Jednoduše zhotovená náhrada nesená implantáty v éře 3D tisku
Představujeme případ částečné náhrady chrupu ošetřeného pomocí jednoduchého plně digitálního protokolu, který zahrnoval zhotovení implantáty nesených korunkových náhrad (spojených korunek) z hybridního kompozitního materiálu se 42% obsahem keramiky (certifikovaného pro definitivní náhrady) za využití moderní technologie 3D tisku TSLA (tilted stereolithography) na tiskárně DFAB. Náhrada byla cementována na individuální abutmenty vyfrézované výrobcem použitých implantátů.
Ukázka obrázků:



Pacient, 65letý muž bez zdravotních obtíží a s dobrou ústní hygienou, se na nás obrátil kvůli náhradě vícečetného defektu chrupu v oblasti zubů 14 a 15 (pravý horní první a druhý premolár). Pro protetickou rehabilitaci byly zvoleny implantáty Naturactis (LYRA ETK, Francie). Současně se zavedením implantátů byly nasazeny vhodné skenovatelné vhojovací abutmenty iPhysio (LYRA ETK), pečlivě vybrané podle typu nahrazovaného zubu a podle tloušťky a výšky periimplantárních měkkých tkání. Tyto abutmenty mají dvojí funkci – slouží jako vhojovací válečky, které formují měkké tkáně pro nasazení finální náhrady, a zároveň jako skenovací tělíska pro optický přenos polohy implantátu. Po zavedení by se tedy neměly odstraňovat až do nasazení definitivní náhrady.
Po dvou měsících potřebných pro osseointegraci implantátů byla zachycena poloha implantátů, antagonistů a mezičelistní vztah pomocí intraorálního skeneru iTero Element 5D Plus (Align Technologies, USA). Díky dvojí funkci vhojovacích abutmentů nebylo třeba používat speciální skenovací tělíska. Data byla odeslána do zubní laboratoře, kde byly pomocí CAD softwaru Exocad – Galway vymodelovány individuální abutmenty a definitivní můstek (fixní náhrada). Individuální abutmenty byly vyfrézovány výrobcem implantátů z titanu; můstek byl vyroben v laboratoři technologií TSLA 3D tisku pomocí laserové tiskárny DFAB (DWS Systems) z hybridního kompozitu IRIX MAX (DWS Systems) s obsahem keramiky 42 %, certifikovaného pro definitivní náhrady. Díky patentované technologii Photoshade (DWS Systems) bylo možno náhradu vytisknout v požadovaném odstínu s přirozeným barevným gradientem. Můstek byl polymerizován v peci DCURE (DWS Systems) a byl připraven k nasazení.
Pacient se dostavil na třetí, finální návštěvu. Vykazoval perfektně zhojené a vytvarované měkké tkáně. Operatér odstranil skenovatelné vhojovací abutmenty iPhysio (LYRA ETK), našrouboval individuální titanové abutmenty a poté nacementoval definitivní náhradu. Klinická přesnost byla vynikající, a to díky vysoké kvalitě snímků z intraorálního skenu iTero Element 5D Plus v kombinaci s frézovanými individuálními abutmenty a korunkami z hybridního kompozitu IRIX MAX.

Obr. 1: Abutmenty iPhysio v pozici zubů 14 a 15.

Obr. 2: Abutmenty iPhysio v pozici zubů 14 a 15.

Obr. 3: Intraorální skeny pomocí iTero Element 5D Plus.

Obr. 4: Intraorální skeny pomocí iTero Element 5D Plus.

Obr. 5: Detail abutmentů iPhysio v intraorálním skenu.

Obr. 6: Abutmenty iPhysio v CAD softwaru.

Obr. 7: Abutmenty iPhysio v CAD softwaru.

Obr. 8. Detail CAD modelace individuálních abutmentů a korunek.

Obr. 9: CAD návrh korunek umístěný v kontextu virtuálních úst pacienta.

Obr. 10. Všimněte si podpory, kterou poskytují individuální abutmenty korunkovým náhradám.

Obr. 11: Fotorealistická vizualizace náhrady pomocí Truesmile od Exocad.

Obr. 12: Fotorealistická vizualizace náhrady pomocí Truesmile od Exocad.

Obr. 13: STL soubor finální náhrady připravený k tisku.

Obr. 14. Nahrání STL souboru náhrady do softwaru Nauta Photoshade od DWS Systems.

Obr. 15: Nastavení barevných úrovní v Nauta Photoshade.

Obr. 16: Detail virtuální náhrady připravené k automatické tvorbě tiskových podpěr v Nauta Photoshade.

Obr. 17. Vynikající stav tkání po odstranění vhojovacích abutmentů iPhysio.

Obr. 18: Zavedení individuálních abutmentů vyfrézovaných společností LYRA ETK.

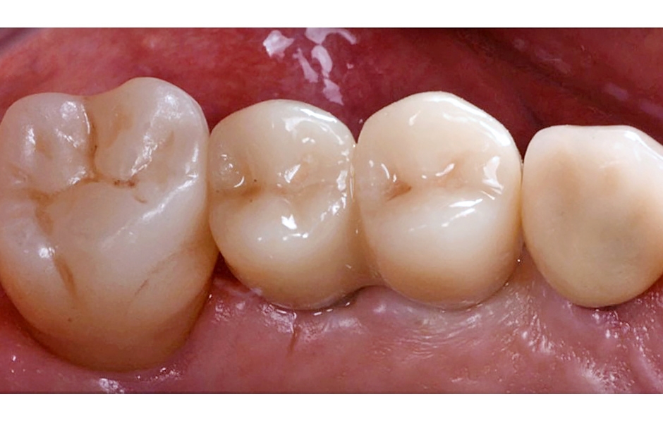
Obr. 19: Definitivní náhrada vytištěná technologií TSLA na 3D tiskárně DFAB z hybridního kompozitu IRIX MAX (DWS Systems), cementovaná na individuální abutmenty.
Digitální řešení může být opravdu jednoduché a dostupné, pokud zvolíte správné technologie! Také nic nebrání tomu, realizovat zhotovení protetiky v podobě šroubované náhrady aditivně přímo v ordinaci: technik by mohl obdržet sken, obratem zaslat CAD model šroubované náhrady (během 5–10 minut) a operatér by mohl můstek vytisknout přímo v ordinaci během dalších 10–15 minut včetně polymerizace v peci. Následovalo by extraorální lepení na titanové báze a našroubování do úst pacienta. Tato metoda má prokazatelnou kvalitu doloženou nedávnými in vitro a in vivo studiemi, je elegantní a ekonomicky dostupná. Nicméně my preferujeme cementované náhrady, protože pevná podpora individuálních abutmentů z titanu či hybridních materiálů je zásadní, a navíc nemáme rádi náhrady s okluzálními otvory pro šrouby.
Buďte v obraze
Chcete mít pravidelný přehled o nových článcích na tomto webu, akcích a dalších novinkách? Přihlaste se k odběru newsletteru.
Odesláním souhlasíte s našimi zásadami zpracování osobních údajů.
Články
1. 4. 2026 | Protetika
Mnoho zubních techniků si myslí, že kvalitní zubní laboratoř poznáte podle krásných korunek.
Články
16. 2. 2026 | Interview / reportáž
Pro ty, kteří každý den pracují s maximální přesností, je spolehlivá technologie nezbytná. Hovořili jsme s Isabellou Schmied (produktová manažerka pro orální chirurgii ve společnosti W&H) a Andreasem Brandstätterem (produktový ředitel pro orální chirurgii a implantologii ve společnosti W&H) o novém Implantmed Plus II.
Články
4. 9. 2025 | Protetika
Dnešní vysoké estetické nároky lze uspokojit pomocí přímých kompozitních rekonstrukcí.
Pá 19. 6. 2026 | 9.00 – 17.00 hod.




