PR, Zirkonzahn | Případ Dr. Anne-Maree Cole – The Littleton Cole Dental Centre, Brisbane, Austrálie, a DT Werner Sauer – Werner Sauer Smile Design, Brisbane, Austrálie
Klinický přístup k plně keramickým hybridním rehabilitacím zajišťujícím dlouhodobou stabilitu a vysoce estetické výsledky bez použití kovových komponent.
ProtetikaLékaři čím dál častěji investují do vlastního zázemí. Vyplývá to z dat úvěrové společnosti EkoRent, která je lídrem ve financování zdravotnických zařízení v Česku. Ta zaznamenala v roce 2025 výrazný nárůst financování odkupů ordinací. Objem poskytnutých úvěrů na ordinace meziročně vzrostl z 34 na 100 milionů korun. O téměř 60 % vzrostlo financování odkupů a renovací nemovitostí.
Řízení praxeZirkon se stal standardem moderní protetiky – je přesný, estetický a odolný. Jak jsme se k tomuto materiálu dostali, proč mu dnes důvěřují lékaři i pacienti a jak funguje výroba anatomických zirkonových korunek v JS Lab?
ProtetikaS tradicí přesahující 150 let ve stomatologii klade Dentsply Sirona důvěru do středu své endodontické nabídky a akcentuje vývoj opřený o vědecké poznatky, přísné kontroly kvality a řadu technologických prvenství.
EndodonciePo mimořádném úspěchu kongresu Terauchi Prague 2025, který sám Dr. Terauchi označil za nejlepší, jaký zažil, přichází další kapitola. Castellucci Prague 2026 nebude jen pokračováním – bude výrazným krokem dál. Praha se i v roce 2026 znovu stane místem světové endodoncie doplněné o špičkové technologie – program otevře Dr. Castellucci celodenní intenzivní přednáškou na téma endodontické mikrochirurgie a celý druhý přednáškový den bude věnovaný laserům a tomu, jak mohou změnit endodoncii i stomatologii vůbec.
Interview / reportážTermín chirurgická endodoncie označuje obor stomatologie, který se zabývá diagnostikou a léčbou lézí endodontického původu, jež nedostatečně reagují na konvenční endodontické ošetření nebo je nelze konvenční cestou ošetřit vůbec.¹ Cílem chirurgické endodoncie je dosažení trojrozměrného vyčištění, opracování a zaplnění apikální části kořenového kanálkového systému, která není přístupná běžným ortográdním přístupem dřeňovou dutinou, ale pouze po odklopení chirurgického laloku (obr. 1.1).
EndodoncieLea Šafránková – certifikovaná terapeutka, propagátorka a lektorka myofunkční terapie dle Anity Kittel a Niny Oster. Systematicky a komplexně propojuje vědecké poznatky z logopedie, neurovývojové terapie, ortodoncie, ORL, fyzioterapie a dlouhodobě rozvíjí mezioborovou spolupráci s řadou expertů u nás i v zahraničí.
Interview / reportážProtetika
Odt. Master Matthias Klingner
Tato kazuistika se zabývá integrací technologií Ceramill FDS, Zebris, M-Smile a Ivotion při výrobě celkových náhrad. Pacientka, nositelka celkových náhrad po dobu 36 let, vyžadovala zlepšení estetiky a retence.
Multidisciplinární případ ukazující univerzálnost materiálu IPS e.max Ceram pro dosažení přirozeného a vysoce estetického výsledku.
Dnešní vysoké estetické nároky lze uspokojit pomocí přímých kompozitních rekonstrukcí.
Představujeme případ částečné náhrady chrupu ošetřeného pomocí jednoduchého plně digitálního protokolu, který zahrnoval zhotovení implantáty nesených korunkových náhrad (spojených korunek) z hybridního kompozitního materiálu se 42% obsahem keramiky (certifikovaného pro definitivní náhrady) za využití moderní technologie 3D tisku TSLA (tilted stereolithography) na tiskárně DFAB.
Implantologie
Elias Jean-Jacques Khoury | Tristan Hampe, Fouad Khoury
Aspergilóza je nejčastější příčinou oportunních mykotických infekcí u imunokompromitovaných jedinců a může být klasifikována jako invazivní nebo neinvazivní.
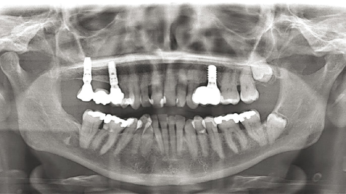
Moderní stomatologie prochází technologickou revolucí, kterou pohání integrace pokročilých digitálních nástrojů v diagnostice, plánování a léčbě. Mezi nimi se počítačem řízená implantologie stala základním pilířem, zejména u složitých výkonů, jako jsou estetické rekonstrukce a celková rehabilitace čelistního oblouku.
Digitální pracovní postupy ve stomatologii přinesly revoluci v přístupu odborníků ke složitým zákrokům – zlepšují přesnost, efektivitu a dosažené klinické výsledky. Mezi digitálními inovacemi se výrazně prosazují systémy pro plnou navigaci...
Použití pasivní a aktivní navigace při implantaci umožňuje dosáhnout relativně přesné pozice, hloubky i angulace štoly pro implantát, a tím pádem dobrou prediktabilitu protetického ošetření. Zejména používání operačních šablon pro pasivní navigaci…
Vzdělávací akce
Obecná stomatologie
Allison Dooley | Nick Coller
Autoři článku diskutují o významu remineralizace a demineralizace v procesu vzniku zubního kazu.
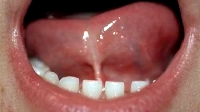
Úvod: Jazyk je prvním orgánem, který začíná fungovat již během embryonálního vývoje. Jeho vývojové odchylky mohou vést k poruchám funkce s následky i ve vzdálených oblastech těla.
Zubní kaz je celosvětově nejrozšířenějším neinfekčním onemocněním. Jedním z důvodů je skutečnost, že jeho počáteční stadia, která lze považovat za subklinické projevy kariézního procesu, jsou často řešena přístupem „sledovat a čekat“. Tento přístup však nese riziko progrese kazu³ a v závažných případech může vést i k vážným zdravotním komplikacím.
Výplně, respektive kompozity využívám v případech rozsáhlých či klinicky významných infundibulárních kazů, které se vyskytují na trvalých maxilárních premolárech a molárech tvořících dentici koní.
Ortodoncie
Brock Rondeau, D.D.S., I.B.O., D.A.B.C.P., D-A.C.S.D.D., D.A.B.D.S.M., D.A.B.C.D.S.M.
Čím dříve u dětí diagnostikujeme a léčíme problémy s dýchacími cestami, tím větší bude mít léčba přínos pro jejich celoživotní fyzické a mentální zdraví. Jakákoli obstrukce dýchacích cest vede k dýchacím obtížím, včetně dýchání ústy, chrápání, spánkové apnoe, hypopnoe a syndromu zvýšeného odporu horních cest dýchacích (UARS).
Autorka článku uvádí: V mé praxi systém DentalMonitoring zásadně změnil způsob, jakým řídíme a sledujeme ortodontickou léčbu. Díky jeho technologiím založeným na umělé inteligenci (AI) jsem dokázala zlepšit výsledky léčby, zvýšit spokojenost pacientů a minimalizovat počet jejich osobních návštěv v ordinaci.
Ortodontická léčba pacientů s gingiválními recesy, kostní atrofií a parodontálním zánětem...
Jak se změnila moje ortodontická ordinace díky nejmodernější digitální technologii
Endodoncie
Dr. Lauren Kuhn Nuth
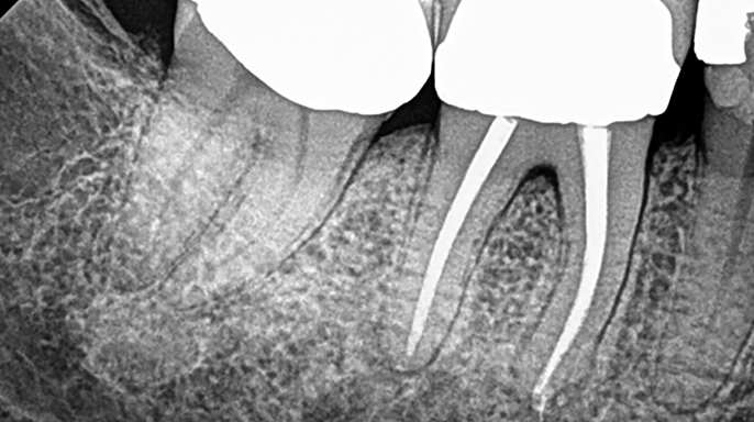
Úspěšnost nechirurgického ošetření kořenových kanálků je vysoká; nicméně nedostatečné zaplnění a utěsnění anatomických složitostí zásadně ovlivňuje dlouhodobý úspěch endodontické léčby.
Jako zubní lékaři často čelíme nutnosti revidovat ošetření kořenových kanálků kvůli problémům, jako je například netěsnost výplně nebo neadekvátní předchozí léčba. Náš imunitní systém naštěstí hraje zásadní roli při udržování křehké bakteriální rovnováhy bojem proti bakteriální agresi...
Orifice opener, glide path, shaping a finishing nástroj – pro konvenční endodontické ošetření často postačuje kompaktní systém nikltitanových (NiTi) nástrojů k dosažení reprodukovatelných výsledků...
Mechanická preparace kořenových kanálků pomocí nikltitanových (NiTi) nástrojů aktivovaných endodontickými...
Technologie
Dr. Marcin Maj
Zavedení titanových slitin otevřelo nové perspektivy v moderní implantologii a zubním odborníkům umožnilo nabídnout pacientům širší škálu terapeutických možností. Pokračující výzkum titanových slitin neustále odhaluje nové možnosti využití a zlepšení. S rostoucím porozuměním materiálům a lidskému tělu přispívá propojení interdisciplinárních poznatků k tomu, že další kapitola v implantologii bude ještě slibnější a převratnější.
Zirkonzahn představuje své komponenty a softwarové možnosti pro přenos dat pacienta bez zkreslení či ztráty informací – a to při přenosu z analogové podoby do digitální, z digitální do analogové nebo v plně digitálním scénáři.
Dr. Elissa Nasr popisuje léčbu gummy smile pomocí chirurgického prodloužení korunky s využitím digitálního pracovního postupu.
Smyslem inovace intraorálního skenování je umožnit stomatologům poskytovat vynikající péči pacientům a současně zefektivňovat všechny kroky jejich digitálního pracovního postupu.
Dentální hygiena
Cat Edney
Cat Edney rozebírá, jak může dentální hygienista/ka ve Velké Británii přispět k rozvoji dentální praxe z hlediska podnikání a financí.
Guided Biofilm Therapy – bezpečné ošetření i v náročných případech: rozhovor s dentální hygienistkou Heidi Zisterer, která za dokumentaci velmi náročného ošetření s využitím GBT získala ocenění Dental Hygiene Practitioner Award na 25. výroční konferenci Německé společnosti dentálních hygienistek (DGDH).
V posledních letech došlo k výraznému nárůstu počtu zavedených implantátů, zejména díky předchozím dobrým výsledkům, a spolu s ním také ke zvýšené incidenci onemocnění spojených s implantáty...
Zdravie ústnej dutiny zohráva dôležitú úlohu v celkovom zdraví organizmu a kvalite života. Podľa mnohých odborníkov naše zdravie začína práve v ústach, pretože ústna dutina predstavuje vstupnú bránu z vonkajšieho prostredia do organizmu...
Zprávy z firem
PR, Straumann
Intraorální skener Straumann SIRIOS je navržen tak, aby zefektivnil digitální pracovní postup díky svému ergonomickému provedení a intuitivnímu ovládání. S hmotností pouhých 245 gramů včetně baterie a tvarem připomínajícím pero zajišťuje pohodlnou manipulaci a snižuje únavu obsluhy i při delších výkonech.
Přesná lokalizace apexu kořenového kanálku a správné určení pracovní délky jsou klíčovými faktory pro úspěšné endodontické ošetření. Evropská společnost endodontistů (ESE) a Americká asociace endodontistů (AAE) doporučují použití apexlokátoru v kombinaci s ověřovacími rentgenovými snímky [1, 2].
Quakertown, PA (16. září 2025) – Společnost DEXIS, globální lídr v oblasti dentální zobrazovací techniky, s hrdostí rozšiřuje své produktové portfolio o nový intraorální skener DEXIS Imprevo.
Podle dostupných údajů až 77 % stomatologických profesionálů trpí muskuloskeletálními poruchami, které jsou často způsobeny opakovanými pohyby, nesprávným držením těla a dlouhodobým přetěžováním svalů, kloubů a nervů (Bhatia et al., 2024). Výběr stomatologického vybavení, které podporuje váš způsob práce, je klíčový pro minimalizaci těchto rizik.
Prodám/Koupím - ordinace Náhradní nádobka k odlučovači amalgámu (Metasys) další inzeráty
Prodám/Koupím - ordinace Osvětlení do zubí ordinace Dentasun další inzeráty
Zprávy z firem
PR, Align Technology
Tento 3D tištěný aparát je určen pro použití u dětí, dospívajících i dospělých a poskytuje zubním lékařům a ortodontistům inovativní řešení pro léčbu běžných skeletálních a dentálních malokluzí.
Zatímco v minulosti volbu osvětlení provozovatel ordinace často ponechal na elektrikáři, dnes jsou požadavky na splnění normy pečlivě kontrolovány hygieniky a jejich naplnění je složitější. Navíc je pro kolaudaci ordinace často nutné doložit splnění normy závěrečným měřením umělého osvětlení.
Když pacient přichází na profesionální dentální hygienu, očekává zlepšení estetiky svého úsměvu. Pokud však nemá povrchové zabarvení zubů, je mnohdy výsledkem zklamán. Po dlouhém sezení, které může být nepříjemné až bolestivé, vidí své zuby stejné jako předtím, a navíc často i krvácející dásně. To rozhodně nepřispívá k motivaci pacienta pravidelně podstupovat profesionální dentální hygienu.
Technologie úpravy povrchu Super Osseointegration (SOI) výrazně zkracuje dobu potřebnou pro zatížení implantátů zubní náhradou. Obvykle je po implantaci nutno čekat 6 až 9 měsíců se zatížením zubní náhradou – technologie SOI tuto dobu zkracuje na pouhé 2 až 4 měsíce.
Řízení praxe
StomaTeam
Profese zubního lékaře patří bezesporu k těm nejnáročnějším. Vyžaduje vysokou úroveň odborných znalostí, zručnost i psychickou odolnost. Zubní lékaři musí zvládat stresové situace, často pracují s pacienty, kteří mají strach či je trápí bolest, a přitom si zachovat klid a profesionalitu. Nezanedbatelná je také fyzická zátěž – dlouhodobá práce v nepřirozených polohách často vede k bolestem zad, hlavy či krční páteře.
Při své práci (a diskusích se stomatology) často narážím na jeden zásadní, opakující se konflikt: Je to střet dvou světů, které se v ordinaci pravidelně potkávají, ale málokdy si rozumí.
Naháníte se jednou přes telefon, jindy píšete SMS nebo zprávy přes WhatsApp. Odpovědi za vás často tlumočí sestřička, zatímco vy máte pacienta v křesle a soustředíte se na jinou práci.
Pokud jde o poskytování bezpečné a vysoce kvalitní zubní péče, udržování čistoty rozvodů vody v zubních soupravách není jen otázkou dodržování předpisů, ale také zásadní součástí zajištění bezpečnosti pacientů.
Interview / reportáž
redakce médií StomaTeam
V úterý 24. února 2026 se bude v Praze, v Divadle U Hasičů, konat již 15. ročník vzdělávací akce Škachův den. Vzdělávací akce, o níž je zájem již tradičně vyšší než kapacita sálu divadla. Přečtěte si aktuální informace o připravovaném ročníku Škachova dne.
Již podeváté přivítalo Ústí nad Labem studenty zdravotnických škol z celé republiky, kteří studují obor Asistent zubního technika a Diplomovaný zubní technik, na celostátní soutěži v modelovacích technikách. Letošní ročník, který se konal 13. – 14. ledna 2026, provázelo mrazivé počasí, které účastníkům ztížilo cestu. Přesto dorazilo 24 soutěžících ze 12 škol.
Ve dnech 13. a 14. ledna 2026 se uskuteční již 9. ročník této soutěže studentů oborů Asistent zubního technika a Diplomovaný zubní technik. Soutěže se tradičně účastní žáci a studenti všech škol v České republice, které vzdělávají budoucí zubní techniky.
Zdravotní klauni jsou profesionálové vyškolení rozdávat radost všude tam, kde je to nejvíce potřeba – na dětských odděleních, pohotovostech, v hospicích nebo domovech pro seniory.




































































































