Digitální prodloužení korunky a domácí bělení zubů
Dr. Elissa Nasr popisuje léčbu gummy smile pomocí chirurgického prodloužení korunky s využitím digitálního pracovního postupu.

Harmonie úsměvu závisí zejména na rovnováze tří anatomických složek: zubů, gingivy a rtů.
Nadměrná expozice dásní (tzv. „gummy smile“) je definována jako odhalení gingivy přesahující 2 mm při úsměvu. Volba léčby závisí na etiologii a dalších přidružených faktorech.
Jednou z častých příčin nadměrného obnažení dásní je tzv. „alterovaná pasivní erupce“. Indikovanou terapií je v tomto případě chirurgické prodloužení klinické korunky zubu, spočívající v obnažení zdravé zubní struktury, s odstraněním nebo bez odstranění alveolární kosti.
Za účelem zvýšení přesnosti, předvídatelnosti a úspěšnosti tohoto zákroku byly vyvinuty plně digitální protokoly.
Klinický případ
Pacientka v prezentovaném případě si primárně stěžovala na gummy smile a odstín zubů (obr. 1).
Pacientka vykazovala nadměrné obnažení gingivy spojené s alterovanou pasivní erupcí v rozsahu pravého až levého horního špičáku, doprovázenou hypermobilitou horního rtu. Léčebný plán spočíval v jednorázovém prodloužení klinických korunek zubů v inkriminovaném rozsahu.
Pro zlepšení estetiky bylo dále doporučeno domácí bělení zubů. Pacientka byla s dosaženými výsledky terapie spokojena, a proto se rozhodla upustit od původně plánované aplikace botulotoxinu za účelem snížení nebo redukce nadměrné mobility horního rtu.
Byly pořízeny intraorální skeny, extraorální fotografie pro Digital Smile Design (DSD) a 3D CBCT snímek. Všechna data byla následně sloučena (obr. 2).
Digitální stomatologie
Byl vytvořen digitální diagnostický wax-up, který překrýval gingivální okraj za účelem redukce jeho expozice. Wax-up byl navržen dle DSD a podle anatomických rozměrů korunek získaných z CBCT.
Tvar a velikost zubů byly konzultovány s pacientkou před finálním schválením wax-upu. V laterálním řezu bylo ověřeno, že nový okraj wax-upu je umístěn koronálně vůči cementosklovinné hranici (CEJ) pozorované na CBCT (obr. 3).
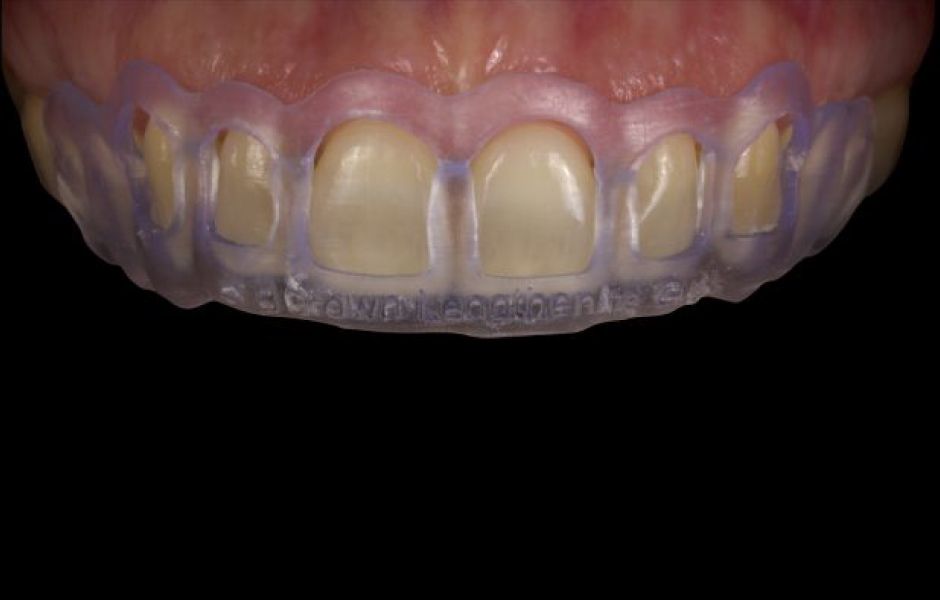
Návrh wax-upu byl vytištěn na 3D tiskárně (Xfab 2000) s použitím licí pryskyřice (3D tisknutelná pryskyřice Invicta 915). Na vytištěném modelu byl vytvořen silikonový index z polyvinylsiloxanu (Aquasil Ultra+). Byl proveden mock-up k ověření okluze a estetiky (Protemp 4) (obr. 4).
Chirurgická šablona pro prodloužení klinické korunky zubů byla navržena dle schváleného wax-upu a mock-upu. Tato šablona byla následně vytištěna 3D tiskárnou (Xfab 2000) s biokompatibilní pryskyřicí (3D tisknutelná pryskyřice D55000) (obr. 5a, 5b).

Obr. 1: Výchozí stav s gummy smile neboli nadměrným obnažením gingivy.

Obr. 2a–c: Digital Smile Design zhotovený dle CBCT

Obr. 3: Laterální pohled na okraj wax-upu

Obr. 4: Mock-up pro zhodnocení okluze a estetiky

Obr. 5a–c: 3D tištěná chirurgická šablona

Obr. 6: Detailní pohled na šablonu s odklopeným lalokem

Obr. 7: Pooperační kontrola prokazující stabilitu výsledku chirurgického prodloužení klinické korunky zubů.

Obr. 8: Proces domácího bělení

Obr. 9a: Výchozí situace před léčbou. Obr. 9b: Stav šest měsíců po chirurgickém zákroku a dva měsíce po bělení
Prodloužení klinické korunky zubu – chirurgický postup
Chirurgický zákrok provedli Dr. Abdullah Ajili a Dr. Lory Abrahamian.
Nejprve byla provedena gingivektomie pomocí elektrokauteru, a to v souladu s vnitřním tvarem okének chirurgické šablony. Následně bylo přistoupeno k odklopení mukoperiostálního laloku v plné tloušťce při současném zachování papil, a to za účelem provedení osteotomie v úrovni kosti odpovídající horní části chirurgické šablony (obr. 5). Na závěr byla provedena nezbytná osteoplastika.
Detailní pohled na šablonu s odklopeným lalokem zachycuje obrázek 6.
Obrázek 7 zachycuje kontrolní fotografie po třech měsících od zákroku, které demonstrují stabilitu výsledků s použitím chirurgické šablony pro chirurgické prodloužení klinické korunky.
Tři měsíce po chirurgickém zákroku bylo provedeno 14denní domácí bělení zubů s použitím 16% karbamid peroxidu (White Dental Beauty Professional Tooth Whitening System) (obr. 8).
Obrázek 9a zachycuje výchozí stav, zatímco obrázek 9b dokumentuje výsledky po šesti měsících od chirurgického zákroku a dvou měsících po bělení zubů.
Závěr
Léčba nadměrné expozice gingivy chirurgickým prodloužením klinické korunky zubu je technicky velmi citlivým zákrokem. Využití digitálního pracovního postupu napomáhá lékařům dosáhnout předvídatelných a stabilních výsledků.
Pro zvýšení estetického efektu lze navíc využít minimálně invazivní bělení zubů.
Buďte v obraze
Chcete mít pravidelný přehled o nových článcích na tomto webu, akcích a dalších novinkách? Přihlaste se k odběru newsletteru.
Odesláním souhlasíte s našimi zásadami zpracování osobních údajů.
Pá 19. 6. 2026 | 9.00 – 17.00 hod.
Články
18. 11. 2025 | Technologie
Zirkonzahn představuje své komponenty a softwarové možnosti pro přenos dat pacienta bez zkreslení či ztráty informací – a to při přenosu z analogové podoby do digitální, z digitální do analogové nebo v plně digitálním scénáři.
Články
11. 3. 2026 | Technologie
Téměř před třiceti lety proměnil systém Invisalign ortodoncii díky technologii snímatelných alignerů. Za každým úsměvem se však skrýval složitý a časově náročný proces plánování léčby.
Články
20. 3. 2025 | Technologie
Rozhovor s Dr. Alexandrou Marques, mj. doktorandkou na Universitat Internacional de Catalunya v Barceloně, o využití laserového systému Fotona nejen, a to nejen v rámci stomatologických ošetření, ale také pro kosmetickou medicínu.
- Zubní lékař Nabíka zaměstnání: zubní lékař Praha
- Zubní lékař Zubní lékař/ka
- Zubní lékař Stomatolog
- Zubní lékař Zubní lékař do stomatologického centra na Vysočině
- Ostatní Pronájem zubní ordinace






