Dr. Ashish Soneji, Queen Square Dental Clinic, Bristol, UK
Moderní stomatologická praxe klade na dentální profesionály řadu nároků. Tento článek představuje inovativní dentální kompozitum společnosti VOCO, které má potenciál zásadně zjednodušit klinický pracovní postup.
Obecná stomatologieZa každou rekonstrukční terapií nestojí pouze klinická odbornost, řemeslná preciznost a moderní technologie, ale především člověk. V tomto článku autorský tým popisuje případ mladé pacientky, která se vydala na cestu k novému úsměvu.
Obecná stomatologieMnoho zubních techniků si myslí, že kvalitní zubní laboratoř poznáte podle krásných korunek.
ProtetikaPrimár zubnej kliniky je pre mnohých stále synonymom „hlavného zubára“. V PETRAMEDe však túto rolu vnímame omnoho širšie. Primár je pre nás klinický líder, partner manažmentu a človek, ktorý zásadne ovplyvňuje nielen odbornú úroveň, ale aj kultúru, atmosféru a smerovanie celej kliniky.
Interview / reportážVyžadují všechny prasklé zuby ošetření kořenových kanálků? Jak brzy po endodontickém ošetření by měl prasklý zub dostat korunkovou rekonstrukci? Jak lze předpovědět prognózu prasklého zubu? To jsou otázky, které často slýchám od přátel i kolegů.
EndodonciePacient se dostavil do ordinace, nespokojený s estetickým výsledkem korunek na zubech 24 a 25. Klinické vyšetření prokázalo nevyhovující marginální uzávěr u obou korunek, a proto bylo indikováno zhotovení nových protetických rekonstrukcí.
ProtetikaPrezidium ADH ČR zve všechny dentální hygienistky, zubní lékaře a další zájemce z řad odborné veřejnosti na Jarní odbornou konferenci ADH ČR, která se bude konat 10. 4. 2026 v hotelu Clarion v Praze 9.
Dentální hygienaProtetika
PR, Zirkonzahn | Případ Dr. Anne-Maree Cole – The Littleton Cole Dental Centre, Brisbane, Austrálie, a DT Werner Sauer – Werner Sauer Smile Design, Brisbane, Austrálie
Klinický přístup k plně keramickým hybridním rehabilitacím zajišťujícím dlouhodobou stabilitu a vysoce estetické výsledky bez použití kovových komponent.
Zirkon se stal standardem moderní protetiky – je přesný, estetický a odolný. Jak jsme se k tomuto materiálu dostali, proč mu dnes důvěřují lékaři i pacienti a jak funguje výroba anatomických zirkonových korunek v JS Lab?
Tato kazuistika se zabývá integrací technologií Ceramill FDS, Zebris, M-Smile a Ivotion při výrobě celkových náhrad. Pacientka, nositelka celkových náhrad po dobu 36 let, vyžadovala zlepšení estetiky a retence.
Multidisciplinární případ ukazující univerzálnost materiálu IPS e.max Ceram pro dosažení přirozeného a vysoce estetického výsledku.
Implantologie
Dr. Sangeeta Pai
Demografické změny přivádějí do stomatologických ordinací stále více starších pacientů s nedostatečnými a selhávajícími stávajícími rekonstrukcemi.
Aspergilóza je nejčastější příčinou oportunních mykotických infekcí u imunokompromitovaných jedinců a může být klasifikována jako invazivní nebo neinvazivní.
Moderní stomatologie prochází technologickou revolucí, kterou pohání integrace pokročilých digitálních nástrojů v diagnostice, plánování a léčbě. Mezi nimi se počítačem řízená implantologie stala základním pilířem, zejména u složitých výkonů, jako jsou estetické rekonstrukce a celková rehabilitace čelistního oblouku.
Digitální pracovní postupy ve stomatologii přinesly revoluci v přístupu odborníků ke složitým zákrokům – zlepšují přesnost, efektivitu a dosažené klinické výsledky. Mezi digitálními inovacemi se výrazně prosazují systémy pro plnou navigaci...
Vzdělávací akce
Obecná stomatologie
Curasept s.p.a.
Curasept dnes patří mezi nejuznávanější hráče na trhu orální péče a v Itálii je lídrem v lékárenském segmentu. Stojí za tím model založený na kvalitě a vědě – na výzkumu, inovacích a úzké spolupráci s akademickými institucemi a vědeckými společnostmi doma i v zahraničí.
Použitý kmen probiotických bakterií patří mezi Gram-positivní nesporulující bakterie patřící do skupiny tzv. orálních resp. viridujících streptokoků. Orální streptokoky tvoří podstatnou část normální flóry dutiny ústní a horních cest dýchacích.
Autoři článku diskutují o významu remineralizace a demineralizace v procesu vzniku zubního kazu.
Úvod: Jazyk je prvním orgánem, který začíná fungovat již během embryonálního vývoje. Jeho vývojové odchylky mohou vést k poruchám funkce s následky i ve vzdálených oblastech těla.
Ortodoncie
Brock Rondeau, D.D.S., I.B.O., D.A.B.C.P., D-A.C.S.D.D., D.A.B.D.S.M., D.A.B.C.D.S.M.
Čím dříve u dětí diagnostikujeme a léčíme problémy s dýchacími cestami, tím větší bude mít léčba přínos pro jejich celoživotní fyzické a mentální zdraví. Jakákoli obstrukce dýchacích cest vede k dýchacím obtížím, včetně dýchání ústy, chrápání, spánkové apnoe, hypopnoe a syndromu zvýšeného odporu horních cest dýchacích (UARS).
Autorka článku uvádí: V mé praxi systém DentalMonitoring zásadně změnil způsob, jakým řídíme a sledujeme ortodontickou léčbu. Díky jeho technologiím založeným na umělé inteligenci (AI) jsem dokázala zlepšit výsledky léčby, zvýšit spokojenost pacientů a minimalizovat počet jejich osobních návštěv v ordinaci.
Ortodontická léčba pacientů s gingiválními recesy, kostní atrofií a parodontálním zánětem...
Jak se změnila moje ortodontická ordinace díky nejmodernější digitální technologii
Endodoncie
PR, Dentsply Sirona
S tradicí přesahující 150 let ve stomatologii klade Dentsply Sirona důvěru do středu své endodontické nabídky a akcentuje vývoj opřený o vědecké poznatky, přísné kontroly kvality a řadu technologických prvenství.
Termín chirurgická endodoncie označuje obor stomatologie, který se zabývá diagnostikou a léčbou lézí endodontického původu, jež nedostatečně reagují na konvenční endodontické ošetření nebo je nelze konvenční cestou ošetřit vůbec.¹ Cílem chirurgické endodoncie je dosažení trojrozměrného vyčištění, opracování a zaplnění apikální části kořenového kanálkového systému, která není přístupná běžným ortográdním přístupem dřeňovou dutinou, ale pouze po odklopení chirurgického laloku (obr. 1.1).
Úspěšnost nechirurgického ošetření kořenových kanálků je vysoká; nicméně nedostatečné zaplnění a utěsnění anatomických složitostí zásadně ovlivňuje dlouhodobý úspěch endodontické léčby.
Jako zubní lékaři často čelíme nutnosti revidovat ošetření kořenových kanálků kvůli problémům, jako je například netěsnost výplně nebo neadekvátní předchozí léčba. Náš imunitní systém naštěstí hraje zásadní roli při udržování křehké bakteriální rovnováhy bojem proti bakteriální agresi...
Technologie
PR, Align Technology
Téměř před třiceti lety proměnil systém Invisalign ortodoncii díky technologii snímatelných alignerů. Za každým úsměvem se však skrýval složitý a časově náročný proces plánování léčby.
ClinCheck® Live Plan představuje významný technologický milník v rámci digitální platformy Align™ (Align™ Digital Platform).
Zavedení titanových slitin otevřelo nové perspektivy v moderní implantologii a zubním odborníkům umožnilo nabídnout pacientům širší škálu terapeutických možností. Pokračující výzkum titanových slitin neustále odhaluje nové možnosti využití a zlepšení. S rostoucím porozuměním materiálům a lidskému tělu přispívá propojení interdisciplinárních poznatků k tomu, že další kapitola v implantologii bude ještě slibnější a převratnější.
Zirkonzahn představuje své komponenty a softwarové možnosti pro přenos dat pacienta bez zkreslení či ztráty informací – a to při přenosu z analogové podoby do digitální, z digitální do analogové nebo v plně digitálním scénáři.
Dentální hygiena
Cat Edney
Cat Edney rozebírá, jak může dentální hygienista/ka ve Velké Británii přispět k rozvoji dentální praxe z hlediska podnikání a financí.
Guided Biofilm Therapy – bezpečné ošetření i v náročných případech: rozhovor s dentální hygienistkou Heidi Zisterer, která za dokumentaci velmi náročného ošetření s využitím GBT získala ocenění Dental Hygiene Practitioner Award na 25. výroční konferenci Německé společnosti dentálních hygienistek (DGDH).
V posledních letech došlo k výraznému nárůstu počtu zavedených implantátů, zejména díky předchozím dobrým výsledkům, a spolu s ním také ke zvýšené incidenci onemocnění spojených s implantáty...
Zdravie ústnej dutiny zohráva dôležitú úlohu v celkovom zdraví organizmu a kvalite života. Podľa mnohých odborníkov naše zdravie začína práve v ústach, pretože ústna dutina predstavuje vstupnú bránu z vonkajšieho prostredia do organizmu...
Zprávy z firem
PR, Align Technology
Série nových dynamických vizualizací přímo na obrazovce skeneru umožňuje pacientům vidět a pochopit nejen celkový stav jejich ústního zdraví, ale také možný budoucí úsměv po léčbě alignery Invisalign®. Systém iTero™ zároveň nově umožňuje design mock-upů a protetických náhrad pro 3D tisk přímo v ordinaci.
Společnost Amann Girrbach, průkopník a jeden z předních inovátorů v oblasti dentálních CAD/CAM technologií, oznamuje uvedení svého nejnovějšího frézovacího zařízení kompaktní třídy.
Intraorální skener Straumann SIRIOS je navržen tak, aby zefektivnil digitální pracovní postup díky svému ergonomickému provedení a intuitivnímu ovládání. S hmotností pouhých 245 gramů včetně baterie a tvarem připomínajícím pero zajišťuje pohodlnou manipulaci a snižuje únavu obsluhy i při delších výkonech.
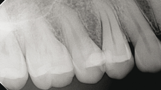
Přesná lokalizace apexu kořenového kanálku a správné určení pracovní délky jsou klíčovými faktory pro úspěšné endodontické ošetření. Evropská společnost endodontistů (ESE) a Americká asociace endodontistů (AAE) doporučují použití apexlokátoru v kombinaci s ověřovacími rentgenovými snímky [1, 2].
Prodám/Koupím - ordinace Intraorální rtg Kodak Carestream další inzeráty
Prodám/Koupím - ordinace Zubařské křeslo Adec z USA další inzeráty
Zprávy z firem
PR, DEXIS
Quakertown, PA (16. září 2025) – Společnost DEXIS, globální lídr v oblasti dentální zobrazovací techniky, s hrdostí rozšiřuje své produktové portfolio o nový intraorální skener DEXIS Imprevo.
Podle dostupných údajů až 77 % stomatologických profesionálů trpí muskuloskeletálními poruchami, které jsou často způsobeny opakovanými pohyby, nesprávným držením těla a dlouhodobým přetěžováním svalů, kloubů a nervů (Bhatia et al., 2024). Výběr stomatologického vybavení, které podporuje váš způsob práce, je klíčový pro minimalizaci těchto rizik.
Tento 3D tištěný aparát je určen pro použití u dětí, dospívajících i dospělých a poskytuje zubním lékařům a ortodontistům inovativní řešení pro léčbu běžných skeletálních a dentálních malokluzí.
Zatímco v minulosti volbu osvětlení provozovatel ordinace často ponechal na elektrikáři, dnes jsou požadavky na splnění normy pečlivě kontrolovány hygieniky a jejich naplnění je složitější. Navíc je pro kolaudaci ordinace často nutné doložit splnění normy závěrečným měřením umělého osvětlení.
Řízení praxe
Ing. Tomáš Košumberský
Nejspíš jste vstupovali do světa stomatologie s ušlechtilou vizí: Léčit, pomáhat a navracet úsměvy. Jen málokdo však byl během studií připraven na realitu, která nastane v okamžiku, kdy otočíte klíčem ve dveřích své vlastní praxe.
V zubních ordinacích i laboratořích se v roce 2026 začnete stále častěji setkávat s tím, že k některým přístrojům už nebude přiložen tištěný návod k použití. Nejde o „šetření výrobce“, ale o důsledek změny evropských pravidel: od 16. července 2025 je možné poskytovat návod k použití v elektronické podobě (eIFU) pro všechna zdravotnická zařízení určená pro profesionální použití. (SÚKL)
Smile Centrum provozuje síť 10 moderních klinik v Praze a v dalších lokalitách v rámci České republiky. Dnes pečuje přibližně o 70 000 klientů a opírá se o tým více než 100 dentálních odborníků.
Lékaři čím dál častěji investují do vlastního zázemí. Vyplývá to z dat úvěrové společnosti EkoRent, která je lídrem ve financování zdravotnických zařízení v Česku. Ta zaznamenala v roce 2025 výrazný nárůst financování odkupů ordinací. Objem poskytnutých úvěrů na ordinace meziročně vzrostl z 34 na 100 milionů korun. O téměř 60 % vzrostlo financování odkupů a renovací nemovitostí.
Interview / reportáž
Bc. Martin Karbusický
“Jedno místo, jeden den! To nejlepší od těch nejlepších“, tak znělo pozvání na první TECH-DENT. Kongres pořádaný Komorou zubních techniků, který byl kvůli covidu odložen o celé dva roky.
V posledním únorovém a prvním březnovém dni zavítali studenti a mladí stomatologové z celé republiky do srdce Hané – Olomouce – na osmý ročník kongresu UPdent, aby rozšířili své povědomí o tzv. soft skills.
Rok uplynul rychle a v úterý 24. února se prostory Divadla U Hasičů v Praze opět proměnily v centrum úsměvů, odborných přednášek, konzultací a praktických ukázek. Konal se již tradiční Škachův den.
Pro ty, kteří každý den pracují s maximální přesností, je spolehlivá technologie nezbytná. Hovořili jsme s Isabellou Schmied (produktová manažerka pro orální chirurgii ve společnosti W&H) a Andreasem Brandstätterem (produktový ředitel pro orální chirurgii a implantologii ve společnosti W&H) o novém Implantmed Plus II.




































































































