Nový digitální pracovní postup pro celkovou rehabilitaci čelistního oblouku
Moderní stomatologie prochází technologickou revolucí, kterou pohání integrace pokročilých digitálních nástrojů v diagnostice, plánování a léčbě. Mezi nimi se počítačem řízená implantologie stala základním pilířem, zejména u složitých výkonů, jako jsou estetické rekonstrukce a celková rehabilitace čelistního oblouku.[1] Tento přístup nejen zvyšuje chirurgickou přesnost, ale také snižuje komplikace, zlepšuje komfort pacienta a zefektivňuje pracovní postup.[2] Kombinací CBCT zobrazení, intraorálního skenování a plánovacího softwaru mohou klinici provádět virtuální simulace, které plynule přecházejí do klinické realizace. Chirurgické šablony umožňují umístit implantáty téměř přesně podle předem připraveného plánu.[3]

Celková rehabilitace čelistního oblouku zůstává jednou z největších výzev implantologie, vyžadující obnovení funkce, estetiky a dlouhodobé stability u pacientů s omezenými anatomickými referenčními body. Digitální workflow umožňuje přesné plánování šité na míru každému pacientovi a zlepšuje kontrolu a předvídatelnost celého ošetření. Intraorální skenery navíc umožňují rychlý, přesný a neinvazivní sběr dat. [4] Jejich výstupní kvalita se dnes vyrovná tradičním otiskům a zároveň poskytuje lepší zážitek pro pacienta a okamžitou použitelnost při návrhu protetiky. [5]
Integrace dat z intraorálního skenu s daty CBCT vytváří jednotný digitální model – tzv. digitální dvojče – který podporuje protetické plánování, výrobu chirurgických šablon a identifikaci anatomických omezení. Umělá inteligence (AI) přináší další potenciál tím, že zpracovává rozsáhlé datové soubory, aby pomohla při diagnostice, pozicování implantátů a biomechanické analýze. [6, 7]
V klinické praxi tyto technologie vedou k přesnějšímu zavedení implantátů, optimalizovaným protetickým řešením a kratším, méně invazivním zákrokům – často s možností okamžitého zatížení. Úspěch však závisí také na vlastnostech implantátů a řádném zaškolení. Desítky let výzkumu ukázaly, že implantáty s vyšší hydrofilitou mohou zlepšovat klinické výsledky tím, že urychlují hojení a usnadňují protokoly okamžitého zatížení. [8] Klinici musí rozumět digitálním pracovním postupům, logice softwaru a správě komplexních případů bezzubosti, kde je diagnostika, přesnost a preciznost zásadní. Navigovaná chirurgie převádí virtuální plánování do vysoce přesných klinických výkonů. [9]
3D tištěné šablony pomáhají minimalizovat odchylky a snižovat chirurgické trauma. Přesto je nezbytné zachovávat vysoké standardy ve všech fázích – od otisků a návrhu šablon až po dodání definitivní protetiky. Klíčová je spolupráce se zubními laboratořemi. Digitální komunikace umožňuje výrobu individualizovaných protetických prací, které jsou virtuálně ověřeny a přesně vyrobeny pomocí CAD/CAM. To zvyšuje efektivitu, snižuje chybovost a zlepšuje celkovou kvalitu ošetření.
Nakonec konvergence CBCT, AI, intraorálního skenování a 3D tisku mění stomatologii v obor prediktivní, preventivní a personalizovaný. Celková rehabilitace čelistního oblouku ilustruje výhody tohoto posunu a činí z počítačem řízené implantologie nejen techniku, ale filozofii péče orientovanou na pacienta, založenou na preciznosti, bezpečnosti a klinické excelenci. [10]
Kazuistika
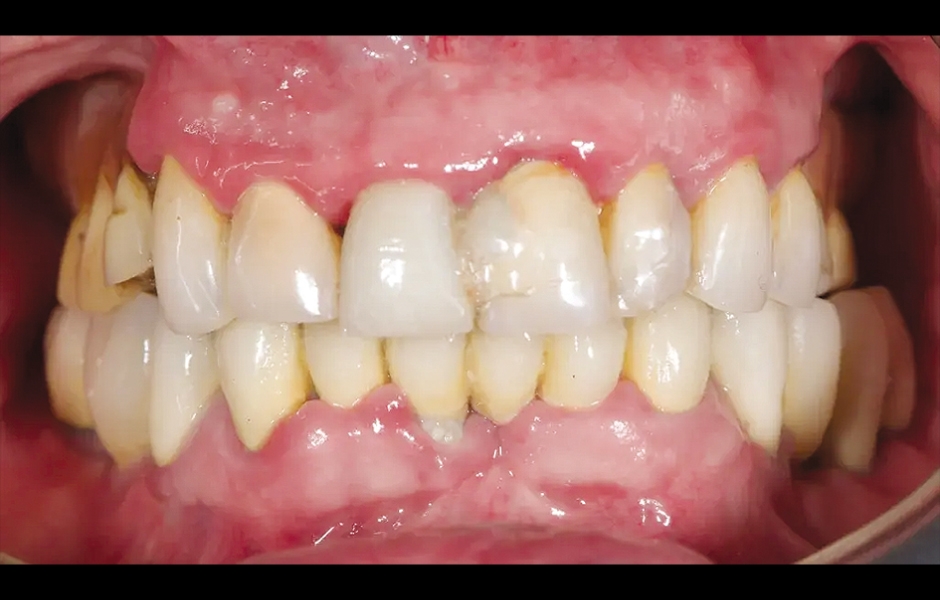
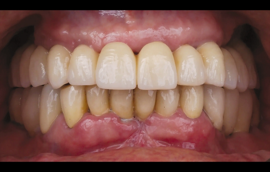
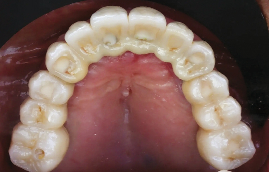
85letý částečně bezzubý pacient byl odeslán na naši kliniku k celkové rehabilitaci horní čelisti. Pacient byl v dobrém celkovém zdravotním stavu a nekuřák. Jeho hlavní stížnosti zahrnovaly obtíže při žvýkání, bolest v horní čelisti a občasný zápach z úst. Klinické a radiologické vyšetření odhalilo krátký fixní metalokeramický můstek nesený sedmi frontálními zuby horní čelisti. Protetická práce se uvolnila a čtyři z pilířových zubů byly strukturálně narušeny. Zbývající tři vykazovaly různé stupně kazivých lézí a parodontálních problémů. Byla stanovena diagnóza selhávající dentice (obr. 1 a 2).
Při první návštěvě byly digitální otisky pořízeny pomocí skeneru Medit i700 k dokumentaci reziduálních zubů, měkkých tkání, stávající protetiky a protilehlého oblouku. Okluzní záznamy byly získány v aktuální vertikální dimenzi okluze a v centrální relaci. Pohyby mandibuly byly zaznamenány pomocí systému pro registraci čelistí zebris JMA (zebris Medical). Byly pořízeny intra- a extraorální fotografie. Na základě těchto dat byl vytvořen virtuální diagnostický wax-up a digitální simulace úsměvu (Smile Creator, exocad). Následně bylo naplánováno osm implantátů (obr. 3 a 4) podle nového wax-upu (exoplan 3.1, exocad) a předem byla vyrobena chirurgická šablona i dočasná kovem vyztužená protetika (obr. 5–7).
V den operace byla aplikována lokální anestezie a první chirurgická šablona byla stabilizována na zbývajících zubech k přípravě pěti fixačních pinů. Poškozené zuby byly extrahovány a druhá chirurgická šablona byla upevněna v připravených místech. Osm implantátů (Osstem TSIII SOI, Osstem Implant) bylo umístěno – pět do čerstvých extrakčních alveolů a tři do dříve zahojených oblastí. Všechny implantace proběhly plně navigovaně pomocí chirurgické šablony bez kovových pouzder a s dedikovanou chirurgickou sadou (OneGuide KIT, Osstem Implant; obr. 8). [11] Jeden implantát vyžadoval krestální sinus lift, který byl proveden plně navigovaným přístupem (OneCAS KIT, Osstem Implant; obr. 9). Xenogenní kostní materiál (A-Oss, Osstem Implant) byl použit k vyplnění extrakčních alveolů a dutiny sinu. [12] Na všechny implantáty byly okamžitě nasazeny multi-unit abutmenty a dočasné abutmenty (Osstem Implant) podle konceptu „one abutment, one time“. [13] Předem připravená dočasná protetika na bázi PMMA s kovovou výztuhou byla vložena a ihned fixována v ústech. V ordinaci byly provedeny úpravy pro dosažení správné okluze (obr. 10–12). Pacient obdržel pooperační instrukce a medikaci.
Po čtyřech měsících byly pořízeny digitální otisky pomocí Medit i900. Ty zahrnovaly otisk funkční dočasné protetiky, otisk anatomie měkkých tkání a otisk se speciálně navrženými scan body s laterálními rozšířeními pro zvýšení přesnosti intraorálního skenu (SmartFlag, APOLLO; obr. 13). Byl použit nový digitální pracovní postup nazvaný Medit SmartX (Medit Link verze 3.4.2; obr. 14). Tento systém umožňuje v reálném čase rozpoznávat a zarovnávat knihovny scan body, čímž zvyšuje předvídatelnost, efektivitu a bezpečnost digitálních otisků celého oblouku. Byla použita kombinace skenovacích technik pro dosažení co nejvyšší přesnosti: přímý a klikatý postup v předních úsecích a přímý postup v zadních úsecích. [14]
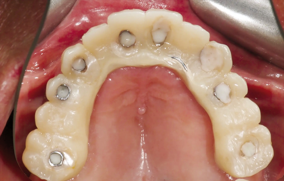
Při druhé návštěvě byl testován PMMA prototyp vyztužený kovovou lištou pro ověření estetické a funkční přesnosti. Pasivní dosed kovové konstrukce byl posouzen pomocí one-screw (Sheffield) testu a taktilní verifikací sondou (obr. 15–17a–f). [15, 16]
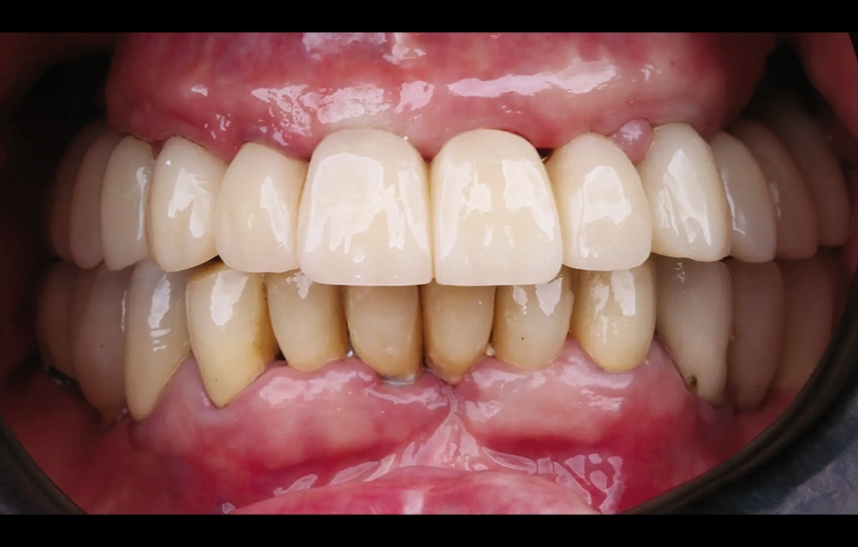
Při finální návštěvě byla nasazena definitivní hybridní šroubem fixovaná protetika. Definitivní práce sestávala z CAD/CAM titanového skeletu přišroubovaného na všechny implantáty a tří monolitických zirkoniových segmentů vlepených nahoře (obr. 18a–c). Byla zkontrolována okluze a pacient byl zařazen do čtyřměsíčního recall programu. Při poslední kontrole (rok po implantaci) byly všechny implantáty úspěšné a pacient byl plně spokojen s novou protetikou (obr. 19–22).

Obr. 1: Výchozí situace, čelní pohled. (Všechny snímky: Dr. Marco Tallarico a kol.).

Obr. 2: Výchozí situace, okluzální pohled.

Obr. 3: Virtuální plánování implantátů. Sladění CBCT a intraorálních skenů pomocí externího značkovače v softwaru exoplan 3.1.

Obr. 4: Virtuální plánování implantátu do okamžité postextrakční oblasti v exoplan 3.1.

Obr. 5: Předem zhotovená provizorní protetická práce z PMMA.

Obr. 6: Chirurgická šablona bez kovových pouzder pro přípravu fixačních pinů.

Obr. 7: Chirurgická šablona bez kovových pouzder pro plně navigovanou implantaci.

Obr. 8: Zavádění implantátu pomocí sady OneGuide KIT.

Obr. 9: Plně navigovaný krestální přístup do sinu pomocí sady OneCAS KIT.

Obr. 10: Provizorní protetická práce s kovovou výztuhou.

Obr. 11: Provizorní protetická práce s kovovou výztuhou in situ, čelní pohled.

Obr. 12: Provizorní protetická práce s kovovou výztuhou in situ, okluzální pohled.

Obr. 13: Scan body SmartFlag nasazené pro intraorální otisk.

Obr. 14: Digitální workflow Medit SmartX pro intraorální skenování celé čelisti pomocí Medit i900 a softwaru Medit Scan for Clinics (verze 1.13.2).

Obr. 15: Intraorální zkouška kovové výztuže pro ověření přesnosti a pasivního dosedu.

Obr. 16: PMMA prototyp pro ověření funkce a estetiky.

Obr. 17a–f: Kontrolní rentgenové snímky během one-screw testu.

Obr. 18a–c: Hybridní definitivní práce tvořená CAD/CAM titanovou výztuží a třemi zirkoniovými protetickými segmenty fixovanými shora.

Obr. 19: Definitivní protetická práce při jednoroční kontrole, frontální pohled.

Obr. 20: Definitivní protetická práce při jednoroční kontrole, okluzální pohled.

Obr. 21: Jednoroční kontrola, faciální pohled.

Obr. 22: Panoramatický rentgenový snímek chrupu po jednom roce.
Diskuse
Tato kazuistika zdůrazňuje rostoucí roli digitálních technologií při dosažení vysoké přesnosti a předvídatelnosti v celkové implantologické rehabilitaci. Jedním z klíčových faktorů dlouhodobého úspěchu je pasivní dosed definitivní protetiky. Skutečně pasivní dosed minimalizuje mechanický stres na implantáty a okolní kost, čímž se snižuje riziko biologických či technických komplikací, jako je periimplantitis, uvolnění šroubu nebo fraktura skeletu. [15, 16] V tomto případě ke kontrole pasivního dosedu přispěla kombinace multi-unit abutmentů, intraorálního skenování a CAD/CAM kovového skeletu s ověřením pomocí one-screw testu a taktilního hodnocení. [15]
Dalším zásadním faktorem, který ovlivňuje dlouhodobý výsledek, je 3D pozice implantátů. Přesné zavedení implantátů co do hloubky, angulace a mezio-distálního odstupu přímo ovlivňuje protetický dosed, okluzní harmonii a rozložení žvýkacích sil. [17] U bezzubé horní čelisti – kde anatomická omezení a pohyblivost měkkých tkání ztěžují manuální techniky – se ukazuje počítačem řízená chirurgie jako obzvlášť přínosná. V tomto případě bylo plně navigované zavedení implantátů umožněno digitálním plánováním a 3D tištěnou chirurgickou šablonou kotvenou piny. [18] Tento protokol umožnil minimálně invazivní přístup a provedení krestálního sinus liftu, což ukazuje, jak může navigovaná chirurgie zvládnout anatomickou komplexitu s minimální invazivitou. Přesnost virtuálního plánování se tak přímo promítá do chirurgické přesnosti, což zlepšuje protetickou předvídatelnost i výsledky pacientů. [19]
Integrace technologií intraorálního skenování a CBCT umožnila plynulý, neinvazivní digitální pracovní postup od diagnostického vyšetření až po předání definitivní protetické práce. Tento přístup zajistil přesné plánování implantátů, návrh protetiky a výrobu individualizované chirurgické šablony, vše v souladu s anatomií pacienta a požadavky na protetiku. Na rozdíl od tradičních postupů digitální nástroje snižují riziko manuální chyby a přinášejí významné výhody z hlediska komfortu pacienta, efektivity a reprodukovatelnosti. [20]
Klíčovou inovací v tomto případě bylo použití systému Medit SmartX, platformy založené na umělé inteligenci, která zvyšuje přesnost intraorálního skenování optimalizací rozpoznávání a zarovnání scan body. Systém využívá AI k minimalizaci potenciálních nesouladů při získávání dat v plném rozsahu čelisti – což je jedna z nejkritičtějších fází digitální implantologie. Medit SmartX poskytl zjednodušený skenovací protokol, kombinující přímý a klikatý způsob skenování v předních úsecích a přímé skenování v zadních oblastech. Výsledkem byly datové soubory vyšší kvality a lepší přizpůsobení protetické práce. Tato zlepšení byla obzvlášť přínosná při ošetření zcela bezzubé horní čelisti, kde absence anatomických orientačních bodů může ohrozit integritu získaných dat. Pracovní postup Medit SmartX tak může optimalizovat principy zarovnání skenovacích dat i nastavení skenování, a tím dosáhnout přesnějších výsledků než konvenční procesy. To umožňuje ještě lépe zdůraznit technické přednosti tohoto systému.
Integrace přesných a předvídatelných chirurgických setů, jako v tomto případě, spolu s implantáty vyvinutými s pokročilými povrchovými technologiemi určenými k podpoře osseointegrace – povrch SOI od Osstem Implant – hraje zásadní roli v dosažení spolehlivých a konzistentních klinických výsledků. Tyto inovace nejen zjednodušují chirurgické výkony, ale také podporují dlouhodobý úspěch implantologie, což z nich činí nepostradatelné nástroje moderních zubních lékařů.
Přestože výsledek byl úspěšný, tato kazuistika má určitá omezení. Jako jediný případ nelze výsledky zobecnit na všechny klinické scénáře. Pacient měl příznivý objem kosti a dobrý celkový zdravotní stav, což nemusí být samozřejmé u více ohrožených pacientů. Dále, ačkoli systém Medit SmartX ukázal slibné výsledky, jeho dlouhodobý výkon, reprodukovatelnost mezi různými uživateli a integrace s dalšími softwarovými platformami vyžaduje další výzkum. Hodnocení pasivního dosedu se opíralo o klinické metody, které, ač široce uznávané, zůstávají částečně subjektivní bez potvrzení pomocí digitální stresové analýzy či průmyslových měření. Navíc čas a úsilí potřebné k efektivnímu osvojení AI-nástrojů a plně digitálních workflow zůstává značné. Úspěšná aplikace vyžaduje nejen přístup k modernímu vybavení, ale i hluboké porozumění digitálnímu plánování, logice softwaru a možným intraoperačním úpravám.
Závěr
Tato kazuistika podtrhuje klinickou hodnotu plně digitálních pracovních postupů podporovaných technologiemi využívajícími AI při dosažení přesné, efektivní a na pacienta zaměřené celkové rehabilitace čelistního oblouku. Kombinace navigované chirurgie, přesného 3D umístění implantátů a digitálních verifikačních protokolů umožňuje klinikům dodávat protetiku s vysokou funkční a estetickou předvídatelností. Zatímco integrace systémů jako Medit SmartX může zlepšit přesnost skenů a protetický dosed, jsou zapotřebí další studie – včetně klinických zkoušek a analýz více operátorů – k plnému ověření těchto inovací a stanovení jejich širší použitelnosti.
Buďte v obraze
Chcete mít pravidelný přehled o nových článcích na tomto webu, akcích a dalších novinkách? Přihlaste se k odběru newsletteru.
Odesláním souhlasíte s našimi zásadami zpracování osobních údajů.
- Dioguardi M, Spirito F, Quarta C, Sovereto D, Basile E, Ballini A, Caloro GA, Troiano G, Lo Muzio L, Mastrangelo F. Guided dental implant surgery: systematic review. J Clin Med. 2023 Feb 13;12(4):1490. doi: 10.3390/jcm12041490.
- Mai HN, Dam VV, Lee DH. Accuracy of augmented reality-assisted navigation in dental implant surgery: systematic review and meta-analysis. J Med Internet Res. 2023 Jan 4;25:e42040. doi: 10.2196/42040.
- Mahardawi B, Jiaranuchart S, Arunjaroensuk S, Dhanesuan K, Mattheos N, Pimkhaokham A. The accuracy of dental implant placement with different methods of computer-assisted implant surgery: a network meta-analysis of clinical studies. Clin Oral Implants Res. 2025 Jan;36(1):1–16. doi: 10.1111/clr.14357.
- Jain S, Sayed ME, Khawaji RA, Hakami GA, Solan EH, Daish MA, Jokhadar HF, AlResayes SS, Altoman MS, Alshehri AH, Alqahtani SM, Alamri M, Alshahrani AA, Al-Najjar HZ, Mattoo K. Accuracy of 3 intraoral scanners in recording impressions for full arch dental implant-supported prosthesis: an in vitro study. Med Sci Monit. 2024 Dec 8;30:e946624. doi: 10.12659/MSM.946624.
- Kihara H, Hatakeyama W, Komine F, Takafuji K, Takahashi T, Yokota J, Oriso K, Kondo H. Accuracy and practicality of intraoral scanner in dentistry: a literature review. J Prosthodont Res. 2020 Apr;64(2):109–13. doi: 10.1016/j.jpor.2019.07.010.
- FDI World Dental Federation. Artificial intelligence in dentistry. Int Dent J. 2025 Feb;75(1):3–4. doi: 10.1016/j.identj.2024.12.004.
- Ossowska A, Kusiak A, Świetlik D. Artificial Intelligence in dentistry—narrative review. Int J Environ Res Public Health. 2022 Mar 15;19(6):3449. doi: 10.3390/ijerph19063449.
- Pae HC, Kim SK, Park JY, Song YW, Cha JK, Paik JW, Choi SH. Bioactive characteristics of an implant surface coated with a pH buffering agent: an in vitro study. J Periodontal Implant Sci. 2019 Nov 4;49(6):366–81. doi: 10.5051/jpis.2019.49.6.366.
- Araujo-Corchado E, Pardal-Peláez B. Computer-guided surgery for dental implant placement: a systematic review. Prosthesis. 2022 Dec;4(4):540–53. doi: 10.3390/prosthesis4040044.
- Tahmaseb A, Wismeijer D, Coucke W, Derksen W. Computer technology applications in surgical implant dentistry: a systematic review. Int J Oral Maxillofac Implants. 2014;29 Suppl:25–42. doi: 10.11607/jomi.2014suppl.g1.2.
- Lim J, Jun SH, Tallarico M, Park JB, Park DH, Hwang KG, Park CJ. A randomized controlled trial of guided bone regeneration for peri-implant dehiscence defects with two anorganic bovine bone materials covered by titanium meshes. Materials (Basel). 2022 Aug 1;15(15):5294. doi: 10.3390/ma15155294.
- Tallarico M, Czajkowska M, Cicciù M, Giardina F, Minciarelli A, Zadrożny Ł, Park CJ, Meloni SM. Accuracy of surgical templates with and without metallic sleeves in case of partial arch restorations: a systematic review. J Dent. 2021 Dec;115:103852. doi: 10.1016/j.jdent.2021.103852.
- Tallarico M, Caneva M, Meloni SM, Xhanari E, Covani U, Canullo L. Definitive abutments placed at implant insertion and never removed: is it an effective approach? A systematic review and meta-analysis of randomized controlled trials. J Oral Maxillofac Surg. 2018 Feb;76(2):316–24. doi: 10.1016/j.joms.2017.08.025.
- Mai HY, Mai HN, Lee CH, Lee KB, Kim SY, Lee JM, Lee KW, Lee DH. Impact of scanning strategy on the accuracy of complete-arch intraoral scans: a preliminary study on segmental scans and merge methods. J Adv Prosthodont. 2022 Apr;14(2):88–95. doi: 10.4047/jap.2022.14.2.88.
- Buzayan MM, Yunus NB. Passive fit in screw retained multi-unit implant prosthesis understanding and achieving: a review of the literature. J Indian Prosthodont Soc. 2014 Mar;14(1):16–23. doi: 10.1007/s13191-013-0343-x.
- Figueras-Alvarez O, Cantó-Navés O, Real-Voltas F, Roig M. Protocol for the clinical assessment of passive fit for multiple implant-supported prostheses: a dental technique. J Prosthet Dent. 2021 Dec;126(6):727–30. doi: 10.1016/j.prosdent.2020.10.001.
- Tallarico M, Meloni SM. Retrospective analysis on survival rate, template-related complications, and prevalence of peri-implantitis of 694 anodized implants placed using computer-guided surgery: results between 1 and 10 years of follow-up. Int J Oral Maxillofac Implants. 2017 Sep–Oct;32(5):1162–71. doi: 10.11607/jomi.5930.
- Meloni SM, Tallarico M, Pisano M, Xhanari E, Canullo L. Immediate loading of fixed complete denture prosthesis supported by 4–8 implants placed using guided surgery: a 5-year prospective study on 66 patients with 356 implants. Clin Implant Dent Relat Res. 2017 Feb;19(1):195–206. doi: 10.1111/cid.12449.
- Tallarico M, Meloni SM, Canullo L, Caneva M, Polizzi G. Five-year results of a randomized controlled trial comparing patients rehabilitated with immediately loaded maxillary cross-arch fixed dental prosthesis supported by four or six implants placed using guided surgery. Clin Implant Dent Relat Res. 2016 Oct;18(5):965–72. doi: 10.1111/cid.12380.
- Tallarico M, Galiffi D, Scrascia R, Gualandri M, Zadrożny Ł, Czajkowska M, Catapano S, Grande F, Baldoni E, Lumbau AI, Meloni SM, Pisano M. Digital workflow for prosthetically driven implants placement and digital cross mounting: a retrospective case series. Prosthesis. 2022 Sep;4(3):353–68. doi: 10.3390/prosthesis4030029.
Články
14. 11. 2025 | Implantologie
Digitální pracovní postupy ve stomatologii přinesly revoluci v přístupu odborníků ke složitým zákrokům – zlepšují přesnost, efektivitu a dosažené klinické výsledky. Mezi digitálními inovacemi se výrazně prosazují systémy pro plnou navigaci...
Články
1. 12. 2025 | Implantologie
Aspergilóza je nejčastější příčinou oportunních mykotických infekcí u imunokompromitovaných jedinců a může být klasifikována jako invazivní nebo neinvazivní.
Články
14. 11. 2025 | Implantologie
Moderní stomatologie prochází technologickou revolucí, kterou pohání integrace pokročilých digitálních nástrojů v diagnostice, plánování a léčbě. Mezi nimi se počítačem řízená implantologie stala základním pilířem, zejména u složitých výkonů, jako jsou estetické rekonstrukce a celková rehabilitace čelistního oblouku.









