Přímá kompozitní fazeta ve frontálním úseku pomocí univerzálního bulk-fill kompozitu se zjednodušeným barevným systémem – kazuistika
Souhrn: Dnešní vysoké estetické nároky lze uspokojit pomocí přímých kompozitních rekonstrukcí. Kromě lepší ochrany tvrdých i měkkých tkání umožňuje tento typ rekonstrukce, ve srovnání s nepřímými postupy (fazety, korunky), zhotovení během jediné návštěvy, bez nutnosti pořízení otisku či provizorní náhrady, a navíc s nižšími náklady.

Klíčová slova:
kompozit, přímé výplně, frontální zuby, adhezivní technika
1. Úvod
Při stomatologickém ošetření v oblasti frontálních zubů hraje společně s funkčními požadavky estetický výsledek klíčovou roli. Zatímco pro ošetřujícího lékaře jsou důležité oba aspekty, mnoho pacientů se zaměřuje především na dokonalý vzhled zubních rekonstrukcí. Naštěstí si dnes velké množství pacientů uvědomuje význam dentální estetiky a jsou proto ochotni investovat potřebné finanční prostředky do atraktivního úsměvu.
V posledních desetiletích přinesl nepřetržitý vývoj v oblasti kompozitních materiálů a adhezivních systémů výrazné zlepšení materiálových vlastností, souvisejících pracovních postupů v adhezivní stomatologii i bezpečnosti ošetření [1–3]. Současně došlo k výraznému rozšíření indikačního spektra adhezivně vázaných kompozitních rekonstrukcí jak v předním, tak v zadním úseku chrupu. Zejména v posledních 30 letech bylo použití kompozitů v oblasti frontálních zubů výrazně zdokonaleno díky zavedení a neustálému vylepšování různých vrstvicích technik [4–12]. Dnes lze přímé kompozitní výplně využít pro široké spektrum indikací – od minimálně invazivních výkonů a úprav tvaru zubů bez kavit až po rozsáhlé rekonstrukce, které často nahrazují značnou část objemu korunky [13–16].
V současnosti je k dispozici téměř nepřehledné množství kompozitních materiálů určených pro přímé klinické použití. Tyto výplňové materiály lze rozdělit na klasické univerzální kompozity, tradiční tekuté kompozity, bulk-fill kompozity (ve variantách tekuté i modelovatelné konzistence), termoviskózní kompozity a také vysoce estetické kompozity určené pro náročné rekonstrukce v oblasti frontálních zubů. Prakticky všichni výrobci kompozitů dnes nabízejí většinu těchto skupin materiálů pod vlastními značkami, což stomatologům často ztěžuje orientaci v tom, který materiál je pro danou indikaci nejvhodnější. Již nějakou dobu lze sledovat rostoucí trend preference univerzálně použitelných kompozitů. Zejména jde o produkty s výrazným chameleon efektem, který umožňuje pokrýt celé spektrum barev VITA® pouze pomocí několika málo odstínů. V praxích, kde se lékaři setkávají s náročnými pacienty ochotnými uhradit příplatek za vysoce estetické výplně ve frontálním úseku, může být rovněž zapotřebí zvolit estetický kompozit s různou úrovní translucence a opacity.
GrandioSO® Unlimited (VOCO GmbH, Cuxhaven) je vysoce viskózní, modelovatelný univerzální kompozit nabízený ve zjednodušeném odstínovém systému v pouze pěti barevných variantách (A1, A2, A3, A3.5, A4). Díky výraznému chameleon efektu tyto kompozitní pasty pokrývají celé barevné spektrum systému VITA®. Výborná barevná přizpůsobivost činí GrandioSO® Unlimited univerzálně použitelným jak ve frontálním, tak v laterálním úseku chrupu. Materiál lze nanášet ve vrstvách až do tloušťky 4 mm, a patří tak mezi velmi oblíbené bulk-fill kompozity. Obsahuje 91 hmotnostních % anorganických plniv a vykazuje polymerační smrštění 1,44 objemových %. GrandioSO® Unlimited je také vysoce rentgenkontrastní – s hodnotou až 900 % Al (9násobek opacity hliníku) poskytuje vynikající kontrast vůči okolní zubní tkáni i jiným výplňovým materiálům.
2. Popis klinického případu
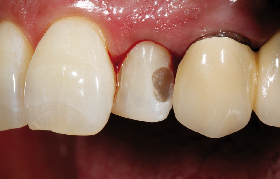
Šedesátiletá pacientka se dostavila do naší zubní ordinace s přáním opticky upravit postavení levého horního postranního řezáku, který je zřetelně posunut palatinálně vůči levému centrálnímu řezáku (obr. 1 a 2). Kromě nevhodného postavení zubu pacientce vadilo, že zub při úsměvu působí výrazně tmavším dojmem než sousední levý centrální řezák a metalokeramická korunka na levém špičáku. Zub reagoval pozitivně bez zpoždění na chlad a zároveň nevykazoval žádné abnormality při poklepu. Po seznámení s možnými terapeutickými alternativami a jejich náklady se pacientka rozhodla pro zhotovení přímé fazety pomocí univerzálního kompozitního materiálu GrandioSO® Unlimited.
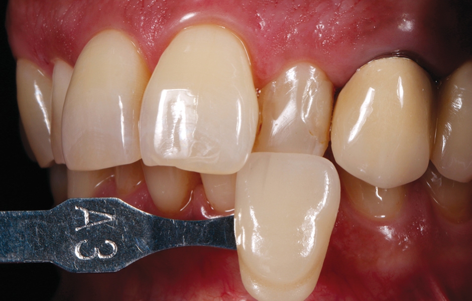
Ošetření bylo zahájeno důkladným očištěním zubu 22 pomocí profylaktické pasty bez fluoridů a gumového kalíšku. Následně byl na zvlhčeném povrchu zubu určen odpovídající odstín kompozitního materiálu (obr. 3). Ten pak byl ověřen přiložením malého vzorku kompozitu na vlhký povrch zubu bez použití adheziva [17]. Tento vzorek kompozitu musí být polymerován světlem po dobu doporučenou výrobcem, aby bylo možné provést věrohodné vizuální srovnání. Pouze při dostatečné expozici světlu dochází k aktivaci fotoiniciátoru kafrchinonu, obsaženého ve většině kompozitů, který má výrazně žluté zbarvení – a ten je následně přeměněn na bezbarvý produkt („fotobělicí efekt“) [18–23].
Po polymeraci vzorku přiloženého na zubní ploše byly jeho optické vlastnosti – tedy odstín a stupeň translucence – porovnány s okolní zubní strukturou. V tomto bodě je možné snadno provést korekci, a to nahrazením opticky nevyhovujícího vzorku odstínově lépe odpovídajícím kompozitem. Tento individuální ověřovací postup zabere pouze krátkou dobu a zajišťuje, že při následné rekonstrukci bude použit kompozit s optimální barevnou shodou. Tím se ve většině případů předejde zdlouhavým opravám nebo nutnosti předělávat výplň kvůli nevyhovující estetice.
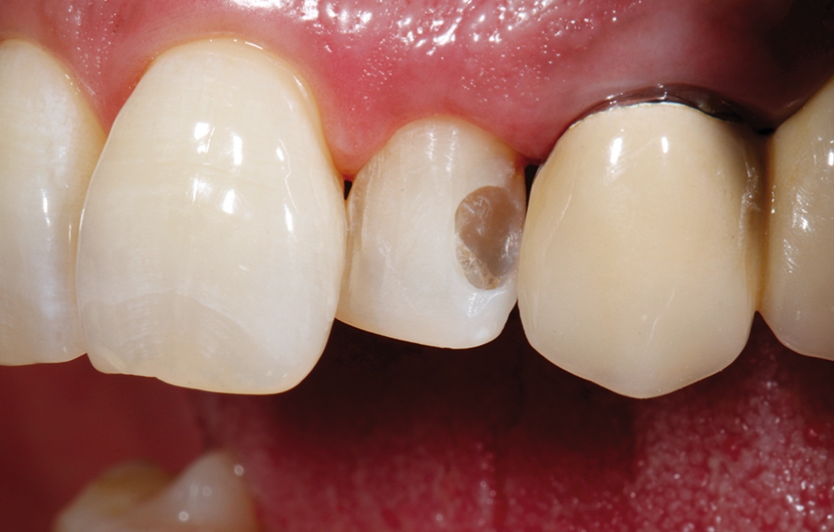
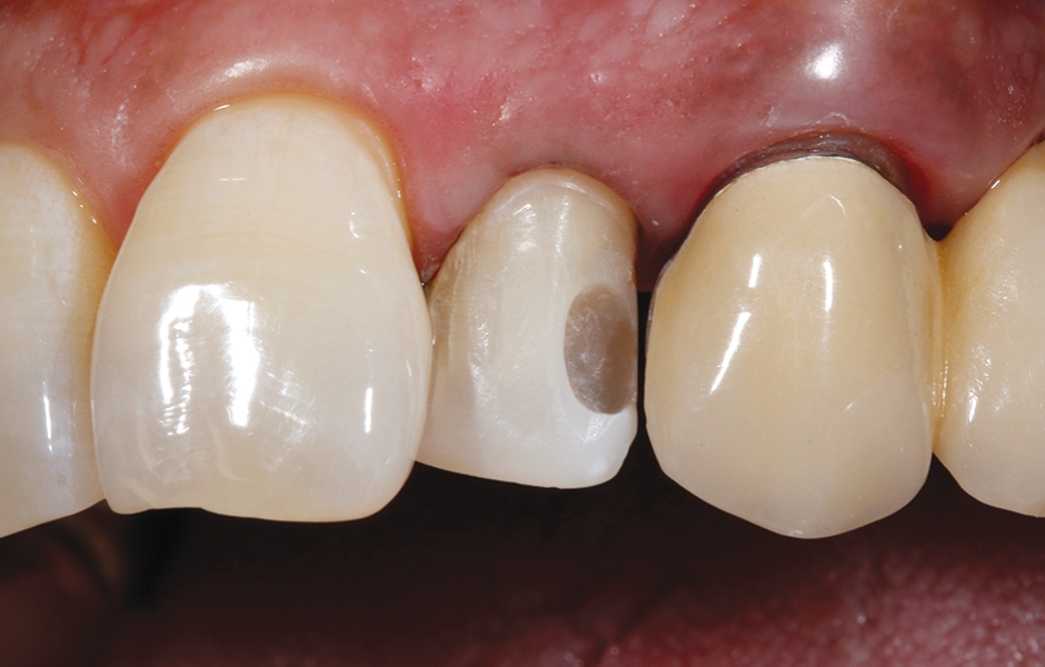
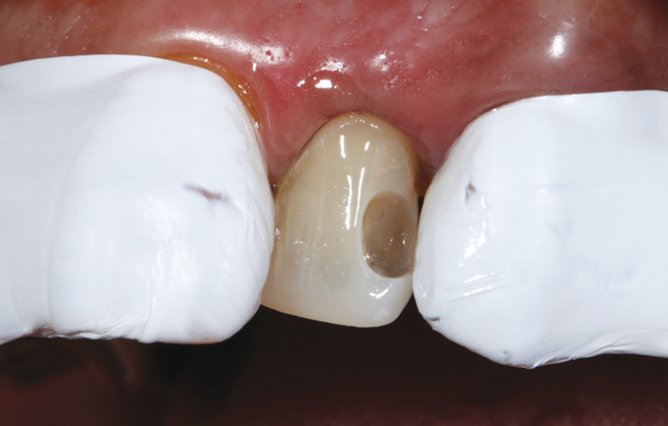
Povrchová sklovina na labiální ploše zubu byla šetrně upravena diamantem s jemnou zrnitostí a v oblasti krčku byl vytvořen jemný paragingivální schůdek, který zajistí plynulý přechod mezi přímou kompozitní fazetou a přirozeným obrysem zubu v této oblasti. Současně byla odstraněna původní nevyhovující distolabiální kompozitní výplň (obr. 4). Pro odhalení preparačního okraje v oblasti krčku bylo zavedeno retrakční vlákno, což vedlo ke krvácení (obr. 5). Proto byla do sulku aplikována retrakční pasta s adstringentním účinkem (Retraction Paste, VOCO GmbH, Cuxhaven) přímo z kapsle pomocí velmi tenké kónické kanyly (obr. 6). Po dvouminutovém působení byla pasta důkladně, ale velmi opatrně odstraněna vodním sprejem za současného použití výkonného odsávání (obr. 7). Ošetřovaná oblast byla poté vysušena vzduchem. Lokální krvácení v oblasti dásně bylo účinně a spolehlivě zastaveno právě použitím retrakční pasty obsahující chlorid hlinitý a kaolin (obr. 8). Pouze čisté a suché pracovní pole umožňuje v dalším průběhu zákroku pracovat bez kontaminace. V následujícím kroku byly oba sousední zuby chráněny teflonovou páskou (obr. 9).
Pro adhezivní přípravu tvrdých zubních tkání byl zvolen univerzální adhezivní systém Futurabond M+ (VOCO). Tento moderní jednosložkový adhezivní systém lze používat jak s předchozím leptáním pomocí kyseliny fosforečné (tzv. etch-and-rinse technika – selektivní leptání skloviny nebo totální leptání skloviny a dentinu), tak bez leptání (tzv. self-etch technika). V tomto klinickém případě byla zvolena metoda totálního leptání. Na sklovinu i dentin byla nanesena 35% kyselina fosforečná (Vococid, VOCO GmbH, Cuxhaven) (obr. 10). Následně byl zub po dobu 20 sekund důkladně oplachován vodním sprejem, aby se odstranily zbytky kyseliny i precipitátů. Poté byla plocha jemně osušena vzduchem (obr. 11). Adhezivum Futurabond M+ bylo v dostatečném množství naneseno na připravený povrch zubu pomocí mikroštětečku a rovnoměrně rozetřeno (obr. 12). Je nutné zajistit, aby byl adhezivem pokryt celý povrch preparace. Po dobu minimálně 20 sekund bylo adhezivum pečlivě vtíráno do povrchu, poté důkladně rozfoukáváno vzduchovou pistolí, dokud se nevytvořil lesklý, stabilní film (obr. 13). Následně bylo adhezivum polymerováno světlem po dobu 10 sekund (obr. 14). Výsledkem byla lesklá preparovaná plocha rovnoměrně pokrytá adhezivní vrstvou (obr. 15). Tuto fázi je nutné pečlivě zkontrolovat, protože matná místa na povrchu preparace svědčí o nedostatečné aplikaci adheziva. V krajním případě to může vést k oslabení vazby v dané oblasti. Pokud jsou při vizuální kontrole taková místa zjištěna, je třeba selektivně doplnit další vrstvu adheziva, aby byla adhezivní vrstva kompaktní.
Volnou modelací (freehand technika) a s pomocí transparentní matrice byla klinická korunka prodloužena a zároveň vymodelována incizní hrana levého horního postranního řezáku univerzálním kompozitem GrandioSO® Unlimited (obr. 16 a 17) a polymerována po dobu 10 sekund polymerační lampou (intenzita osvětlení > 1200 mW/cm²).
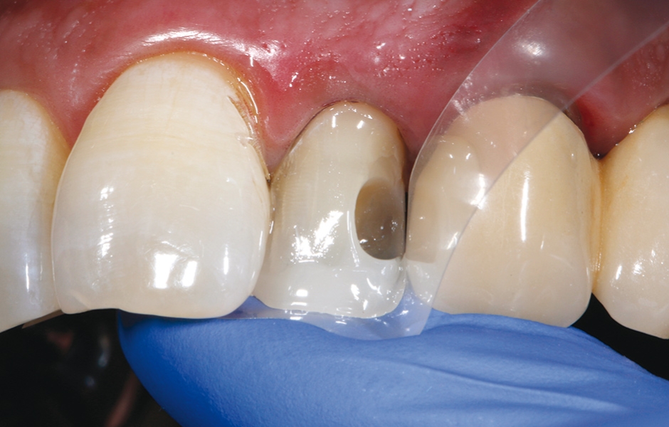
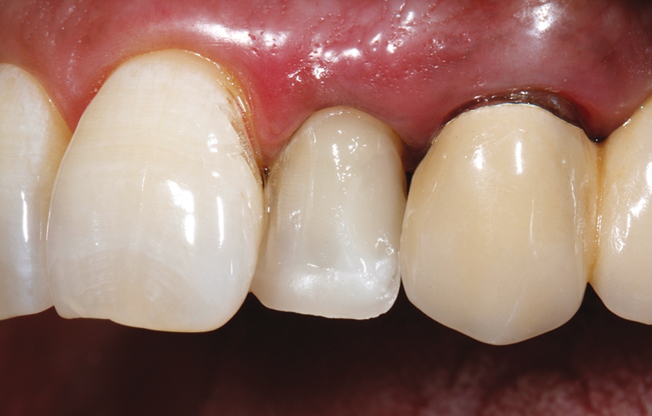
V dalším kroku byl distální defekt doplněn kompozitem GrandioSO® Unlimited a opět polymerován (obr. 18). Poté byla vymodelována celá labiální plocha zubu jako přímá kompozitní fazeta. Cílem bylo vyrovnat pozici zubu se sousedním řezákem a špičákem a zlepšit tak jeho začlenění do zubního oblouku (obr. 19). Proximální kontury byly modelovány pomocí tzv. „matrix pull“ techniky podle Corkyho Willhita [24]. Celá rekonstrukce byla na závěr opět světlem polymerována po dobu 10 sekund.
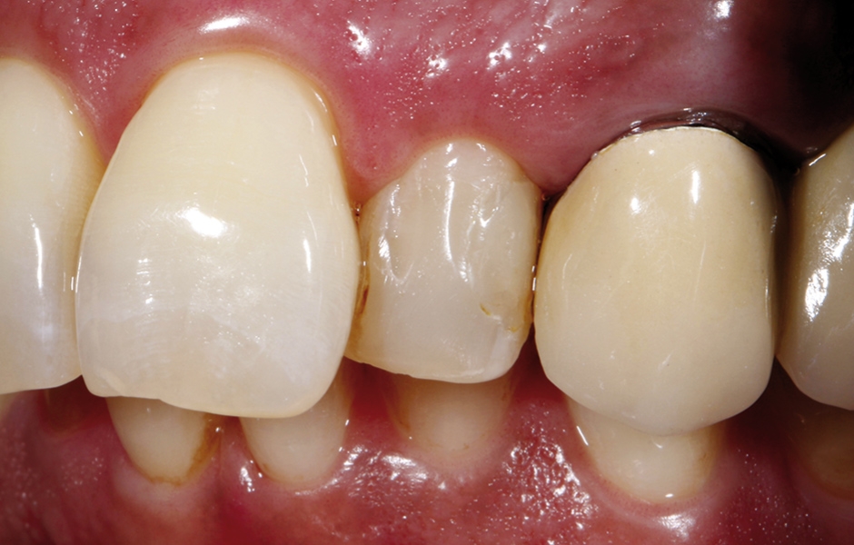
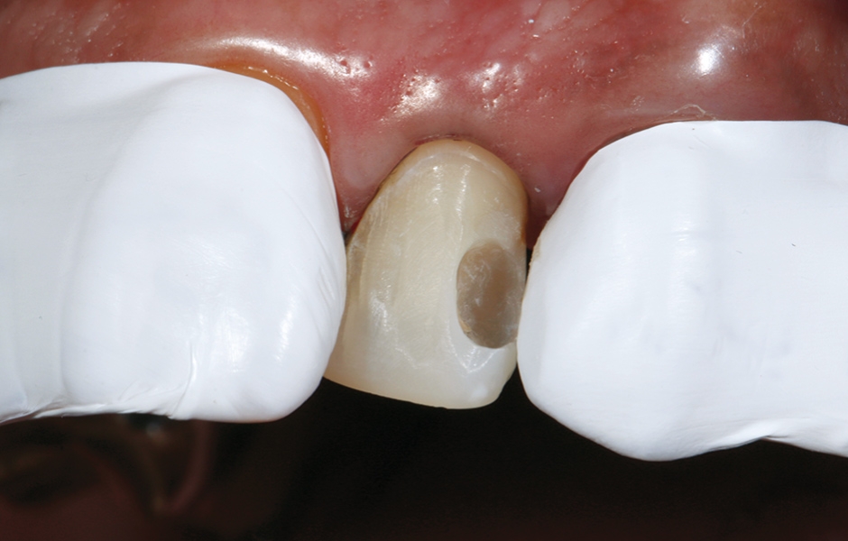
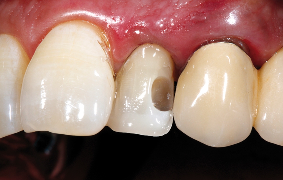
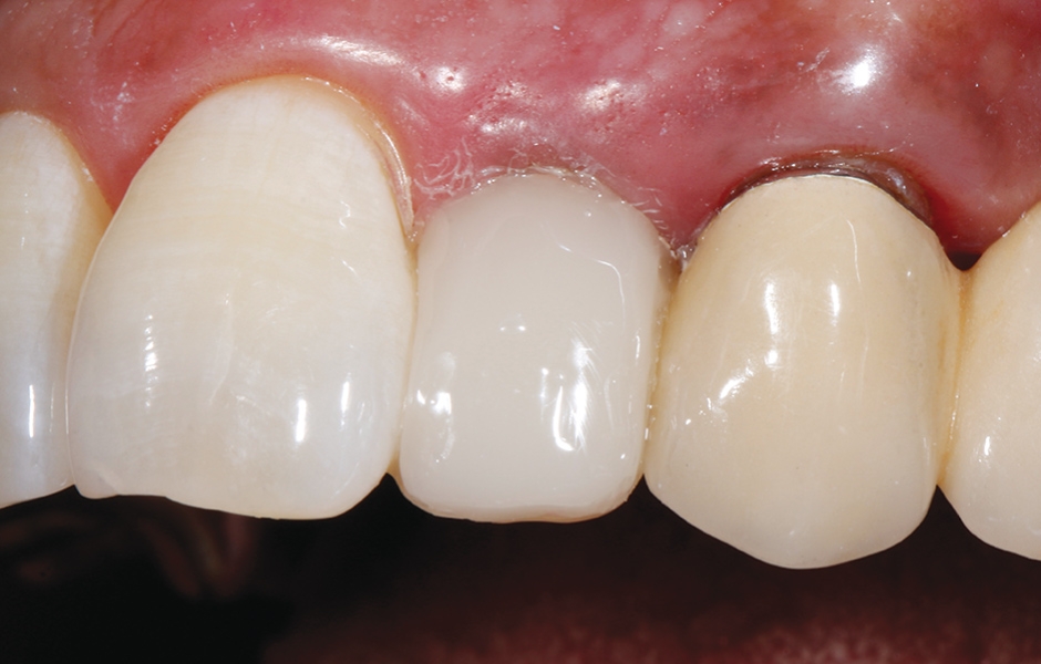
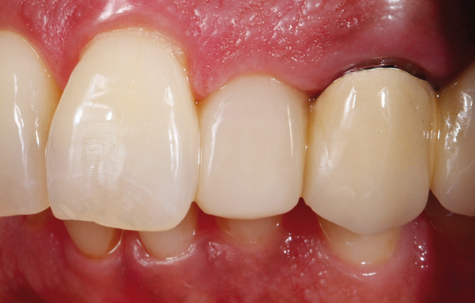
Přímá kompozitní fazeta byla pečlivě dokončena pomocí rotačních nástrojů a abrazivních disků. Hladkého a lesklého povrchu výplně bylo následně dosaženo pomocí lešticích nástrojů na kompozitní materiály (Diacomp Twist, EVE Ernst Vetter GmbH, Keltern) (obr. 20). Konečná podoba přímé kompozitní fazety je vidět na obr. 21. Na závěr byl na ošetřený zub aplikován fluoridový lak (Bifluorid 10, VOCO GmbH, Cuxhaven) pomocí pěnového aplikačního válečku.

Obr. 1: Výchozí situace – levý horní postranní řezák je dislokován výrazně palatinálně vůči sousedním zubům. Tento stav pacientce z hlediska estetiky vadí a přeje si lepší vizuální začlenění zubu do zubního oblouku.

Obr. 2: Výchozí situace – levý horní postranní řezák je dislokován výrazně palatinálně vůči sousedním zubům. Tento stav pacientce z hlediska estetiky vadí a přeje si lepší vizuální začlenění zubu do zubního oblouku.

Obr. 3: Volba odstínu na vlhkém zubu.

Obr. 4: Odstranění staré distální kompozitní výplně a drobná preparace labiální plochy pro přímou kompozitní fazetu.

Obr. 5: Odtažení marginální gingivy retrakčním vláknem za účelem zpřístupnění krčkového okraje preparace – dochází ke krvácení ze sulku.

Obr. 6: Aplikace retrakční pasty s adstringentním účinkem (Retraction Paste, VOCO GmbH, Cuxhaven) do labiálního sulku.

Obr. 7: Po dvouminutovém působení byla pasta opatrně odstraněna vodním sprejem za použití výkonného odsávání.

Obr. 8: Krvácení bylo účinně a spolehlivě zastaveno pomocí retrakční pasty.

Obr. 9: Oba sousední zuby byly chráněny pomocí teflonové pásky.

Obr. 10: Leptání skloviny a dentinu pomocí 35% kyseliny fosforečné.

Obr. 11: Po důkladném oplachu kyseliny a rozpuštěných precipitátů byl zub vysušen proudem vzduchu.

Obr. 12: Aplikace adheziva Futurabond M+ mikroštětečkem.

Obr. 13: Šetrné odpaření rozpouštědla vzduchem bez příměsi vody a oleje.

Obr. 14: Světelná polymerace adheziva po dobu 10 sekund.

Obr. 15: Po aplikaci adheziva vykazuje preparace lesklý povrch.

Obr. 16: Za pomoci matrice byla z volné ruky prodloužena klinická korunka a vymodelována incizální hrana postranního řezáku kompozitem GrandioSO® Unlimited.

Obr. 17: Za pomoci matrice byla z volné ruky prodloužena klinická korunka a vymodelována incizální hrana postranního řezáku kompozitem GrandioSO® Unlimited.

Obr. 18: Distální defekt zubu byl zaplněn kompozitem GrandioSO® Unlimited.

Obr. 19: Přímá fazeta z kompozitu GrandioSO® Unlimited zlepšila pozici postranního řezáku vzhledem k sousedním zubům.

Obr. 20: Konečný stav – hotová přímá kompozitní fazeta s vysoce lesklým povrchem.

Obr. 21: Konečný stav – hotová přímá kompozitní fazeta s vysoce lesklým povrchem.
3. Závěr
Přímé kompozitní výplně v barvě zubu umožňují rekonstrukci frontálního úseku během jediné návštěvy a zároveň šetří zubní tkáně [25]. Při vhodné indikaci, správném využití estetické analýzy, precizní vrstvicí technice a dostatečné manuální zručnosti ošetřujícího lékaře dnes tyto rekonstrukce konkurují laboratorně zhotoveným celokeramickým náhradám (fazetám, korunkám) i v náročných klinických situacích.
Buďte v obraze
Chcete mít pravidelný přehled o nových článcích na tomto webu, akcích a dalších novinkách? Přihlaste se k odběru newsletteru.
Odesláním souhlasíte s našimi zásadami zpracování osobních údajů.
1. Ferracane, J.L., Resin composite - state of the art. Dent Mater, 2011. 27(1): p. 29-38.
2. Pitel, M.L., Low-shrink composite resins: a review of their history, strategies for managing shrinkage, and clinical significance. Compend Contin Educ Dent, 2013. 34(8): p. 578-90.
3. Fahl, N., Jr. and R.D. Paravina, Direct composite restorations--the ugly duckling classic. J Dent, 2013. 41 Suppl 5: p. e1-2.
4. Fahl, N., Jr., G.E. Denehy, and R.D. Jackson, Protocol for predictable restoration of anterior teeth with composite resins. Pract Periodontics Aesthet Dent, 1995. 7(8): p. 13-21.
5. Fahl, N., Jr., Predictable aesthetic reconstruction of fractured anterior teeth with composite resins: a case report. Pract Periodontics Aesthet Dent, 1996. 8(1): p. 17-31.
6. Vanini, L., Light and color in anterior composite restorations. Pract Periodontics Aesthet Dent, 1996. 8(7): p. 673-682.
7. Vanini, L. and F.M. Mangani, Determination and communication of color using the five color dimensions of teeth. Pract Proced Aesthet Dent, 2001. 13(1): p. 19-26.
8. Dietschi, D., Free-hand bonding in the esthetic treatment of anterior teeth: creating the illusion. J Esthet Dent, 1997. 9(4): p. 156-64.
9. Dietschi, D., Layering concepts in anterior composite restorations. J Adhes Dent, 2001. 3(1): p. 71-80.
10. Dietschi, D., Free-hand bonding: the ultimate treatment modality to enhance smiles in young patients. Australasian Dental Practice, 2012(1): p. 150-154.
11. Baratieri, L.N., E. Araujo, and S. Monteiro, Jr., Color in natural teeth and direct resin composite restorations: essential aspects. Eur J Esthet Dent, 2007. 2(2): p. 172-86.
12. Allgeier, S., B. Hahn, and G. Krastl, Direkte Frontzahnrestaurationen aus Komposit. wissen kompakt, 2019. 13(3): p. 103-114.
13. Wolff, D., Ästhetische Rehabilitation mit direkten Kompositrestaurationen im Frontzahnbereich. wissen kompakt, 2013. 7(4): p. 29-40.
14. Frese, C., et al., Recontouring teeth and closing diastemas with direct composite buildups: a 5-year follow-up. J Dent, 2013. 41(11): p. 979-85.
15. LeSage, B.P., Aesthetic anterior composite restorations: a guide to direct placement. Dent Clin North Am, 2007. 51(2): p. 359-378.
16. Mackenzie, L., et al., Direct anterior composites: a practical guide. Dent Update, 2013. 40(4): p. 297-308.
17. Okuda, W.H., Minimally invasive dentistry and its impact on esthetic restorative dentistry. Gen Dent, 2013. 61(5): p. 24-6.
18. Brackett, M.G., et al., The effect of light curing source on the residual yellowing of resin composites. Oper Dent, 2007. 32(5): p. 443-50.
19. Cook, W.D., Photopolymerization kinetics of dimethacrylates using the camphorquinone/amine initiator system. Polymer, 1992. 33(3): p. 600-609.
20. Ardu, S., et al., Influence of water sorption on resin composite color and color variation amongst various composite brands with identical shade code: an in vitro evaluation. J Dent, 2011. 39 Suppl 1: p. e37-44.
21. Ferracane, J.L., et al., Academy of Dental Materials guidance-Resin composites: Part II-Technique sensitivity (handling, polymerization, dimensional changes). Dent Mater, 2017. 33(11): p. 1171-1191.
22. Kamoun, E.A., et al., Carboxylated camphorquinone as visible-light photoinitiator for biomedical application: Synthesis, characterization, and application. Arabian Journal of Chemistry, 2016. 9(5): p. 745-754.
23. Sakaguchi, R.L., J. Ferracane, and J.M. Powers, Craig's Restorative Dental Materials, 14th Edition. 2019, St. Louis: Elsevier.
24. Willhite, C., Handout: Composite Bonding: The “Structure” Course, in New England Academy of Cosmetic Dentistry. 2014.
25. Fahl, N., Jr., A polychromatic composite layering approach for solving a complex Class IV/direct veneer-diastema combination: part I. Pract Proced Aesthet Dent, 2006. 18(10): p. 641-645.
Články
3. 2. 2026 | Protetika
Zirkon se stal standardem moderní protetiky – je přesný, estetický a odolný. Jak jsme se k tomuto materiálu dostali, proč mu dnes důvěřují lékaři i pacienti a jak funguje výroba anatomických zirkonových korunek v JS Lab?
Články
16. 6. 2025 | Protetika
Tímto příspěvkem navazuji na článek 3D tištěné skelety: klinicky přívětivější skeletové náhrady. Přiblížím vám zde, jaké přesnosti po vytištění lze zúročením zkušeností a dobrou spoluprací s CAD designérem u skeletů dosáhnout. Dále také upozorním na trend, který se u nás zatím příliš neuchytil, ale ve světě je zcela běžný – absenci opakeru na retencích skeletu pro pryskyřici.
Články
6. 2. 2026 | Protetika
Klinický přístup k plně keramickým hybridním rehabilitacím zajišťujícím dlouhodobou stabilitu a vysoce estetické výsledky bez použití kovových komponent.



