Klinicky úspěšná plně navigovaná rekonstrukce zubního oblouku pomocí Smilecloud
Digitální pracovní postupy ve stomatologii přinesly revoluci v přístupu odborníků ke složitým zákrokům – zlepšují přesnost, efektivitu a dosažené klinické výsledky. Mezi digitálními inovacemi se výrazně prosazují systémy pro plnou navigaci rozsáhlých implantologických ošetření. Tento článek v podobě klinické kazuistiky představuje úspěch dosažený prostřednictvím plně navigovaného digitálního postupu s využitím Smilecloud – pokročilé platformy pro návrh úsměvu a centralizovanou mezioborovou spolupráci.
Ukázka obrázků



Úvod
Smilecloud představuje významný pokrok v oblasti dentálních technologií. Nabízí integrovanou platformu, která usnadňuje bezproblémovou komunikaci mezi zubními lékaři různých specializací a zubními laboratořemi. Využití digitálních nástrojů Smilecloud optimalizuje každý krok rehabilitačního procesu, od diagnostiky a plánování ošetření až po jeho realizaci a následnou péči. Tento komplexní přístup zajišťuje efektivnější a koordinovanější spolupráci mezi všemi zúčastněnými a lepší klinické výsledky. Smilecloud navíc poskytuje možnost smysluplné vizuální komunikace s pacienty.
Využití této digitální platformy v naší praxi mj. zvýšilo akceptaci ošetření pacienty, protože umožňuje vizualizovat různé klinické scénáře a pomáhá pacientům pochopit možné výsledky jejich léčby. Díky předběžné vizualizaci možných scénářů ošetření jsme schopni pacientům nabídnout ucelenější uklidňující konzultaci, čímž se přiblíží očekávání pacientů reálným klinickým možnostem.
Výchozí situace
65letý muž, bez závažných onemocnění a bez medikace, kuřák konzumující 10 cigaret denně, se dostavil na naši kliniku s požadavkem na fixní náhradu v horní čelisti, která by nahradila jeho stávající částečnou snímatelnou náhradu. Jeho hlavním cílem bylo dosáhnout přirozeně vypadajícího úsměvu, který co nejvíce odpovídá vzhledu přirozených zubů, zejména ve tvaru, barvě a pozici. Zároveň požadoval, aby byla nová náhrada stabilní, s pevným usazením, které by mu umožnilo optimálně žvýkat potravu bez nepohodlí, čímž by se celkově zlepšila kvalita jeho života.
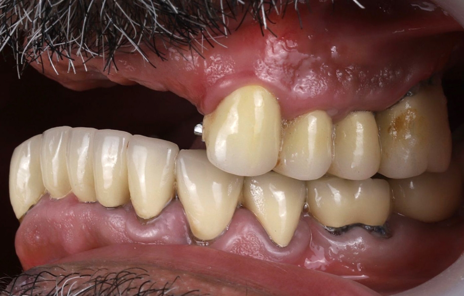
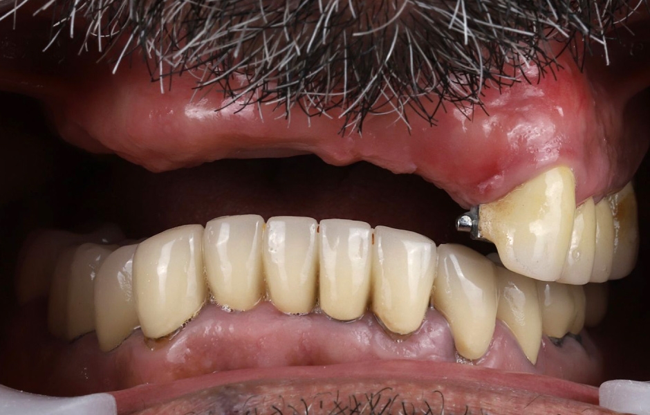
Při extraorální prohlídce nebyly zjištěny žádné významné abnormality. Pacient měl střední úroveň linie úsměvu (obr. 1–3). Po vyjmutí snímatelné náhrady byl odhalen můstek (obr. 4).
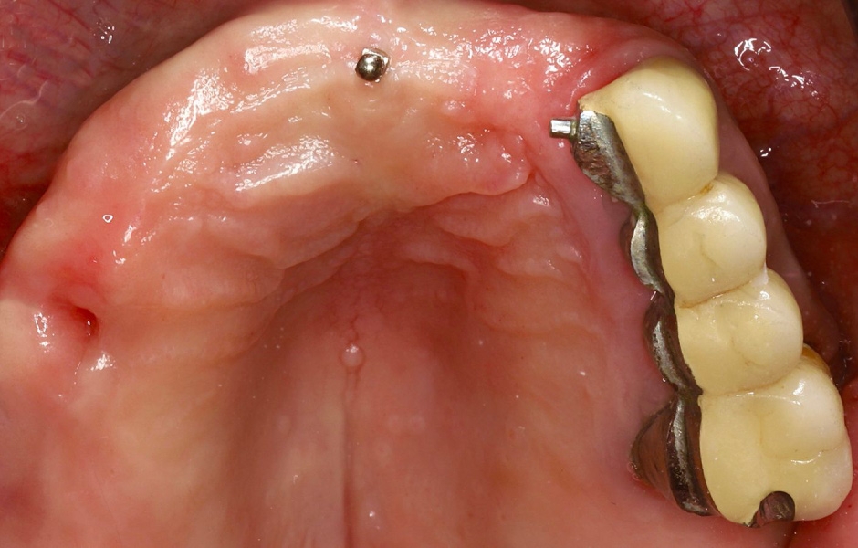
Intraorální vyšetření odhalilo starý můstek, který nahrazoval zuby 23 až 26 a zároveň sloužil ke kotvení částečné snímatelné náhrady s kovovou výztuží. Zuby 22 až 17 byly extrahovány již před delší dobou a alveolární hřeben v této oblasti byl zhojen. Nebyl přítomen plak ani zánět. Zuby vykazovaly mírnou až střední ztrátu attachmentu, ale nebyly pozorovány žádné parodontální léze nebo fraktury kořenů (obr. 5–8).
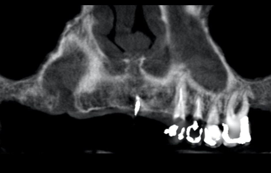
Na základě analýzy panoramatických snímků bylo zjištěno dostatečné vertikální i horizontální množství kosti v dobré kvalitě, proto nebylo zapotřebí provádět řízenou kostní regeneraci (GBR) (obr. 9). Podle klasifikace ITI SAC byl případ hodnocen jako pokročilý až složitý.
Plán ošetření
Pro zlepšení komunikace a vizualizaci různých scénářů léčby jsme využili platformu Smilecloud na webovém rozhraní. Tato platforma nám umožnila vytvořit vysoce realistické návrhy úsměvu a snadno je sdílet s naším týmem i s pacientem, čímž se výrazně usnadnila diskuse a informované rozhodování pacienta o plánu léčby.
Pro ošetření jsme zvolili systém Straumann® Pro Arch, který zahrnoval okamžité zavedení šesti implantátů Straumann® BLX Roxolid® SLActive® v horní čelisti. Tento digitalizovaný postup byl proveden po šetrné extrakci zubů, přičemž bylo plánováno, že provizorní náhrada bude nasazena tentýž den. Pracovní postup léčby zahrnoval následující kroky:
1. Digitální mock-up pomocí Smilecloud (obr. 10–12).
2. Digitální plánování pomocí coDiagnostiX® (obr. 13–15).
3. Návrh (a následně tisk) chirurgické šablony v coDiagnostiX® (obr. 16, 17).
4. Atraumatická extrakce neperspektivních zubů: 23, 24, 25 a 26.
5. Zavedení šesti implantátů Straumann® BLX Roxolid® SLActive®.
6. Okamžité zatížení implantátů provizorní náhradou.
7. Konečné protetické ošetření šroubovaným šestičlenným můstkem.
Chirurgický zákrok
Dvě hodiny před zákrokem byly podány 2 g Augmentinu (amoxicilin/kyselina klavulanová) a pacient použil ústní vodu s 0,12 % chlorhexidinu 24 hodin před zákrokem. Byla aplikována lokální anestezie se 4 % artikainu a adrenalinem1:100 000. Následně byl odstraněn starý můstek a provedena atraumatická extrakce neperspektivních zubů (23, 24, 25 a 26) (obr. 18–20).
Sterilizovaná provizorní náhrada a chirurgická šablona byly nejprve zkontrolovány, aby bylo zajištěno jejich správné usazení (obr. 21, 22). Poté byla chirurgická šablona přesně umístěna a vyrovnána podle tvaru oblouku a pozic extrahovaných zubů. Následně byly umístěny fixační piny pro stabilizaci šablony (obr. 23, 24).
Chirurgický zákrok byl zahájen použitím mukozálního trepanu při 15 otáčkách za minutu, který procházel přes vodicí pouzdra chirurgické šablony. Tento postup umožnil provést iniciální řez bez použití skalpelu a minimalizovat traumatizaci tkáně (obr. 25, 26). Po odstranění trepanované tkáně při sejmuté chirurgické šabloně byla šablona znovu nasazena pro zahájení zavádění implantátů (obr. 27).
Stanovený chirurgický protokol spolu s chirurgickou šablonou přesně určoval pořadí nástrojů potřebných k přípravě jednotlivých lůžek pro implantáty, tzn. pro provedení osteotomií dle protokolu výrobce zvoleného typu implantátů:
Pozice 16: implantát Straumann® BLX ∅ 4,5 mm RB, SLActive® 12 mm Roxolid®.
Pozice 14: implantát Straumann® BLX ∅ 4,0 mm RB, SLActive® 12 mm Roxolid®.
Pozice 12: implantát Straumann® BLX ∅ 4,0 mm RB, SLActive® 12 mm Roxolid®.
Pozice 22: implantát Straumann® BLX ∅ 4,0 mm RB, SLActive® 12 mm Roxolid®.
Pozice 24: implantát Straumann® BLX ∅ 4,5 mm RB, SLActive® 12 mm Roxolid®.
Pozice 26: implantát Straumann® BLX ∅ 4,5 mm RB, SLActive® 12 mm Roxolid®.
Při zákroku byl použit dostatek chladicí fyziologické tekutiny a byla zkontrolována paralelita implantátů (obr. 28–31).
Šroubované abutmenty byly upevněny s točivým momentem 35 Ncm na následujících pozicích (obr. 32–33):
Pozice 16: abutment Straumann® RB/WB, sklon 30 °, ∅ 4,6 mm, výška gingivy 3,5 mm.
Pozice 14: abutment Straumann® RB/WB, sklon 17 °, ∅ 4,6 mm, výška gingivy 3,5 mm.
Pozice 12: abutment Straumann® RB/WB, sklon 17 °, ∅ 4,6 mm, výška gingivy 3,5 mm.
Pozice 22: abutment Straumann® RB/WB, sklon 17 °, ∅ 4,6 mm, výška gingivy 3,5 mm.
Pozice 24: abutment Straumann® RB/WB, rovný, sklon 0 °, ∅ 4,6 mm, výška gingivy 3,5 mm.
Pozice 26: abutment Straumann® RB/WB, sklon 30 °, ∅ 4,6 mm, výška gingivy 3,5 mm.
Postup zhotovení protetiky
Použití plně navigovaného chirurgického protokolu ve spojení s kompletně digitálním postupem zhotovení protetiky umožnilo přesný návrh a následné vyfrézování provizorních náhrad z PMMA (obr. 34–35).
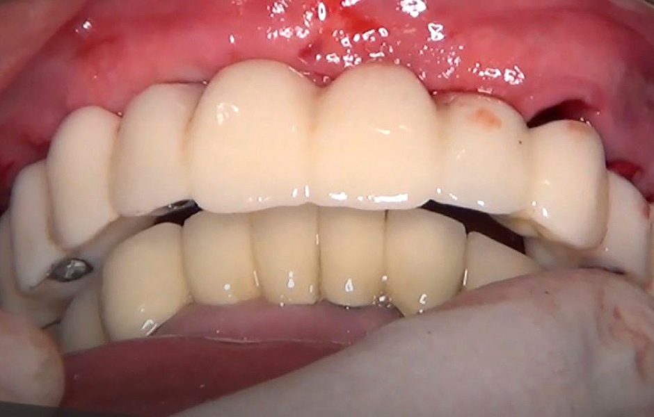
Byl zvolen protokol okamžitého zatížení implantátů s rovnoměrným rozložením sil na celou provizorní náhradu kotvenou dočasnými abutmenty. Prostory mezi abutmenty a provizorní náhradou byly vyplněny (obr. 36–38). Nadbytečný materiál byl odstraněn a provizorní náhrada byla následně vyleštěna, aby byl zajištěn hladký povrch (obr. 39). Pacient obdržel šroubovanou provizorní náhradu v den zavedení implantátů, která byla bezpečně přišroubována k titanovým abutmentům točivým momentem 15 Ncm (obr. 40). Byla zkontrolována okluze (obr. 41, 42). Následně byly pacientovi poskytnuty instrukce pro ústní hygienu.
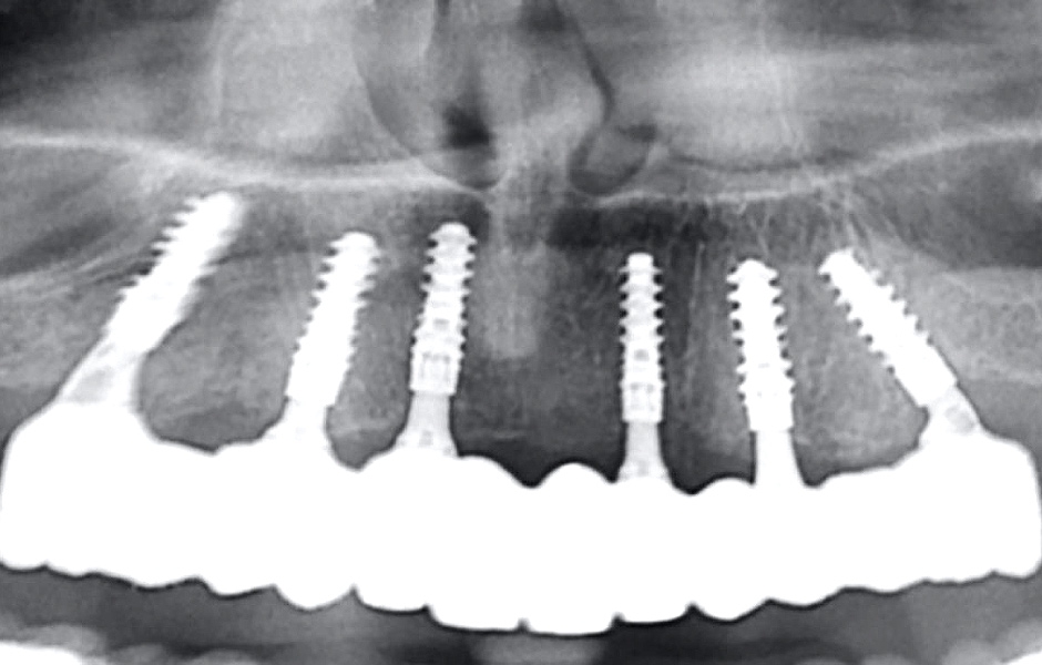
Kontrolní rentgenový snímek potvrdil, že jsou všechny klinické parametry v normě (obr. 43).
Během kontrolních návštěv pacient vykazoval výborné hojení bez pooperačních komplikací. Provizorní náhrada poskytovala optimální stabilitu a přesnost dosedu, což přispělo ke komfortu a funkčnosti provizorního protetického ošetření (obr. 44).
O čtyři měsíce později jsme na základě klinických a radiografických nálezů stavu oseointegrace přistoupili k finálnímu protetickému ošetření.
K dokončení protetického ošetření jsme využili skenovací pomůcku Straumann® RevEX™ Scanbody pro plně monolitický návrh náhrady s kompletně digitálním výrobním postupem. Nejprve byl proveden intraorální sken protilehlého oblouku, následovaný intraorálním skenem ošetřovaného oblouku s přišroubovanými dočasnými abutmenty. Poté byl proveden sken skusu a intraorální sken měkkých tkání s nasazenými šroubovanými abutmenty pro definitivní náhradu. Na provizorní náhradu byly připevněny reverzní skenovací pomůcky Straumann® RevEX™ Scanbody a náhrada byla nasnímána extraorálně. Následně byl navržen a vyfrézován prototyp náhrady a také verifikační šablona. (obr. 45, 46).
Při další návštěvě byly vyfrézovaný prototyp náhrady a verifikační šablona vyzkoušeny v ústech a následně byl dokončen návrh a výroba definitivní náhrady (obr. 47, 48).
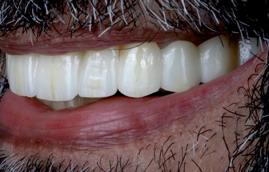
Pro kotvení definitivní náhrady byly použity abutmenty Variobase® for Bridge. Materiálem pro výrobu definitivní náhrady byl zvolen monolitický zirkon (obr. 49, 50).
Definitivní náhrada byla nasazena a ověřena z hlediska estetiky, okluze a funkce (obr. 51–55). Panoramatický kontrolní snímek potvrdil, že všechny parametry protetického ošetření odpovídají očekávaným hodnotám (obr. 56).
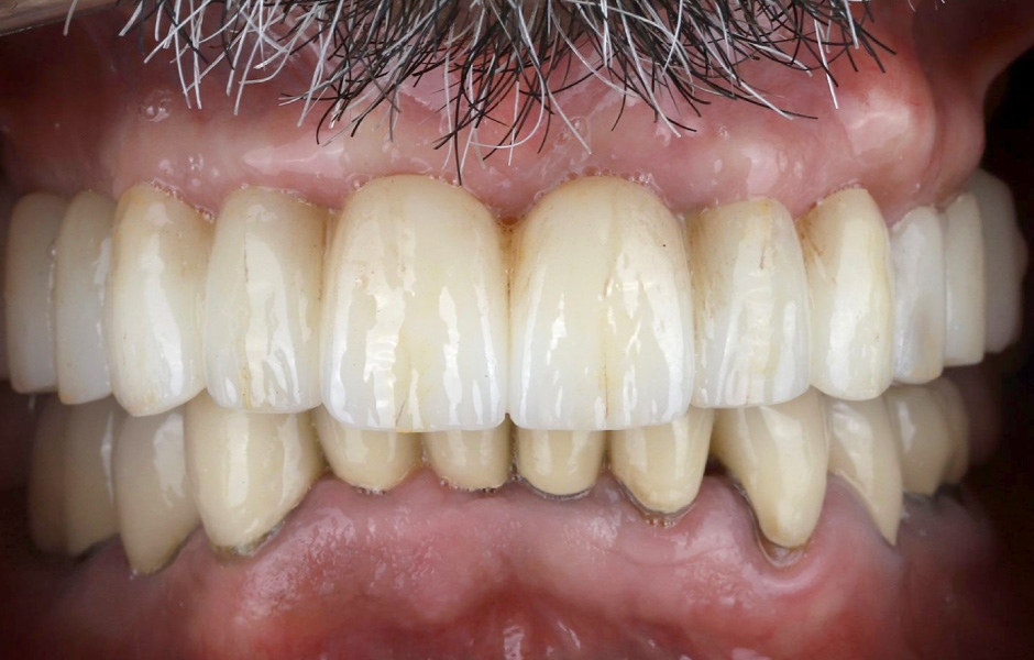
Při kontrole po 18 měsících po dokončení ošetření bylo provedeno intraorální, extraorální a radiografické vyšetření. Nebyly zjištěny žádné patologické nálezy a výsledné parametry zůstaly stabilní (obr. 57–62).
Pacient vyjádřil svou spokojenost s výsledkem ošetření a uvedl: „Možnost vidět svůj nový úsměv ještě před zahájením zákroku zásadně změnila situaci: Od začátku jsem si byl jistý, že konečný výsledek bude přesně podle mých představ.“

Obr. 1, 2

Obr. 3, 4

Obr. 5

Obr. 6

Obr. 7

Obr. 8

Obr. 9

Obr. 10

Obr. 11

Obr. 12

Obr. 13

Obr. 14

Obr. 15

Obr. 16

Obr. 17

Obr. 18

Obr. 19

Obr. 20

Obr. 21

Obr. 22

Obr. 23

Obr. 24

Obr. 25

Obr. 26

Obr. 27

Obr. 28

Obr. 29

Obr. 30

Obr. 31

Obr. 32

Obr. 33

Obr. 34

Obr. 35

Obr. 36

Obr. 37

Obr. 38

Obr. 39

Obr. 40

Obr. 41

Obr. 42

Obr. 43

Obr. 44

Obr. 45

Obr. 46

Obr. 47

Obr. 48

Obr. 49

Obr. 50

Obr. 51

Obr. 52

Obr. 53

Obr. 54

Obr. 55

Obr. 56

Obr. 57

Obr. 58

Obr. 59

Obr. 60

Obr. 61

Obr. 62
Výsledky ošetření
Kombinace použití implantátů Pro Arch BLX Straumann®, systému Straumann® RevEX™ pro plně monolitický design náhrady a komplexního digitálního pracovního postupu pomocí platformy Smilecloud vedla u výše prezentovaného případu k příznivým výsledkům protetického ošetření celého zubního oblouku. Dokonalá koordinace mezi chirurgickou a protetickou fází, umožněná špičkovými digitálními technologiemi, přinesla vyšší přesnost, efektivitu a zvýšený komfort a spokojenost pacienta. Tento případ zdůrazňuje význam digitální stomatologie pro dosažení spolehlivých a esteticky uspokojivých výsledků v implantologické terapii.
Svědectví autora
Jako ošetřující lékař jsem byl velmi spokojen s tím, že tento zákrok měl tak pozitivní dopad na kvalitu života pacienta. Pacient vyjádřil hlubokou vděčnost za svůj nový úsměv, který mu nejen obnovil orální funkce, ale také zvýšil sebevědomí. Tento případ posílil mé přesvědčení o síle plně digitálního přístupu v implantologii, který nám umožňuje poskytovat pacientům péči na nejvyšší možné úrovni.
Buďte v obraze
Chcete mít pravidelný přehled o nových článcích na tomto webu, akcích a dalších novinkách? Přihlaste se k odběru newsletteru.
Odesláním souhlasíte s našimi zásadami zpracování osobních údajů.
Články
3. 6. 2025 | Obecná stomatologie
Třicetiletý celkově zdravý pacient žádal o opravu nevyhovující kompozitní rekonstrukce provedené před 10 lety po traumatu zubu 11. Postižený zub v rámci klinického vyšetření reagoval pozitivně na test vitality. Na rentgenovém snímku nebyla objevena periapikální léze. Klinická korunka vykazovala nežádoucí zbarvení a nacházela se více palatinálně než kontralaterální řezák 21.
Články
14. 11. 2025 | Implantologie
Moderní stomatologie prochází technologickou revolucí, kterou pohání integrace pokročilých digitálních nástrojů v diagnostice, plánování a léčbě. Mezi nimi se počítačem řízená implantologie stala základním pilířem, zejména u složitých výkonů, jako jsou estetické rekonstrukce a celková rehabilitace čelistního oblouku.
Články
6. 3. 2026 | Implantologie
Demografické změny přivádějí do stomatologických ordinací stále více starších pacientů s nedostatečnými a selhávajícími stávajícími rekonstrukcemi.
- Nabídka převzetí zubní ordinace ve Vlašimi
- Zubní lékař ZUBNÍ LÉKAŘKA / LÉKAŘ – ESTHESION
- Zubní lékař Zubní lékař/ka - Praha - Smile Centrum
- Zubní lékař Hledáme zubní lékaře/ zubní lékařku Praha 2
- Zubní lékař Zubní lékař/ lékařka



