitím dentálního operačního mikroskopu (dále jen DOM; obr. 1a, b).
K lepšímu odhalení drobných prasklin, které nejsou na první pohled patrné, lze použít obarvení methylenovou modří. Při vysokém zvětšení využijte transiluminaci z různých směrů a sledujte přerušení přenosu světla, které může indikovat lomovou linii (obr. 1c).
Při použití skusového testu (bite stick) za současného zvětšení lze v místě praskliny pozorovat flexi zubní struktury.² Dále zvažte odstranění stávajících výplní či rekonstrukcí, které často maskují přítomnost praskliny nebo její rozsah (obr. 1d).³
Vyšetřete měkké tkáně se zaměřením na otok či přítomnost píštěle, proveďte poklepové (perkusní) a palpační vyšetření a skusové testy na každém hrbolku. Ověřte stav pulpy pomocí chladového testu. Proveďte parodontální sondáž sulku a zaznamenejte případné úzké, izolované parodontální choboty. Nakonec zhotovte intraorální periapikální snímky a bite-wing snímky k posouzení periapikální oblasti a alveolární kosti. Na našem pracovišti rutinně využíváme CBCT k odhadu rozsahu praskliny apikálním směrem prostřednictvím nepřímých znaků. Lokalizovaná oblast ztráty kosti sledující povrch kořene nebo jediný úzký parodontální defekt může při nepřítomnosti generalizované parodontitidy svědčit pro přítomnost praskliny či fraktury (viz obr. 2a, b, c).⁴

Vyžadují všechny prasklé zuby endodontické ošetření? Ne nutně. Na našem pracovišti se – pokud je to možné – snažíme zachovat vitalitu pulpy a preferujeme konzervativní postup: doporučíme celoplášťovou korunkovou rekonstrukci s cílem zabránit další propagaci praskliny. Toto doporučení vychází z řady studií, které ukázaly, že prasklé zuby se symptomatikou reverzibilní pulpitidy a normálním nálezem na apexu, u nichž byla bezprostředně zhotovena korunka, měly 80% pravděpodobnost, že nikdy nebudou vyžadovat endodontické ošetření.⁵˒ ⁶ Přesto je nezbytné pacientům vysvětlit, že pokud budou patřit k „nešťastným“ 20 % (tedy zhruba 1 z 5), může být endodontické ošetření po korunkové rekonstrukci přesto nutné. V případě, že se po zhotovení korunky rozvine ireverzibilní pulpitida a endodontické ošetření bude indikováno, vysvětlujeme pacientům, že lze provést mimořádně konzervativní endodontický přístup skrze korunku s využitím DOM, flexibilních mechanicky poháněných rotačních NiTi nástrojů a pokročilých metod laserové aktivace/irigace, které v praxi používáme.
Buďte v obraze
Chcete mít pravidelný přehled o nových článcích na tomto webu, akcích a dalších novinkách? Přihlaste se k odběru newsletteru.
Odesláním souhlasíte s našimi zásadami zpracování osobních údajů.
Vyžadují všechny endodonticky ošetřené prasklé zuby korunku? Ano. Korunková rekonstrukce by měla být zhotovena co nejdříve po dokončení endodontického ošetření. Pacienti i zubní lékaři někdy váhají s korunkou do doby, než odezní symptomy, avšak u zubu s prasklinou nelze očekávat jejich plné vymizení, pokud existuje možnost další flexie podél linie praskliny.
Předplaťte si StomaTeam ONLINE a získejte neomezený přístup ke kompletnímu obsahu StomaTeamu.
objednat předplatné- Nosrat, A., Yu, P., Verma, P., Dianat, O., Wu, D. and Fouad, A.F., 2022. Was the coronavirus disease 2019 pandemic associated with an increased rate of cracked teeth?. Journal of endodontics, 48(10), pp.1241-1247.
- Krell, K.V., 2022. Cracked Teeth and Vertical Root Fractures: A New Look at a Growing Problem. ENDODONTICS: Colleagues for Excellence; American Association of Endodontists: Chicago, IL, USA.
- Abbott, P.V., 2004. Assessing restored teeth with pulp and periapical diseases for the presence of cracks, caries and marginal breakdown. Australian dental journal, 49(1), pp.33-39.
- Alaugaily, I. and Azim, A.A., 2022. CBCT patterns of bone loss and clinical predictors for the diagnosis of cracked teeth and teeth with vertical root fracture. Journal of Endodontics, 48(9), pp.1100-1106.
- Krell, K.V. and Rivera, E.M., 2007. A six year evaluation of cracked teeth diagnosed with reversible pulpitis: treatment and prognosis. Journal of endodontics, 33(12), pp.1405-1407.
- Abbott, P. and Leow, N., 2009. Predictable management of cracked teeth with reversible pulpitis. Australian Dental Journal, 54(4), pp.306-315.
- Krell, K.V. and Caplan, D.J., 2018. 12-month success of cracked teeth treated with orthograde root canal treatment. Journal of endodontics, 44(4), pp.543-548.
- Davis, M.C. and Shariff, S.S., 2019. Success and survival of endodontically treated cracked teeth with radicular extensions: a 2-to 4-year prospective cohort. Journal of endodontics, 45(7), pp.848-855.
Články
15. 12. 2025 | Endodoncie
Úspěšnost nechirurgického ošetření kořenových kanálků je vysoká; nicméně nedostatečné zaplnění a utěsnění anatomických složitostí zásadně ovlivňuje dlouhodobý úspěch endodontické léčby.
Články
25. 1. 2026 | Endodoncie
Termín chirurgická endodoncie označuje obor stomatologie, který se zabývá diagnostikou a léčbou lézí endodontického původu, jež nedostatečně reagují na konvenční endodontické ošetření nebo je nelze konvenční cestou ošetřit vůbec.¹ Cílem chirurgické endodoncie je dosažení trojrozměrného vyčištění, opracování a zaplnění apikální části kořenového kanálkového systému, která není přístupná běžným ortográdním přístupem dřeňovou dutinou, ale pouze po odklopení chirurgického laloku (obr. 1.1).
Články
26. 3. 2026 | Endodoncie
Vyžadují všechny prasklé zuby ošetření kořenových kanálků? Jak brzy po endodontickém ošetření by měl prasklý zub dostat korunkovou rekonstrukci? Jak lze předpovědět prognózu prasklého zubu? To jsou otázky, které často slýchám od přátel i kolegů.







