IPS e.max: vše, co potřebujete pro komplexní estetickou rehabilitaci
Multidisciplinární případ ukazující univerzálnost materiálu IPS e.max Ceram pro dosažení přirozeného a vysoce estetického výsledku.

Úvod
Obnova estetické funkce frontálních zubů je klinicky často náročná, zejména pokud případ zahrnuje selhávající frontální zuby, narušenou alveolární architekturu a nesoulad v proporcích či přítomnosti mezer mezi zuby. Optimálních výsledků lze dosáhnout pouze na základě důkladné diagnostické fáze, precizního protetického plánování a volby materiálu přizpůsobeného specifickým požadavkům daného podkladu.
Kazuistika
Tato kazuistika představuje multidisciplinární řešení komplexní estetické rehabilitace frontálního úseku u 44leté pacientky, u níž byla indikována náhrada selhávajícího horního centrálního řezáku (zub 21).
Pacientka byla ke mně odeslána k provedení komplexní estetické rehabilitace a současně k diskusi o náhradě selhávajícího zubu 21, postiženého vnitřní resorpcí. V minulosti již podstoupila komplexní interdisciplinární stomatologickou léčbu, včetně ortodontické terapie, ortognátní chirurgie a endodontického ošetření zubu 22.
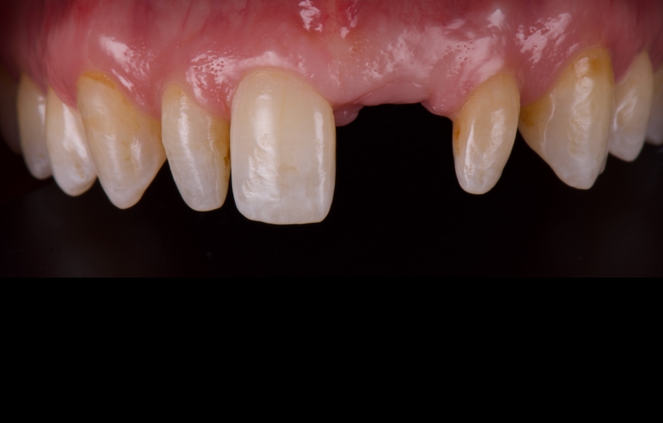
Klinické vyšetření odhalilo převážně intaktní chrup, dobrou úroveň ústní hygieny a střední linii úsměvu (obr. 1, 2). Radiologické vyšetření pomocí CBCT však prokázalo sagitální polohu hřebene třídy IV (Kan et al.), kdy alespoň dvě třetiny kořene zasahovaly jak do labiální, tak do palatinální kortikális, což činilo zavedení implantátu obtížným.
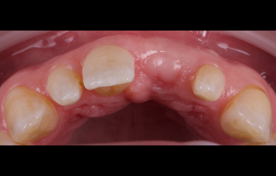
S ohledem na tato zjištění byl původní plán náhrady zubu 21 implantátem přehodnocen. Byla provedena extrakční terapie v kombinaci s ochranou hřebene a transplantací měkkých tkání pro zachování alveolární architektury (obr. 3, 4). Přesto však lokalita nebyla optimální pro zavedení implantátu bez další augmentace.
Protetická analýza a plánování
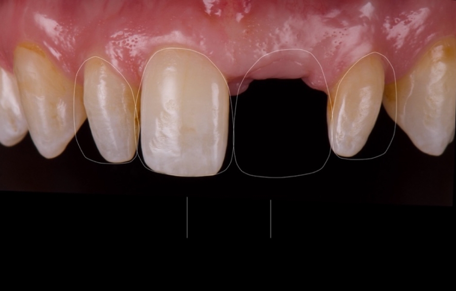
Již z mého prvního konzultačního setkání s pacientkou bylo zřejmé, že je třeba řešit několik zásadních estetických problémů. Pacientka měla oboustranně čípkovité horní laterální řezáky, tremata a nedostatečnou dominanci centrálních řezáků, což vše přispívalo k celkové estetické disharmonii. Významná byla také asymetrie v interdentálních mezerách – mezi zuby 22 a 23 byla mezera větší než na kontralaterální straně. Digital Smile Design (DSD) a 2D mock-up usnadnily vizualizaci navrhovaných změn (obr. 5, 6).
Diagnostický wax-up
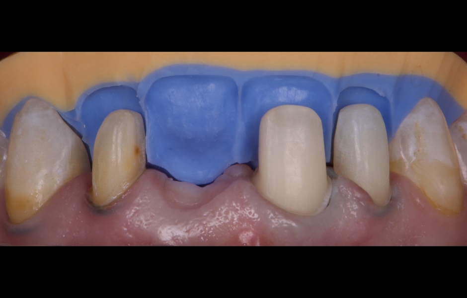
Diagnostický wax-up, připravený mistrem keramikem Matteo Morem, využíval kontrastní šedý vosk k demonstraci objemového doplnění požadovaného na zubu 23 k uzavření mezizubní mezery (obr. 7).
Mock-up pomocí silikonového klíče přenesl wax-up intraorálně pro posouzení a schválení pacientkou (obr. 8, 9). Po podrobné diskusi s pacientkou jsme se společně rozhodli zhotovit můstek kotvený na zubu 11 s volným členem 21 namísto varianty s implantátem.

Obr. 1: Pacientka se dostavila s převážně intaktním chrupem, dobrou úrovní ústní hygieny a střední linií úsměvu.

Obr. 2: Pacientka se dostavila s převážně intaktním chrupem, dobrou úrovní ústní hygieny a střední linií úsměvu.

Obr. 3: I po provedení extrakční terapie zůstávala lokalita neuspokojivá pro zavedení implantátu.

Obr. 4: I po provedení extrakční terapie zůstávala lokalita neuspokojivá pro zavedení implantátu.

Obr. 5: Digital Smile Design (DSD) a 2D mock-up usnadnily vizualizaci navrhovaných změn.

Obr. 6: Digital Smile Design (DSD) a 2D mock-up usnadnily vizualizaci navrhovaných změn.

Obr. 7: Wax-up ukazuje potřebu meziálního rozšíření zubu 23.

Obr. 8: Mock-up použitý k ověření tvaru a rozměrů zubů a k získání souhlasu pacientky.

Obr. 9: Mock-up použitý k ověření tvaru a rozměrů zubů a k získání souhlasu pacientky.

Obr. 10: Různé lithium-disilikátové a zirkoniové rekonstrukce na modelu před finálním fazetováním.

Obr. 11: Zuby byly preparovány pomocí silikonových klíčů připravených na základě diagnostického wax-upu, aby byl zajištěn dostatečný prostor pro definitivní rekonstrukce při minimálně invazivním přístupu.

Obr. 12: Zuby byly preparovány pomocí silikonových klíčů připravených na základě diagnostického wax-upu, aby byl zajištěn dostatečný prostor pro definitivní rekonstrukce při minimálně invazivním přístupu.

Obr. 13: Zuby byly preparovány pomocí silikonových klíčů připravených na základě diagnostického wax-upu, aby byl zajištěn dostatečný prostor pro definitivní rekonstrukce při minimálně invazivním přístupu.

Obr. 14: Definitivní otisky byly sejmuty polyvinylsiloxanem (PVS) a provizorní rekonstrukce byly následně upraveny podle potřeby.

Obr. 15: Finální keramické rekonstrukce byly intraorálně zkontrolovány s ohledem na přesnost okrajového uzávěru, tvaru a estetiky. Adhezivní fixace byla provedena pomocí Variolink Esthetic DC.

Obr. 16: Finální keramické rekonstrukce byly intraorálně zkontrolovány s ohledem na přesnost okrajového uzávěru, tvaru a estetiky. Adhezivní fixace byla provedena pomocí Variolink Esthetic DC.

Obr. 17: Finální keramické rekonstrukce byly intraorálně zkontrolovány s ohledem na přesnost okrajového uzávěru, tvaru a estetiky. Adhezivní fixace byla provedena pomocí Variolink Esthetic DC.

Obr. 18: Finální keramické rekonstrukce byly intraorálně zkontrolovány s ohledem na přesnost okrajového uzávěru, tvaru a estetiky. Adhezivní fixace byla provedena pomocí Variolink Esthetic DC.

Obr. 19: Finální keramické rekonstrukce byly intraorálně zkontrolovány s ohledem na přesnost okrajového uzávěru, tvaru a estetiky. Adhezivní fixace byla provedena pomocí Variolink Esthetic DC.

Obr. 20: Finální keramické rekonstrukce byly intraorálně zkontrolovány s ohledem na přesnost okrajového uzávěru, tvaru a estetiky. Adhezivní fixace byla provedena pomocí Variolink Esthetic DC.

Obr. 21: Finální keramické rekonstrukce byly intraorálně zkontrolovány s ohledem na přesnost okrajového uzávěru, tvaru a estetiky. Adhezivní fixace byla provedena pomocí Variolink Esthetic DC.

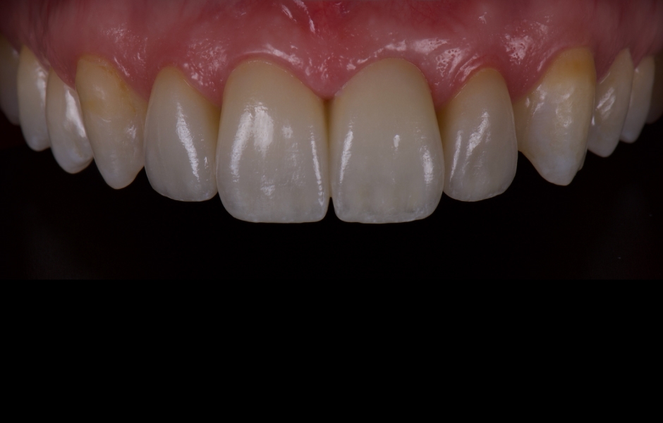
Obr. 22: Po dokončení protetické rekonstrukce bylo patrné pozoruhodné estetické zlepšení – lepší harmonie úsměvu, vyvážená dominance centrálních řezáků a dokonalá integrace s obličejem. Finální snímky zdůrazňují výsledek – dosažení přirozeného a harmonick

Obr. 23: Finální snímky zdůrazňují výsledek – dosažení přirozeného a harmonického úsměvu.
Klinický postup a volba materiálu
Aby bylo dosaženo co nejlepšího dlouhodobého funkčního a estetického výsledku, byl zub 11 preparován pro celoplášťovou korunku, která měla nést můstek s distálně volným členem nahrazujícím zub 21. Baze členu 21 byla modelována tak, aby bylo dosaženo přirozeného vzhledu. Čípkovité laterální řezáky (zuby 12 a 22) byly preparovány pro keramické fazety, které měly upravit jejich tvar, optimalizovat proporce a uzavřít tremata. Aby rekonstrukce zůstala co nejvíce konzervativní, byla pro zub 23 naplánována meziální keramická fragmentová fazeta, jejímž cílem bylo dosažení optimálního aproximálního kontaktu mezi korunkami 22 a 23.
S ohledem na použití tří různých typů rekonstrukcí v estetické zóně byl zvolen materiál IPS e.max Ceram jako společná fazetovací keramika prokazující kompatibilitu jak s IPS e.max Press (lithium-disilikát), tak s IPS e.max ZirCAD Prime (zirkoniumdioxid). Tento postup umožnil řešit nároky na mechanickou odolnost a zároveň zajistit vysokou estetiku.
Protože pevnost extendovaného můstku závisí především na odolnosti spoje, upřednostnili jsme materiál, který poskytuje jak vynikající mechanické vlastnosti, tak špičkovou estetiku. Proto byl vybrán materiál IPS e.max ZirCAD Prime, který zajišťuje dostatečnou pevnost spoje a dlouhodobou stabilitu bez estetických kompromisů.
Pro fazety laterálních řezáků byl přirozenou volbou IPS e.max Press (lithium-disilikát) díky své prokázané dlouhodobé úspěšnosti a výjimečné estetice (obr. 10). Keramická fragmentovaná fazeta pro zub 23 byla mezitím zhotovena z materiálu IPS e.max Ceram.
Klinicky byly zuby preparovány pro definitivní rekonstrukce s využitím silikonových klíčů vytvořených z diagnostického wax-upu. Tyto klíče sloužily jako přesné vodítko k zajištění dostatečného prostoru pro definitivní náhrady, přičemž rozsah preparací byl minimálně invazivní. Definitivní otisky byly sejmuty pomocí polyvinylsiloxanu (PVS) a následně byly zhotoveny provizorní rekonstrukce (obr. 11–14). Komunikace ohledně odstínu probíhala digitálně vzhledem ke geografické vzdálenosti mezi zubním lékařem a laboratoří.
Definitivní rekonstrukce a adhezivní protokol
Finální keramické rekonstrukce byly intraorálně zkontrolovány s ohledem na přesnost okrajovvého uzávěru, tvaru a estetiky. Adhezivní fixace byla provedena pomocí cementu Variolink Esthetic DC, odstín neutral (Ivoclar), v souladu s doporučením výrobce. K přesnému usazení všech náhrad byl použit individuálně zhotovený polohovací klíč. Následovala postupná adhezivní fixace – nejprve můstku a nakonec fazet na laterálních řezácích (obr. 15–21).
Výsledky
Pooperační vyhodnocení odhalilo výrazné estetické zlepšení s lepší harmonií úsměvu, zvýrazněnou dominancí centrálních řezáků a optimální integrací s rysy pacientčina obličeje (obr. 21 a 22). Funkční parametry byly stabilní a během sledování nebyly zjištěny žádné komplikace.
Rehabilitace frontálního úseku zahrnující více typů keramických náhrad představují specifickou výzvu pro dosažení optimální estetické integrace. V tomto případě použití IPS e.max Ceram na různých konstrukčních materiálech prokázalo předvídatelnost této fazetovací keramiky i v komplexních rekonstrukčních situacích.
Dále multidisciplinární spolupráce, podpořená digitálními pracovními postupy i analogovým řemeslným zpracováním, umožnila úspěšný výsledek zaměřený na pacienta.
Finální fotografie zachycují výraznou proměnu pacientčina úsměvu – nyní v dokonalé harmonii s jejím obličejem a rty (obr. 22, 23).
Závěr
Tato kazuistika zdůrazňuje význam individualizovaného a multidisciplinárního plánování pro úspěšnou estetickou rehabilitaci frontálního úseku. Materiál IPS e.max Ceram se ukázal jako neocenitelný prostředek pro dosažení harmonie rekonstrukcí s použitím různých konstrukčních materiálů a ve výsledku poskytl funkčně i esteticky vydařený výsledek.
Buďte v obraze
Chcete mít pravidelný přehled o nových článcích na tomto webu, akcích a dalších novinkách? Přihlaste se k odběru newsletteru.
Odesláním souhlasíte s našimi zásadami zpracování osobních údajů.
Články
6. 5. 2025 | Protetika
Digitální pracovní postup umožňuje využití polychromatických disků s optickými vlastnostmi podobnými přirozenému zubu. Ty minimalizují nebo dokonce eliminují potřebu individualizace či charakterizace, pokud je materiál vybrán na základě specifických potřeb pacienta. Klíčovým faktorem je vysoká věrnost barev odpovídající přirozenému zubu, plynulý přechod odstínu od krčku k incizi a přirozená hra světla s efekty napodobujícími skutečný zub.
Články
15. 5. 2025 | Protetika
Aidite 3D Pro Zikón: Revolučný materiál v oblasti zubnej protetiky, známy svojou výnimočnou pevnosťou, estetickým vzhľadom a všestrannosťou. ento pokročilý zirkónový materiál vyniká vďaka svojmu unikátnemu viacvrstvovému dizajnu, ktorý napodobňuje prirodzený gradient ľudských zubov.
Články
4. 9. 2025 | Protetika
Dnešní vysoké estetické nároky lze uspokojit pomocí přímých kompozitních rekonstrukcí.
Pá 22. 5. 2026 | 13.00 – 18.30 hod.
- Dentální hygienistka Hledá se dentální hygienistka - Litovel
- Zubní technik Zubní technik
- Dentální hygienistka Dentální hygienistka / hygienista
- Dentální hygienistka Přijmeme dentální hygienistku/ hygienistu
- Zubní lékař Zubní lékař/ka - Dental Smile Hradec Králové








