Praktické tipy pro spolehlivé endodontické ošetření
Orifice opener, glide path, shaping a finishing nástroj – pro konvenční endodontické ošetření často postačuje kompaktní systém nikltitanových (NiTi) nástrojů k dosažení reprodukovatelných výsledků v rámci anatomické preparace kořenových kanálků. Následující kazuistika ilustruje, jak dovedné použití předem ohnutých nástrojů dle jasně stanovené sekvence umožňuje i těm zubním ordinacím, které se zabývají endodoncií jen příležitostně, vyvinout rutinu ošetření, které mohou vysoce důvěřovat. Kromě toho jsou v tomto článku uvedeny praktické tipy pro sušení a obturaci kořenových kanálků. Zásada maximálního zachování zubních tkání představuje klíčovou součást filozofie naší praxe. Díky širokému spektru našich služeb využíváme v každodenní rutině nejmodernější technologie v různých indikačních oblastech, abychom našim pacientům nabídli v každém případě to nejlepší možné ošetření. V endodoncii to mj. znamená automatizovanou preparaci pomocí nejmodernějšího endomotoru jako navigační pomůcky a také využívání snadno zapamatovatelné sekvence NiTi nástrojů. Je tak vytvořena pevná struktura pracovních postupů a je zajištěno, že se posloupnost pracovních kroků po krátké době učení stane intuitivní a rychle proveditelnou. Standardizovaný protokol ošetření na jedné straně minimalizuje potenciální zdroje chyb a na straně druhé usnadňuje efektivní postup, jak je patrno v následujícím endodontickém případu.

Prezentace případu: ireverzibilní pulpitida zubu 27
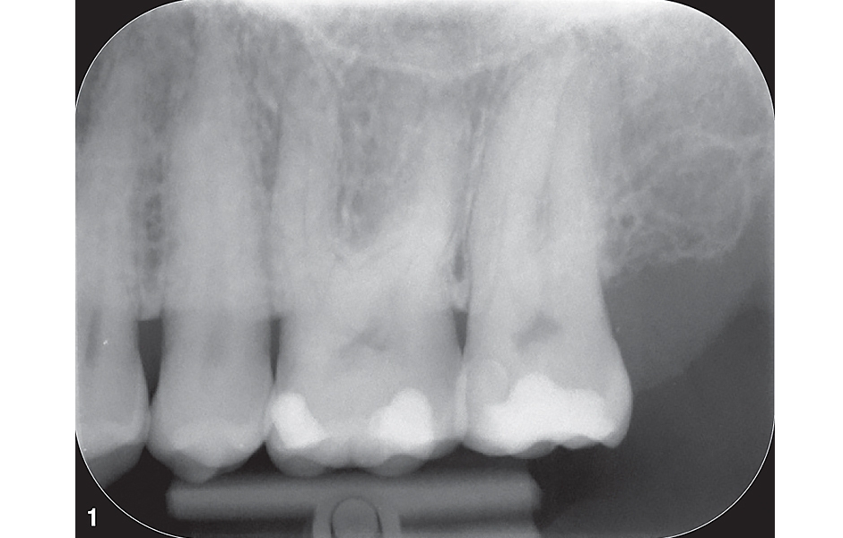
V únoru 2024 se do naší ordinace dostavila 46letá pacientka se silnou bolestí v levé horní čelisti. Po pozitivním testu vitality a silné reakci na poklepový test byla rentgenologicky potvrzena diagnóza ireverzibilní pulpitidy zubu č. 27 (obr. 1). Pacientka souhlasila s ošetřením kořenového kanálku ve dvou návštěvách – ošetření bylo zahájeno v rámci první návštěvy.
Po aplikaci povrchové anestezie a znecitlivění postiženého zubu byla nasazena kofferdamová blána a pole bylo ještě utěsněno tekutým kofferdamem, což účinně zabránilo stékání irigačního roztoku do hrdla pacientky. To bylo obzvláště přínosné, protože ošetření bylo ztíženo omezeným otevíráním úst.
Po vytvoření přístupu do dřeňové dutiny byly jednotlivé kořenové kanálky sondovány a rozšířeny pod operačním mikroskopem pomocí ultrazvukového hrotu s diamantovým povlakem. Pomocí apexlokátoru byly stanoveny příslušné pracovní délky. Kontrolní rentgenový snímek ukázal, že zjištěné délky odpovídají elektronickým měřením (obr. 2).
Postižené kanálky byly nejprve preparovány pomocí ručního nástroje na požadovanou velikost 20. Poté následoval protokol elektrochemické irigace pomocí ultrazvukového hrotu (obr. 3): Klasická sekvence chlornanu sodného, EDTA, chlornanu sodného a 0,2% chlorhexidinu k dezinfekci kanálků podpořila účinné odstranění zbytků tkání a nečistot. Do vyčištěných kanálků byl aplikován hydroxid vápenatý fixovaný PTFE páskou a zub byl provizorně uzavřen materiálem DuoTEMP (COLTENE). Před vyleštěním dočasné výplně byla zkontrolována okluze a pacientka byla propuštěna – až do další návštěvy se u ní neprojevily žádné nežádoucí příznaky.
Efektivní instrumentace snadno zapamatovatelnou sekvencí NiTi
Konečná preparace a obturace kořenových kanálků byla provedena během druhé návštěvy – když se pacientka dostavila do naší ordinace podruhé, byla bez bolesti. Pro tento zákrok byla opět nasazena kofferdamová blána, která byla po lokální anestezii utěsněna tekutým kofferdamem pro lepší ochranu pacientky.
Pro snadnou a efektivní preparaci byl zvolen uživatelsky přívětivý endodontický motor CanalPro X-Move (COLTENE) a nástroje HyFlex EDM (COLTENE) v sekvenci OGSF (obr. 4). Zkratka „OGSF“ odkazuje na první písmena čtyř NiTi nástrojů, které umožňují rychlé a pohodlné ošetření většiny běžných endodontických případů:
Opener (orifice opener) otevře ošetřovaný zub, Glider (glide path file) vytvoří dráhu pro následné nástroje, která kopíruje přirozenou konturu kanálku, Shaper (shaping file) účinně odstraňuje infikovanou tkáň a bakterie a připraví kanálek na obturaci, Finisher (finishing file) zajišťuje dostatečné vyčištění apikální oblasti a dostatečný prostor pro přístup irigačních roztoků k apexu.
Vrchol meziobukálního hrbolku sloužil jako referenční bod pro určení pracovní délky meziobukálního kanálku: preparace byla provedena na délku 19 mm až po velikost 30/.04 Finisherem. Na stejnou pracovní délku byl instrumentován také distobukální kanálek. U palatinálního kanálku bylo dosaženo pracovní délky 21 mm – i zde mohla být díky sekvenci OGSF zachována přirozená kontura kanálku až po velikost 30/.04 pomocí Finisheru.
Naprogramovaná schémata pohybů nástrojů upnutých v endomotoru velmi usnadňují manipulaci s nástroji a umožňují dosáhnout pracovní délky jediným průchodem. Nástroje upnuté v bezdrátovém násadci zprostředkují dobrou hmatovou odezvu v rámci anatomické kontury kanálku (obr. 5).
Optimální sada čtyř speciálních nástrojů v kombinaci s odpovídajícími gutaperčovými čepy má velkou výhodu v tom, že před ošetřením není nutno vybírat jednotlivé nástroje. Předem ohnuté nástroje se bezpečně pohybují ve středu kanálku a manipulace s nimi je mimořádně hladká. Navíc jsou nástroje vysoce odolné proti zlomení, což je samozřejmě velmi důležitý bezpečnostní aspekt.
Udržitelné sušení s menším počtem papírových čepů
Sekvence elektrochemické irigace probíhala podle stejného protokolu jako při prvním ošetření. Po poslední irigační sekvenci byly kanálky dobře vysušeny pomocí obzvláště úzké endodontické sací kanyly, což snížilo potřebné množství papírových čepů. Papírové čepy je dobré kontrolovat, zda již jsou suché a zda tedy v kanálku nezůstala tekutina. Jako centrální byl zvolen gutaperčový čep HyFlex EDM 30/.04, který odpovídá systému požitých nástrojů (obr. 6a–c).
Centrální čepy HyFlex EDM stejné délky byly použity pro termoplastickou 3D obturaci tří kořenových kanálků tekutou gutaperčou. Biokeramický sealer AH Plus (Dentsply Sirona) poskytl požadované utěsnění. V tomto případě bylo naprosto dostatečné potáhnout sealerem pouze spodní část gutaperčových čepů. Dále byly vstupy do kanálků zakryty tekutým kompozitem v odstínu A1 v kombinaci s odpovídajícím leptacím gelem, primerem a adhezivem. Pro finální rekonstrukci byl použit vysoce kvalitní kompozit BRILLIANT EverGlow Flow (COLTENE) – opakní v odstínu A3. Konečný rentgenový snímek potvrdil spolehlivé utěsnění tří kanálků v zubu 27 (obr. 7).

Obr. 1: Předoperační rentgenový snímek zubu 27.

Obr. 2: Kontrolní rentgenový snímek pro ověření pracovní délky.

Obr. 3: Ultrazvukově aktivovaná irigace.

Obr. 4: Snadno zapamatovatelná sekvence nástrojů HyFlex EDM: Opener, Glider, Shaper a Finisher.

Obr. 5: Preparace bezdrátovým endomotorem CanalPro X-Move.

Obr. 6a–c: Zavedení centrálních gutaperčových čepů HyFlex EDM 30/.04. a) intraorální pohled, b) rentgenový snímek, c) jednotlivé gutaperčové čepy.

6b: Rentgenový snímek.

6b: Jednotlivé gutaperčové čepy.

Obr. 7: Pooperační rentgenový snímek zubu 27.
Závěr
Pomocí standardizované sekvence NiTi nástrojů, jako je HyFlex EDM OGSF, lze většinu „běžných“ endodontických ošetření provést rychle a spolehlivě. Díky optimalizované sekvenci nástrojů Opener, Glider, Shaper a Finisher mají týmy v praxi i jejich pacienti prospěch z efektivního a bezpečného ošetření kořenových kanálků. Několika jednoduchými kroky lze ušetřit čas i materiál a dosahovat komplexně udržitelného endodontického ošetření.
Buďte v obraze
Chcete mít pravidelný přehled o nových článcích na tomto webu, akcích a dalších novinkách? Přihlaste se k odběru newsletteru.
Odesláním souhlasíte s našimi zásadami zpracování osobních údajů.
Články
15. 12. 2025 | Endodoncie
Úspěšnost nechirurgického ošetření kořenových kanálků je vysoká; nicméně nedostatečné zaplnění a utěsnění anatomických složitostí zásadně ovlivňuje dlouhodobý úspěch endodontické léčby.
Články
25. 1. 2026 | Endodoncie
Termín chirurgická endodoncie označuje obor stomatologie, který se zabývá diagnostikou a léčbou lézí endodontického původu, jež nedostatečně reagují na konvenční endodontické ošetření nebo je nelze konvenční cestou ošetřit vůbec.¹ Cílem chirurgické endodoncie je dosažení trojrozměrného vyčištění, opracování a zaplnění apikální části kořenového kanálkového systému, která není přístupná běžným ortográdním přístupem dřeňovou dutinou, ale pouze po odklopení chirurgického laloku (obr. 1.1).
Články
27. 1. 2026 | Endodoncie
S tradicí přesahující 150 let ve stomatologii klade Dentsply Sirona důvěru do středu své endodontické nabídky a akcentuje vývoj opřený o vědecké poznatky, přísné kontroly kvality a řadu technologických prvenství.
dentální produkty
Židle pro zubní ordinace
- Zubní sestra Přijmu zubní sestru/ instrumentářku do stomatologické praxe
- Zubní lékař Pojďte pracovat do Prahy - rozšiřujeme tým zubních lékařů
- Zubní lékař Hledá se zubní lékař - Ústí nad Orlicí. Pardubický kraj
- Zubní lékař LupoDent – Stomatologie a dentální hygiena Vyškov
- Dentální hygienistka Přijmeme hygienistku / hygienistu na částečný úvazek




